沪闵械备20180059号
CEA 主要存在于胎儿消化道上皮组织,而在正常成人上皮组织和良性肿瘤中仅有少量表达,但在部分恶性肿瘤中高表达,如结肠癌、肺癌、胃癌、肝癌和胰腺癌等,并且不受肿瘤分化程度的影响。在消化道肿瘤中,CEA 表达分为三型:胞膜或腔面型、胞浆型和胞浆间质混合型。其阳性表达类型与预后及转移相关,前者预后好,后二者预后差,易转移。
【适用】石蜡切片/冰冻切片
【预处理】高pH热修复
【稀释度】浓缩型抗体的建议稀释度为1:50-100
【孵育时间】室温孵育30-60分钟。
【阳性对照】结肠癌
【阳性部位】细胞浆/腔膜
【显色系统】GTvision系列试剂盒

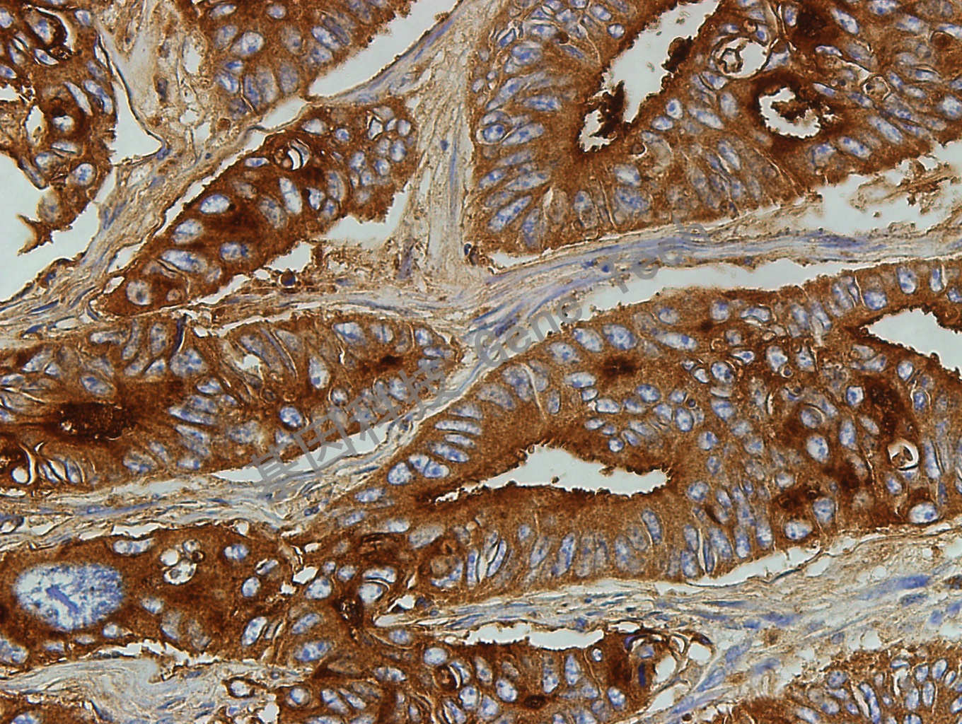
结肠癌石蜡切片,用 CEA(GT2209)染色,细胞浆阳性,DAB 显色。(10×)
结肠癌石蜡切片,用 CEA(GT2209)染色,细胞浆阳性,DAB 显色。(40×)