沪闵械备20190114号
STAT6(Signal transducers and activators of transcription 6, 信号传导和转录激活因子6)属于STAT蛋白家族成员之一,不仅参与IL-4信号通路的激活和免疫系统的调节,而且与细胞增殖、凋亡有关。孤立性纤维性肿瘤(SET)虽然能够根据组织学特征和CD344表达诊断,但由于其多样性的特点有时会遇到诊断困难,研究表明:大多数良恶型SFT均存在特异性的NAB2-STAT6融合基因,从而导致胞质中的STAT6 进入细胞核中,导致STAT6在核内强表达,故STAT6可作为SFT的高敏感和特异性标记物,有助于对SFT的诊断和与其相似病变的鉴别诊断。
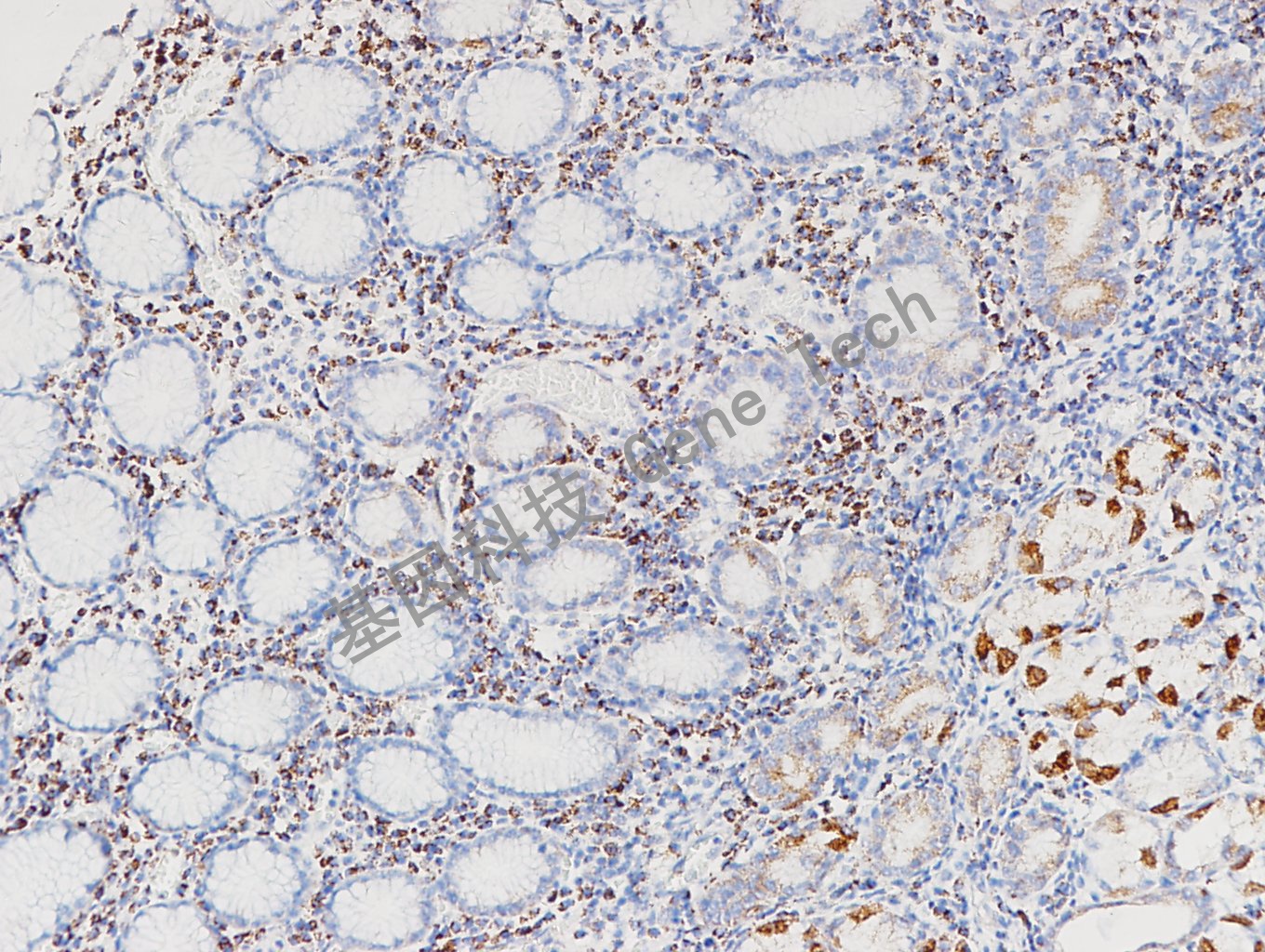
【种属】兔
【预处理】高pH热修复
【阳性部位】细胞浆/细胞核
【阳性对照】孤立性纤维瘤
【染色系统】基因科技GTvision试剂盒

食道石蜡切片,用 STAT6(GT2295)染色,细胞浆/细胞核阳性,DAB显色。

胃石蜡切片,用 STAT6(GT2295)染色,细胞浆/细胞核阳性,DAB显色。