沪闵械备20190113号
PD-1(Programmed cell death protein 1, 程序性细胞死亡受体1)是I型跨膜免疫球蛋白受体,属于CD28介导的免疫反应超家族成员。在激活的T细胞,B细胞和骨髓细胞中表达,PD1通过抑制PI3K/AKT信号通路的激活来抑制T细胞增殖及相关因子的产生,如IL-1,IL-4,IL-10和IFN-γ,另外,PD1在外周性免疫耐受机制及自身免疫性疾病中起重要作用。
【种属】鼠
【预处理】高pH热修复
【阳性部位】细胞浆
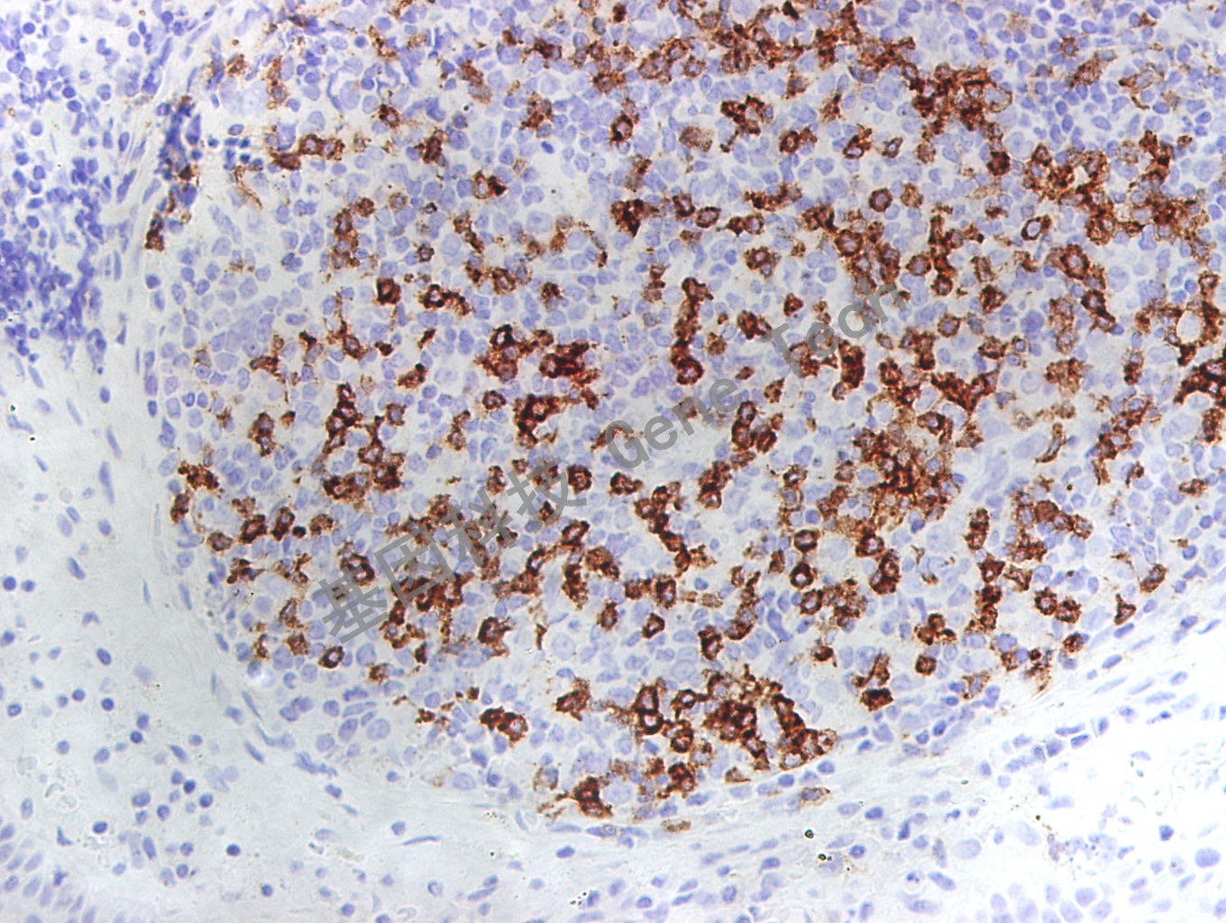
【阳性对照】扁桃体 /淋巴组织
【染色系统】基因科技GTvision试剂盒

扁桃体石蜡切片,用 PD-1(GT2281)染色,细胞浆阳性,DAB 显色。(10×)
扁桃体石蜡切片,用 PD-1(GT2281)染色,细胞浆阳性,DAB 显色。(40×)