沪闵械备20190206号
NKX3.1(NK3 Homeobox 1)作为NK-3同源家族的成员之一,有多种亚型。它被认为是一种转录因子,可作为转录抑制因子呈现前列腺和睾丸特异性表达。它可能在腺上皮细胞的增殖和前列腺导管的形成中起到作用。研究显示,NKX3.1在鉴别转移性前列腺癌敏感性为98.6%(68/69),而PSA为94.2%(65/69)。NKX3.1连同ERG,可以作为很好的抗体组合,有助于识别前列腺来源的肿瘤。
【种属】兔
【预处理】高pH热修复
【阳性部位】细胞核
【阳性对照】前列腺/肾
【染色系统】基因科技GTvision试剂盒

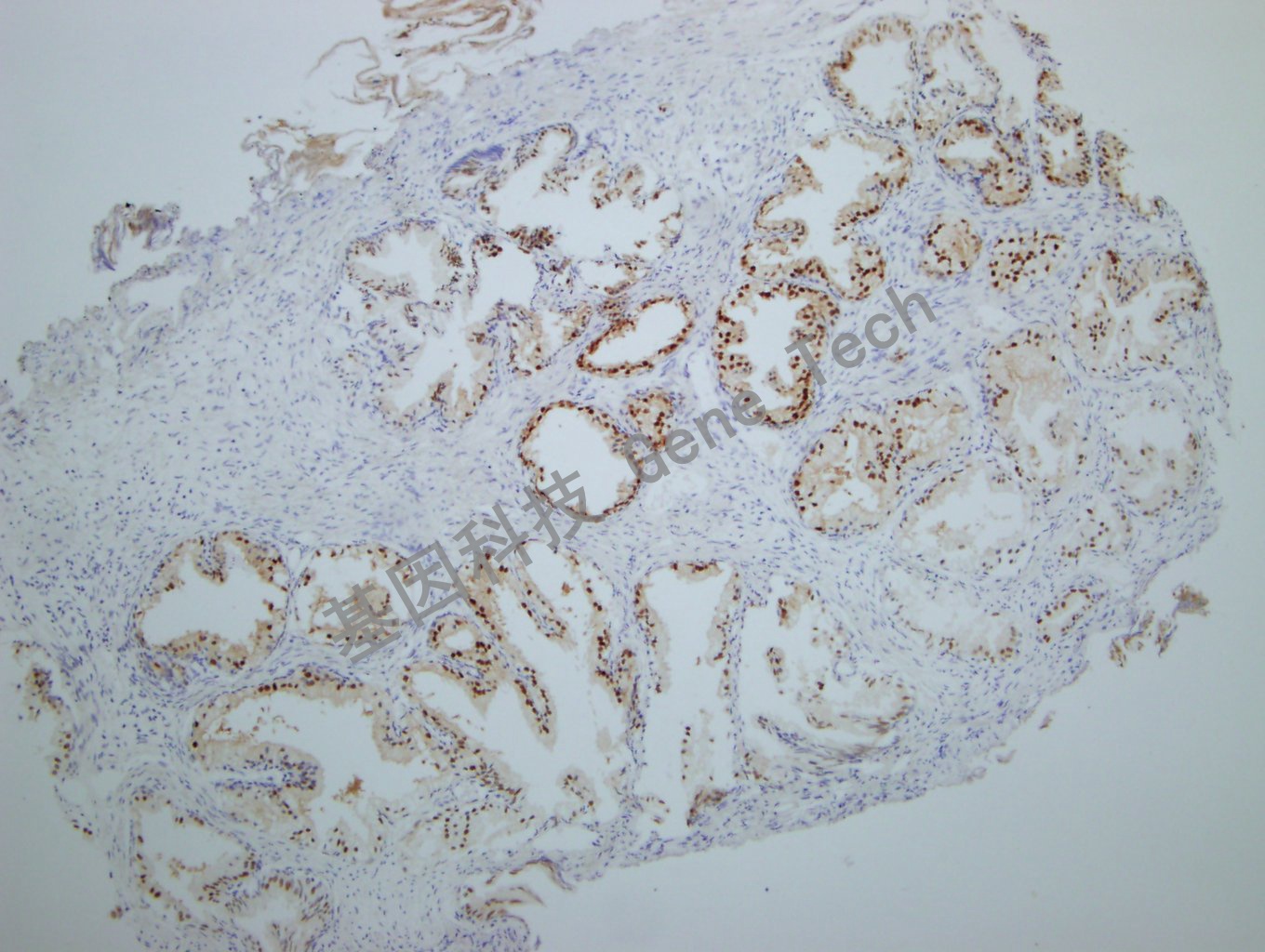
前列腺石蜡切片,用 NKX3.1(GT2260)染色,细胞核阳性,DAB 显色。(10×)

