沪闵械备20180148号
TLE-1(Transducin like enhancer of split 1, 分裂蛋白1转导蛋白样增强子) 是TLE基因家族的成员之一,参与造血、神经和末端上皮分化。表达于基底层细胞、脂肪细胞、外周神经细胞、内皮细胞及间皮细胞。在滑膜肉瘤中特异性表达,在神经鞘瘤和多形性肉瘤中很少表达。TLE1在滑膜肉瘤中表达的敏感性和特异性较Bcl-2 、EMA和CK更高,可作为滑膜肉瘤的标记为,用于滑膜肉瘤与其他类型肿瘤的鉴别诊断。
【种属】鼠
【预处理】高pH热修复
【阳性部位】细胞核
【阳性对照】滑膜肉瘤
【染色系统】基因科技GTvision试剂盒

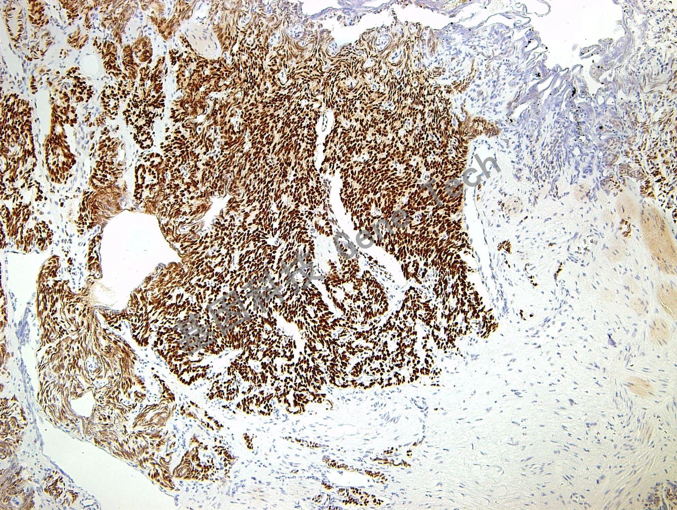
前列腺癌石蜡切片,用 TLE-1(GT2239)染色,细胞核阳性,DAB显色。(10×)

