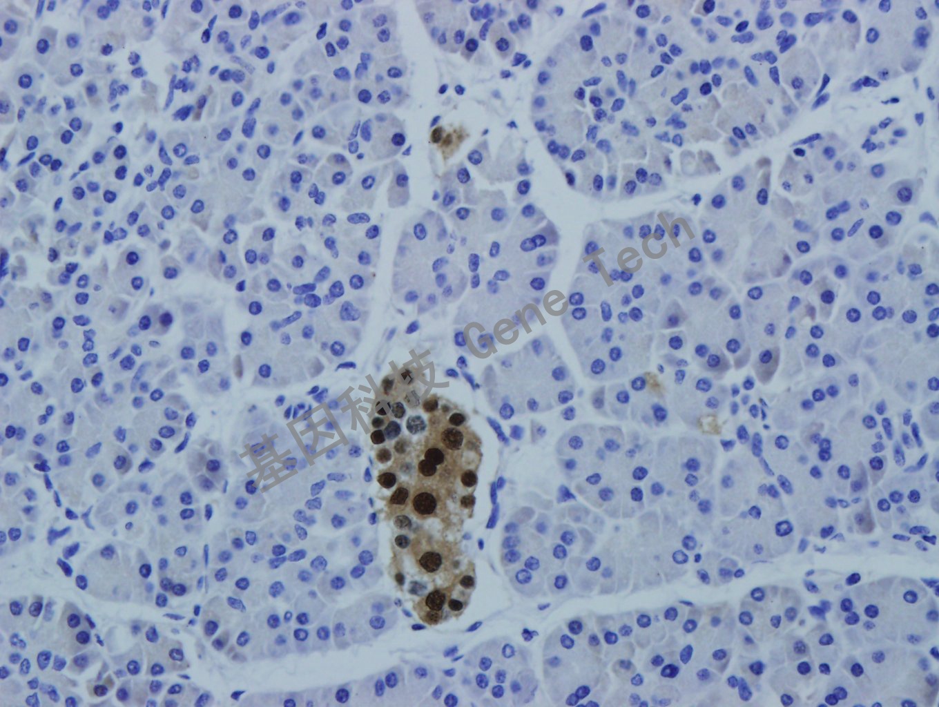
PAX-6(Paired box gene 6, 配对盒基因 6)是一种转录因子,属于成对盒基因家族,表达在发育过程中的感觉器官(包括:眼、鼻、嗅觉组织)、中枢神经和内分泌系统。成年后,PAX-6的表达仅在神经内分泌系统中由表达。研究显示PAX-6表达在大 多数起源于胰腺、十二指肠和结肠的神经内分泌性肿瘤组织中。因此,PAX-6可标记神经内分泌细胞及其来源的肿瘤(神经内分泌瘤)细胞。
【种属】兔
【预处理】高pH热修复
【阳性部位】细胞核
【阳性对照】胰腺癌
【染色系统】基因科技GTvision试剂盒
胰腺癌石蜡切片,用 PAX-6(GT2278)染色,细胞核阳性,DAB显色。(10×)

胰腺癌石蜡切片,用 PAX-6(GT2278)染色,细胞核阳性,DAB显色。(40×)