沪闵械备20180300号
EZH2(Enhancer of Zeste Homolog2)基因参与多种生物过程,与细胞生长调节有关。除黑色素瘤外的多种恶性肿瘤中均发现EZH2表达,包括前列腺癌、乳腺癌、子宫癌、胃癌、非小细胞肺癌和肾细胞癌等。EZH2通常在淋巴结滤泡中心表达,而不在外套区、滤泡与滤泡间的T细胞、浆细胞或NK/T细胞中表达,但大多数B细胞和T细胞淋巴瘤中可见表达。
【种属】兔
【预处理】高pH热修复
【阳性部位】细胞核
【阳性对照】乳腺癌
【染色系统】基因科技GTvision试剂盒

小肠石蜡切片,用 EZH2(GT2285)染色,细胞核阳性,DAB 显色。

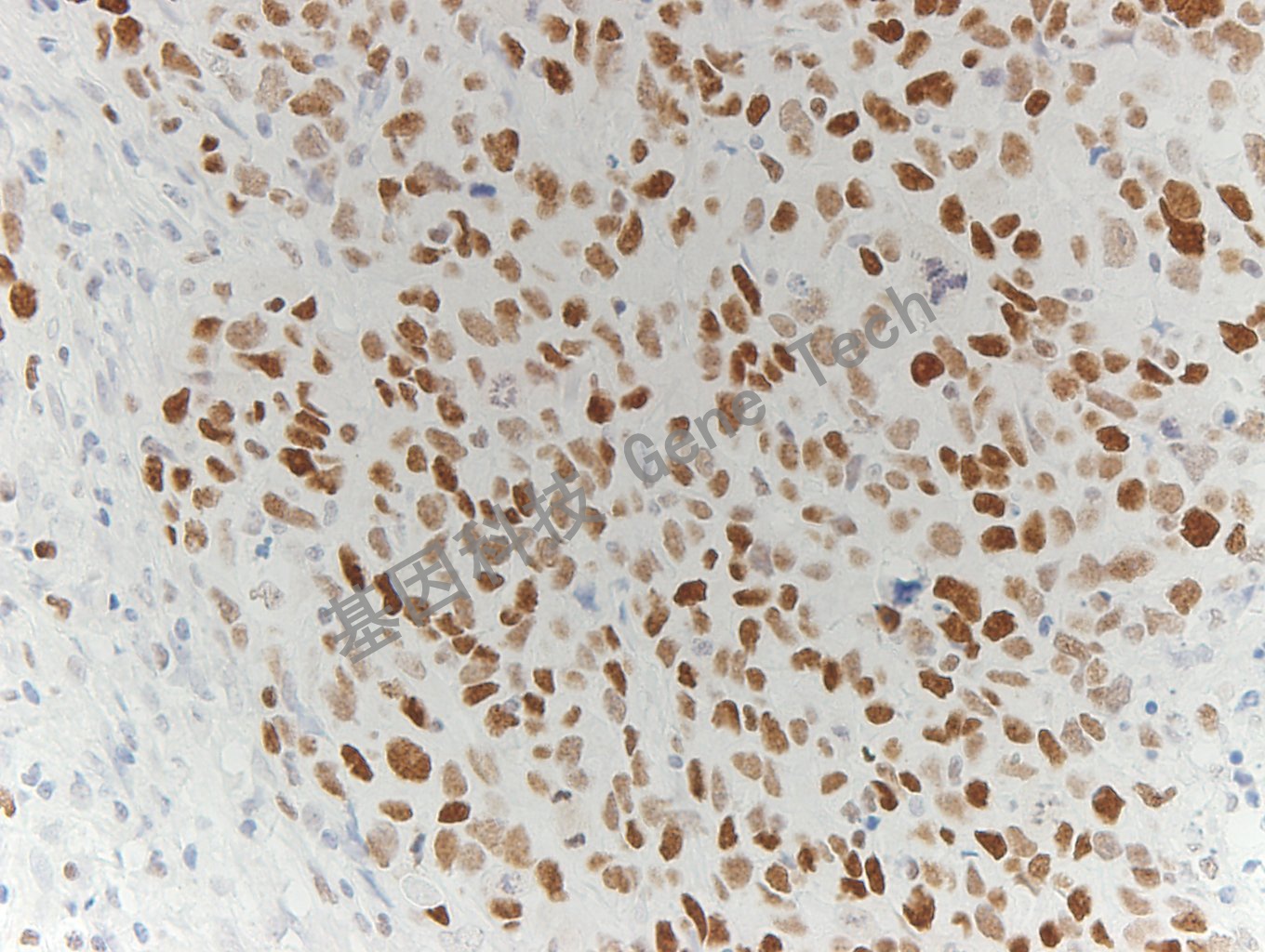
乳腺癌石蜡切片,用 EZH2(GT2285)染色,细胞核阳性,DAB 显色。
乳腺癌石蜡切片,用 EZH2(GT2285)染色,细胞核阳性,DAB 显色。
阑尾石蜡切片,用 EZH2(GT2285)染色,细胞核阳性,DAB 显色。
阑尾炎症细胞石蜡切片,用 EZH2(GT2285)染色,细胞核阳性,DAB 显色。