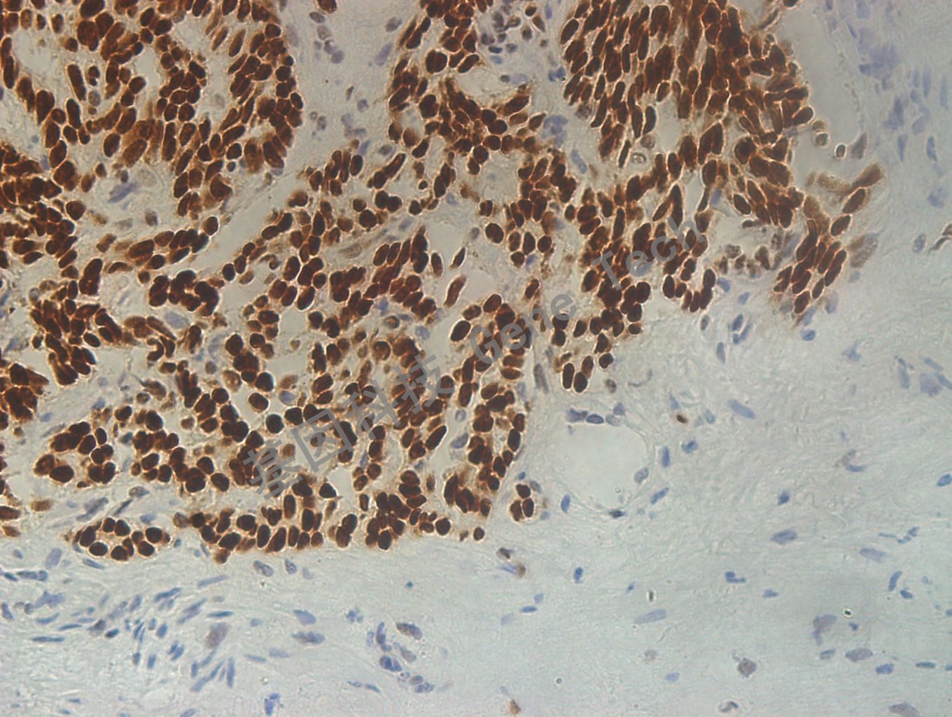
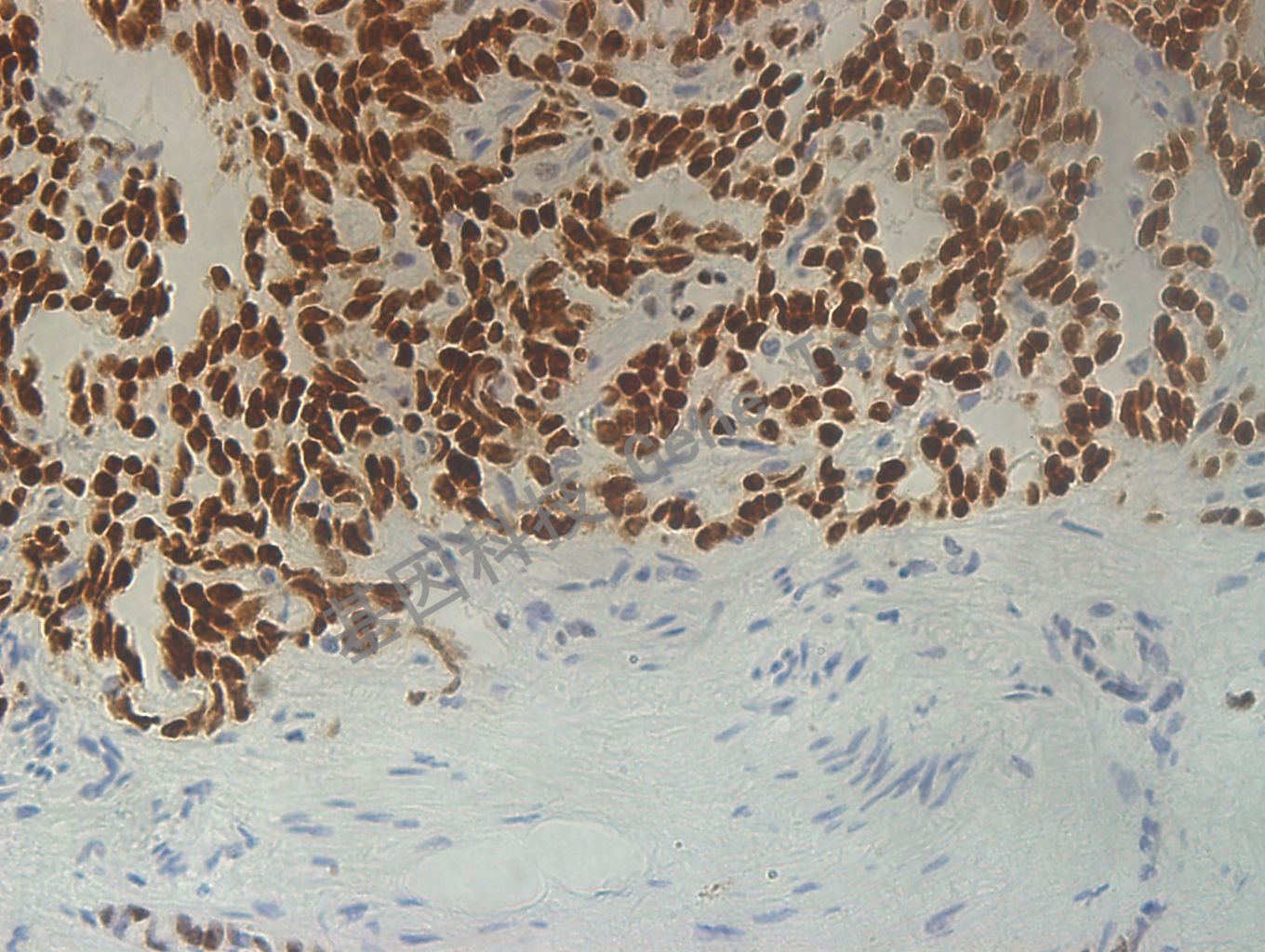
前列腺癌石蜡切片,用 TLE-1(GT2239)染色,细胞核阳性,DAB显色。(40×)

前列腺癌石蜡切片,用 TLE-1(GT2239)染色,细胞核阳性,DAB显色。(10×)

前列腺癌石蜡切片,用 TLE-1(GT2239)染色,细胞核阳性,DAB显色。(40×)