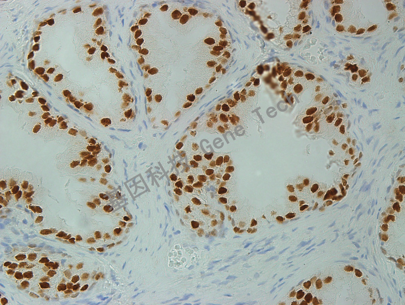
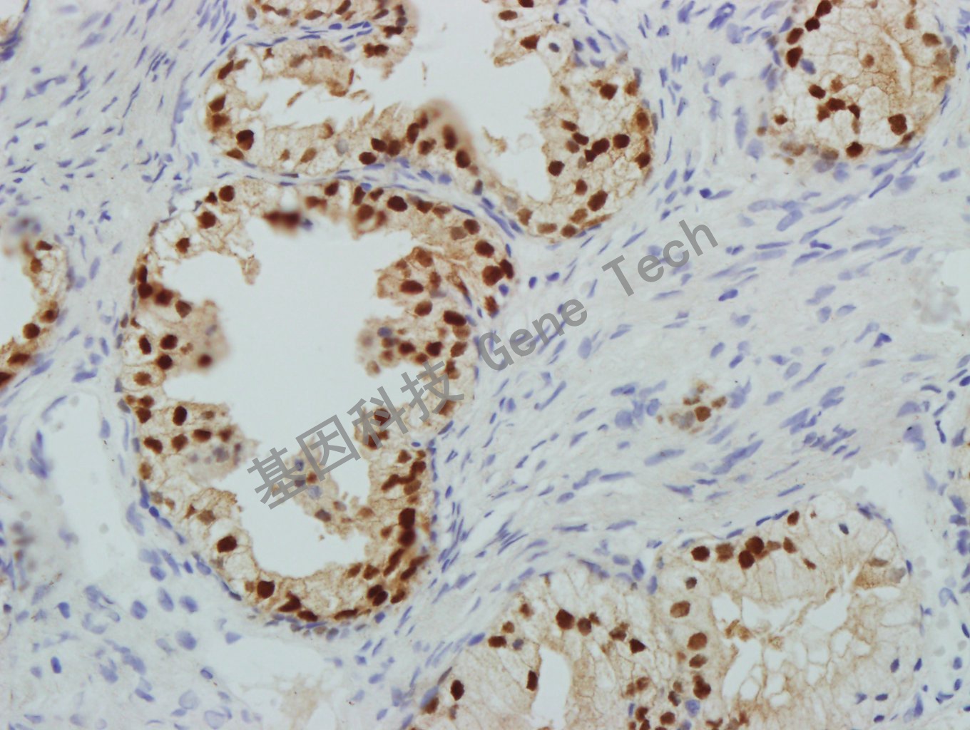
前列腺石蜡切片,用 NKX3.1(GT2260)染色,细胞核阳性,DAB 显色。(40×)

前列腺石蜡切片,用 NKX3.1(GT2260)染色,细胞核阳性,DAB 显色。(10×)

前列腺石蜡切片,用 NKX3.1(GT2260)染色,细胞核阳性,DAB 显色。(40×)