沪闵械备20180090号
SALL4(Spalt like transcription factor 4)是一种新确定的锌指转录因子,它通过调节OCT4来维持胚胎干细胞的多能性。其异常表达通常提示原始生殖细胞肿瘤性病变的可能。在妇科病理,SALL4几乎表达于所有原始生殖细胞肿瘤,在未成熟畸胎瘤的原始神经上皮中也可有部分表达。因此,SALL4可作为妇科生殖细胞肿瘤与非生殖细胞肿瘤的初步筛选标记被应用。
【种属】鼠
【预处理】高pH热修复
【阳性部位】细胞核
【阳性对照】精原细胞瘤
【染色系统】基因科技GTvision试剂盒

精原细胞瘤石蜡切片,用SALL4(GT2283)染色,细胞核阳性,DAB显色。

精原细胞瘤石蜡切片,用SALL4(GT2283)染色,细胞核阳性,DAB显色。(10×)

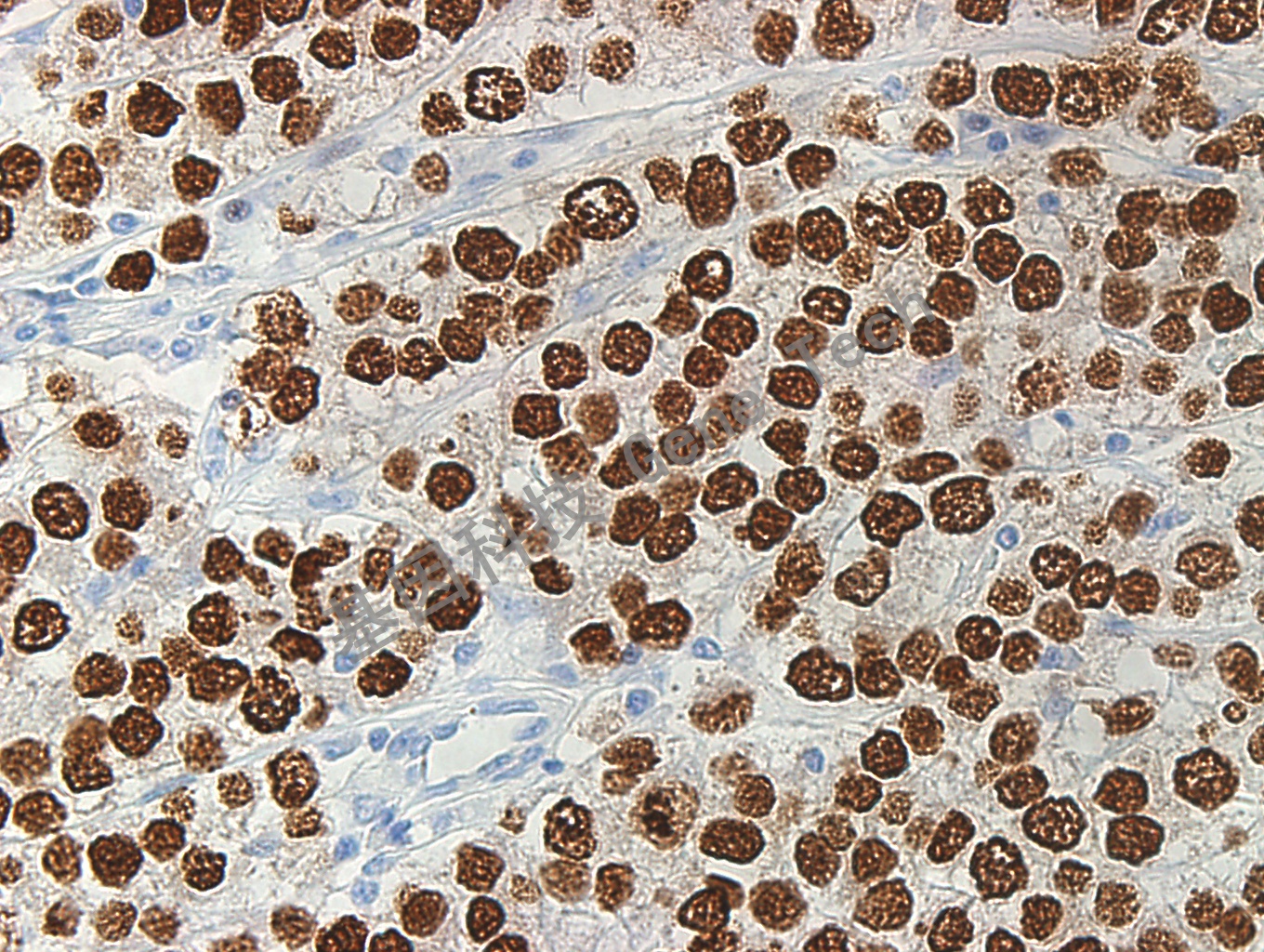
精原细胞瘤石蜡切片,用SALL4(GT2283)染色,细胞核阳性,DAB显色。(40×)