沪闵械备20180055号
MUM1(Multiple myeloma oncogene1)又名干扰素调节因子4(IRF4)是一种淋巴细胞特异性转录因子,在针对干扰素和一些细胞因子的基因调节方面起作用。在生发中心亮区MUM1通过与滤泡树突细胞接触后启动对B细胞分化过程中的后中心细胞进行免疫球蛋白基因调节。在这个阶段BCL-6表达被调低。MUM1主要在以下细胞和肿瘤中表达:部分生发中心细胞、浆细胞、活化T细胞、浆细胞瘤、部分弥漫大B细胞淋巴瘤以及多种其他B细胞淋巴瘤、间变性大细胞淋巴瘤以及多种外周T细胞淋巴瘤、霍奇金淋巴瘤、恶性黑色素瘤。不表达MUM1的疾病包括:Burkitt淋巴瘤( 除少数病例外)、肥大细胞肿瘤、组织细胞肿瘤、结节性淋巴细胞为主霍奇金淋巴瘤的“爆米花细胞”。
【种属】兔
【预处理】高pH热修复
【阳性部位】细胞浆/细胞核
【阳性对照】扁桃体/淋巴瘤
【染色系统】基因科技GTvision试剂盒
扁桃体石蜡切片,用 MUM1(GT2289)染色,细胞核阳性,DAB 显色。

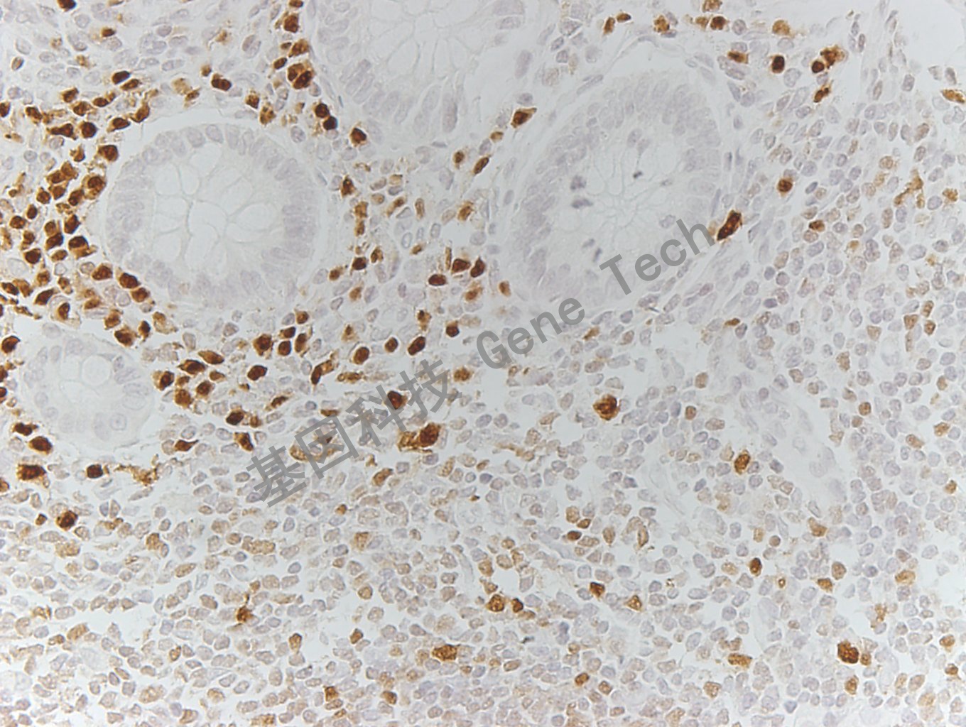
阑尾石蜡切片,用 MUM1(GT2289)染色,细胞核阳性,DAB 显色。

阑尾石蜡切片,用 MUM1(GT2289)染色,细胞核阳性,DAB 显色。