沪闵械备20190110号
P-Glycoprotein(P糖蛋白)是一种细胞膜蛋白,与多种亲脂化疗药物的耐受性相关。该蛋白在多种正常组织的上皮转运中被发现,包括肝、肾、结肠、肾上腺和脑。 P糖蛋白容易产生耐药的药物主要为长春花碱类和阿霉素类,对肿瘤病人选择化疗方案和预后的判断具有重要临床意义。
【种属】兔
【预处理】高pH热修复
【阳性部位】细胞膜
【阳性对照】肝
【染色系统】基因科技GTvision试剂盒

肝癌石蜡切片,用 P-glycoprotein(GT2223)染色,细胞膜阳性,DAB 显色。(10×)
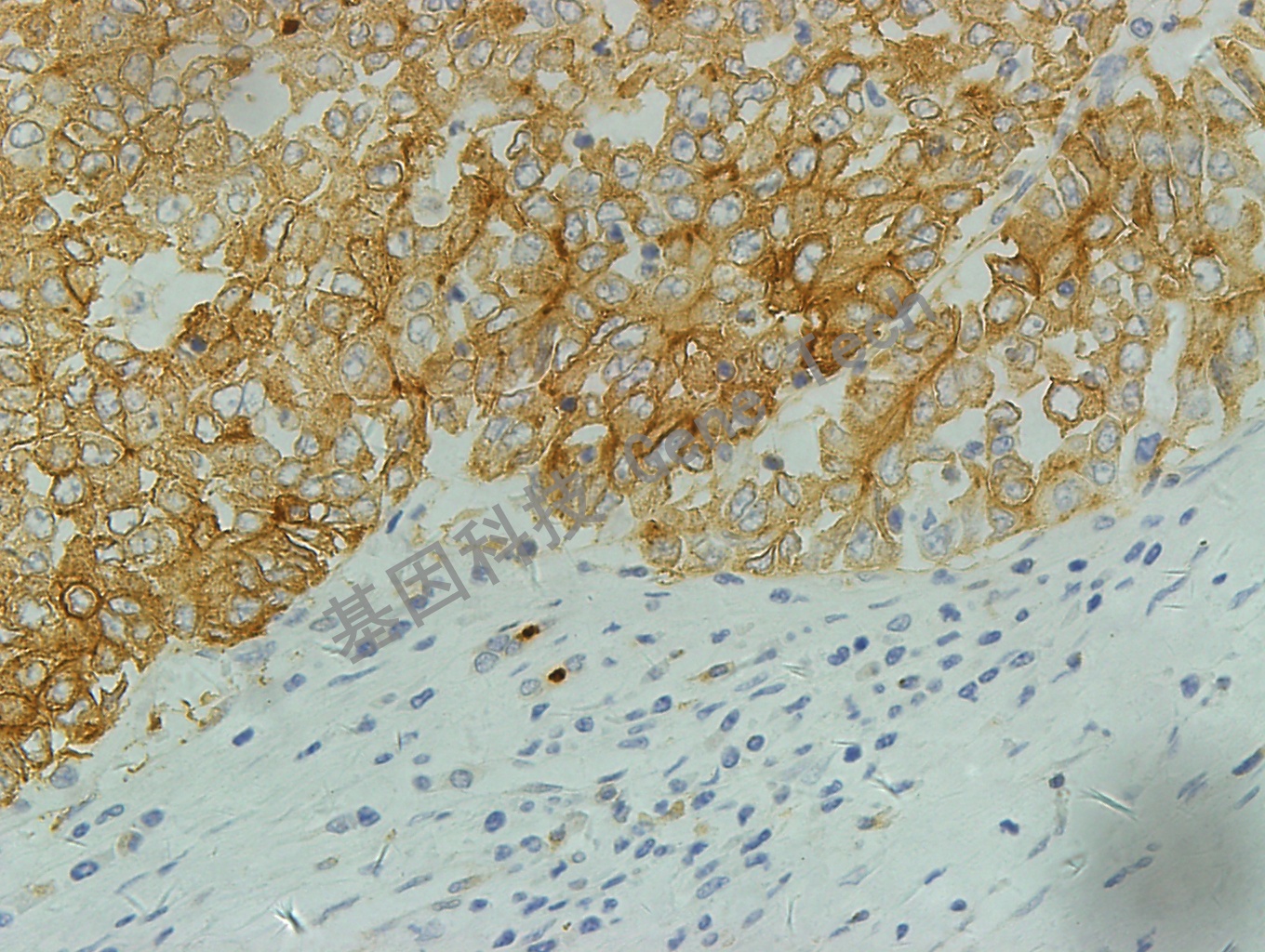
肝癌石蜡切片,用 P-glycoprotein(GT2223)染色,细胞膜阳性,DAB 显色。(40×)

肝癌石蜡切片,用 P-glycoprotein(GT2223)染色,细胞膜阳性,DAB 显色。(10×)
肝癌石蜡切片,用 P-glycoprotein(GT2223)染色,细胞膜阳性,DAB 显色。(40×)