沪闵械备20180155号
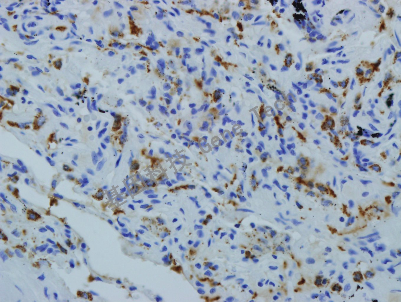
SP-B(Surfactant protenin B, 肺表面活性蛋白B)肺的表面活性复合物的抗原决定簇之一。主要表达于分化程度较高的肺II型肺泡上皮细胞核具有Calar细胞分化特征的腺癌,在低分化的肺腺癌中常常不表达,在肺鳞癌、大细胞癌和非肺原发性腺癌中阴性。联合TTF-1用于肺癌的辅助诊断以及肺腺癌与转移性腺癌的鉴别诊断。
【种属】鼠
【预处理】高pH热修复
【阳性部位】细胞浆
【阳性对照】肺癌
【染色系统】基因科技GTvision试剂盒

肺癌石蜡切片,用 SP-B(GT2277)染色,细胞浆阳性,DAB显色。(10×)

肺癌石蜡切片,用 SP-B(GT2277)染色,细胞浆阳性,DAB显色。(40×)