沪闵械备20180309号
Burkitt 淋巴瘤(BL)和弥漫性大B 细胞淋巴瘤(DLBCL)可通过形态学鉴别。2008 年WHO 分类中还包含了一个侵袭性淋巴瘤亚类用于命名形态特征介于BL 和DLBCL 的灰区淋巴瘤。MYC 基因重组发生在3-16% 的DLBCL 和几乎100% 的BL。确定MYC 基因的重组状态对于DLBCL、BL 或者介于二者间的灰区淋巴瘤最终诊断非常重要。
【适用】石蜡切片/冰冻切片
【预处理】高pH热修复
【稀释度】浓缩型抗体的建议稀释度为1:25-50
【孵育时间】室温孵育30-60分钟。
【阳性对照】乳腺癌/伯基特淋巴瘤
【阳性部位】细胞核
【显色系统】GTvision系列试剂盒

弥漫性大B细胞淋巴瘤石蜡切片,用 c-Myc(GT2206)染色,细胞核阳性,DAB 显色。(10×)

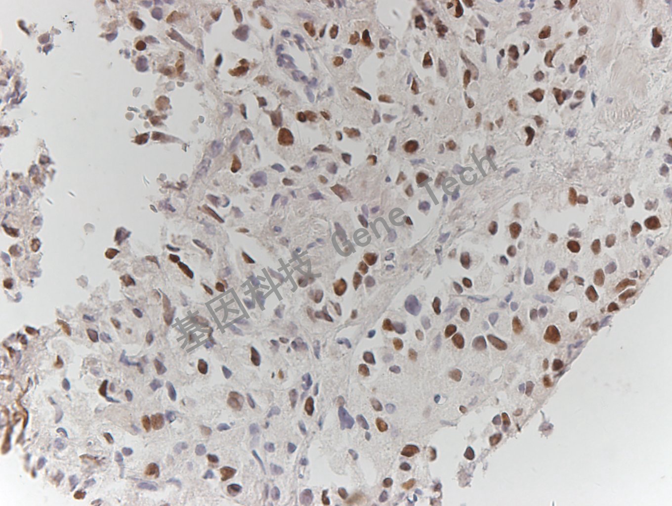
弥漫性大B细胞淋巴瘤石蜡切片,用 c-Myc(GT2206)染色,细胞核阳性,DAB 显色。(40×)

前列腺癌石蜡切片,用 c-Myc(GT2206)染色,细胞核阳性,DAB 显色。

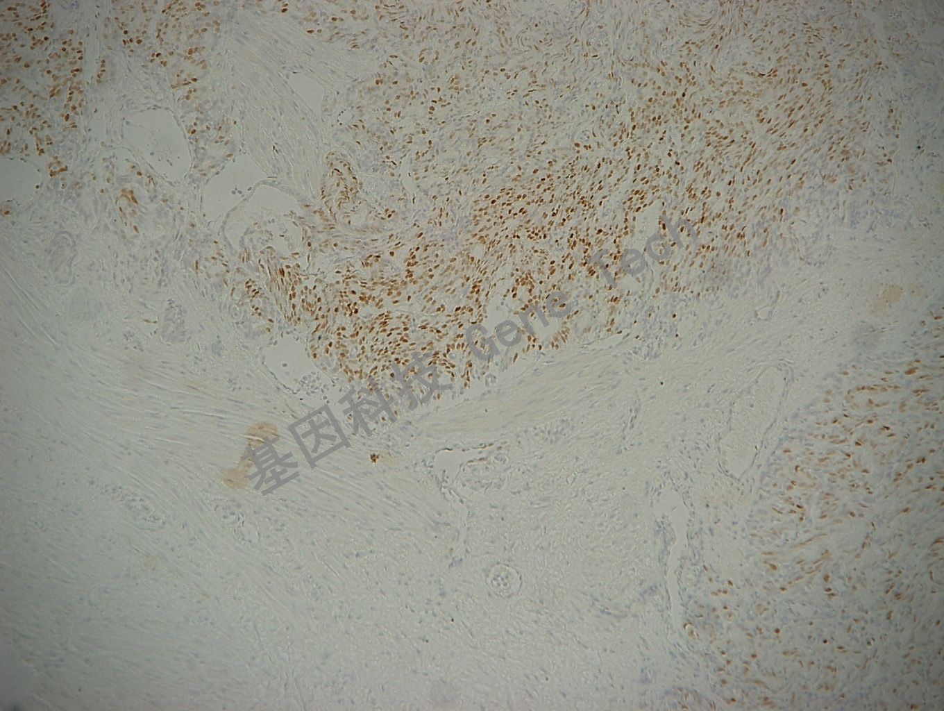
前列腺癌石蜡切片,用 c-Myc(GT2206)染色,细胞核阳性,DAB 显色。(10×)

前列腺癌石蜡切片,用 c-Myc(GT2206)染色,细胞核阳性,DAB 显色。(40×)