沪闵械备20190098号
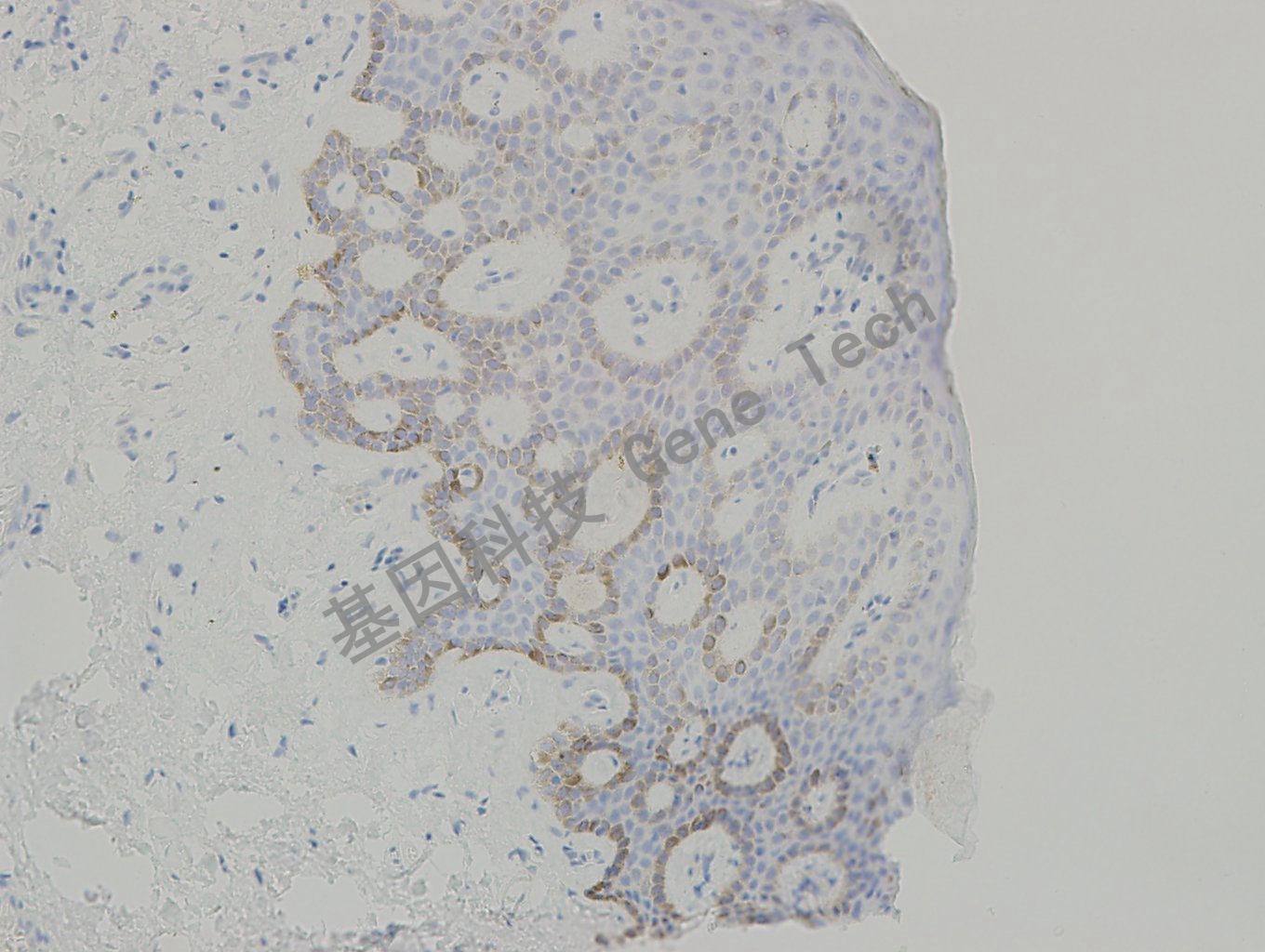
IV 型胶原是构成基底膜的主要成分。该抗体对由肿瘤的侵袭引起的基底膜成分缺失的诊断具有重要意义,可用于区分微浸润性癌和原位癌。
【适用】石蜡切片/冰冻切片
【预处理】高pH热修复
【稀释度】浓缩型抗体的建议稀释度为1:25-50
【孵育时间】室温孵育30-60分钟。
【阳性对照】皮肤/脾脏
【阳性部位】基底膜
【显色系统】GTvision系列试剂盒

皮肤石蜡切片,用 Collagen Type IV(GT2327)染色,基底膜阳性,DAB 显色。
皮肤石蜡切片,用 Collagen Type IV(GT2327)染色,基底膜阳性,DAB 显色。
皮肤石蜡切片,用 Collagen Type IV(GT2327)染色,基底膜阳性,DAB 显色。

脾脏石蜡切片,用 Collagen Type IV(GT2327)染色,基底膜阳性,DAB 显色。
脾脏石蜡切片,用 Collagen Type IV(GT2327)染色,基底膜阳性,DAB 显色。

脾脏石蜡切片,用 Collagen Type IV(GT2327)染色,基底膜阳性,DAB 显色。

脾脏石蜡切片,用 Collagen Type IV(GT2327)染色,基底膜阳性,DAB 显色。
脾脏石蜡切片,用 Collagen Type IV(GT2327)染色,基底膜阳性,DAB 显色。

小叶原位癌石蜡切片,用 Collagen Type IV(GT2327)染色,基底膜阳性,DAB 显色。

小叶原位癌石蜡切片,用 Collagen Type IV(GT2327)染色,基底膜阳性,DAB 显色。
小叶原位癌石蜡切片,用 Collagen Type IV(GT2327)染色,基底膜阳性,DAB 显色。