沪闵械备20180151号
S100P属于S-100蛋白家族,该家族蛋白均含有2个EF手形钙结合结构域。S-100可在多种细胞类型中表达,表达分布在细胞浆和细胞核,与细胞周期及细胞分化等活动有关。S100P在胎盘、膀胱、脾、胃肠道粘膜等多种正常组织中有表达。结肠癌、前列腺癌、胰腺癌、肺癌等组织中会有S100P过表达,与肿瘤进展有关。肺癌中它也可以作为非小细胞肺癌远处转移和存活率低的预测性指标。此外,S100P是胰腺癌发生早期的标记物,可作为胰腺导管腺癌的标记物。
【种属】鼠
【预处理】高pH热修复
【阳性部位】细胞浆/细胞核
【阳性对照】胎盘/胃癌
【染色系统】基因科技GTvision试剂盒

扁桃体石蜡切片,用 S-100P(GT2286)染色,细胞浆/细胞核阳性,DAB显色。

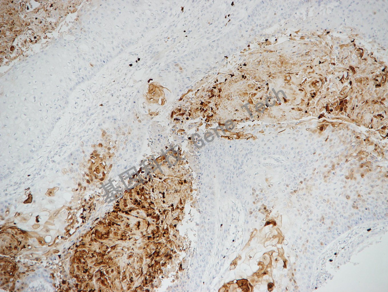
肝癌石蜡切片,用 S-100P(GT2286)染色,细胞浆/细胞核阳性,DAB显色。

肝癌石蜡切片,用 S-100P(GT2286)染色,细胞浆/细胞核阳性,DAB显色。

阑尾石蜡切片,用 S-100P(GT2286)染色,细胞浆/细胞核阳性,DAB显色。

食道癌石蜡切片,用 S-100P(GT2286)染色,细胞浆/细胞核阳性,DAB显色。

胃癌石蜡切片,用 S-100P(GT2286)染色,细胞浆/细胞核阳性,DAB显色。

胃癌石蜡切片,用 S-100P(GT2286)染色,细胞浆/细胞核阳性,DAB显色。

胃癌石蜡切片,用 S-100P(GT2286)染色,细胞浆/细胞核阳性,DAB显色。

胃癌石蜡切片,用 S-100P(GT2286)染色,细胞浆/细胞核阳性,DAB显色。

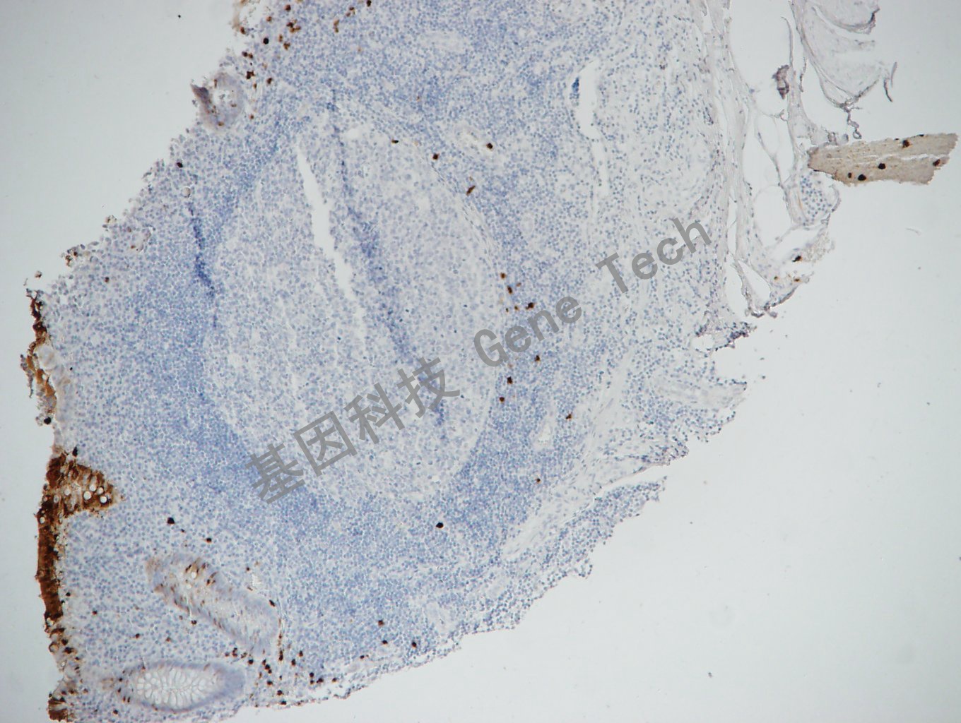
血细胞石蜡切片,用 S-100P(GT2286)染色,细胞浆/细胞核阳性,DAB显色。

胰腺癌石蜡切片,用 S-100P(GT2286)染色,细胞浆/细胞核阳性,DAB显色。