GATA2是锌指转录因子GATA家族成员之一,在胚胎期造血干细胞、胚胎期神经系统、胚胎期垂体和成人垂体的发育有重要作用,且GATA2转录因子对胚胎期至成人期促甲状腺激素细胞和促性腺激素细胞的发育至关重要。在垂体瘤中GATA2高表达提示是促甲状腺激素细胞腺瘤或促性腺激素细胞腺瘤,常与SF-1、ERα、PIT-1等联合应用。
【种属】兔
【预处理】高pH热修复
【阳性部位】细胞核
【阳性对照】乳腺癌/垂体瘤
【染色系统】基因科技GTvision试剂盒
扁桃体石蜡切片,用 GATA2(GT2320)染色,细胞核阳性,DAB 显色。

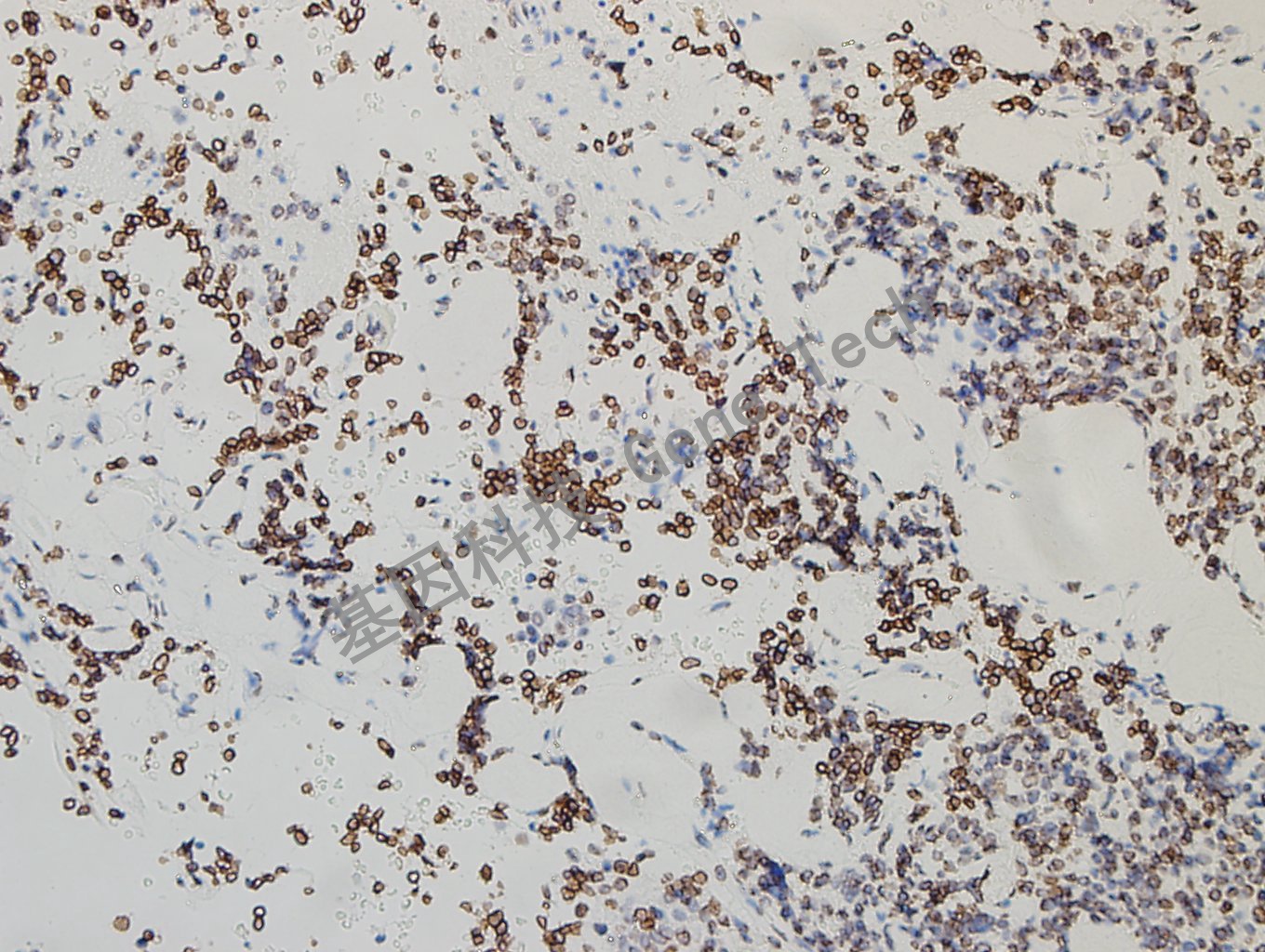
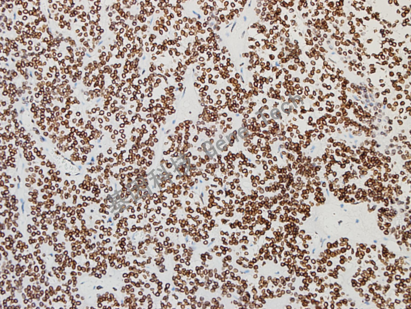
垂体腺瘤石蜡切片,用 GATA2(GT2320)染色,细胞核阳性,DAB 显色。

垂体腺瘤石蜡切片,用 GATA2(GT2320)染色,细胞核阳性,DAB 显色。

垂体腺瘤石蜡切片,用 GATA2(GT2320)染色,细胞核阳性,DAB 显色。

垂体腺瘤石蜡切片,用 GATA2(GT2320)染色,细胞核阳性,DAB 显色。

垂体腺瘤石蜡切片,用 GATA2(GT2320)染色,细胞核阳性,DAB 显色。

垂体腺瘤石蜡切片,用 GATA2(GT2320)染色,细胞核阳性,DAB 显色。

垂体腺瘤石蜡切片,用 GATA2(GT2320)染色,细胞核阳性,DAB 显色。

垂体腺瘤石蜡切片,用 GATA2(GT2320)染色,细胞核阳性,DAB 显色。

肺癌石蜡切片,用 GATA2(GT2320)染色,细胞核阳性,DAB 显色。

肺癌石蜡切片,用 GATA2(GT2320)染色,细胞核阳性,DAB 显色。

结直肠癌石蜡切片,用 GATA2(GT2320)染色,细胞核阳性,DAB 显色。

结直肠癌石蜡切片,用 GATA2(GT2320)染色,细胞核阳性,DAB 显色。

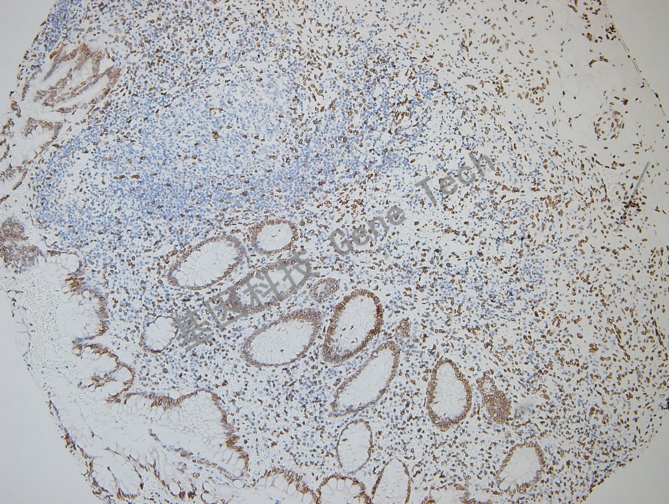
阑尾石蜡切片,用 GATA2(GT2320)染色,细胞核阳性,DAB 显色。

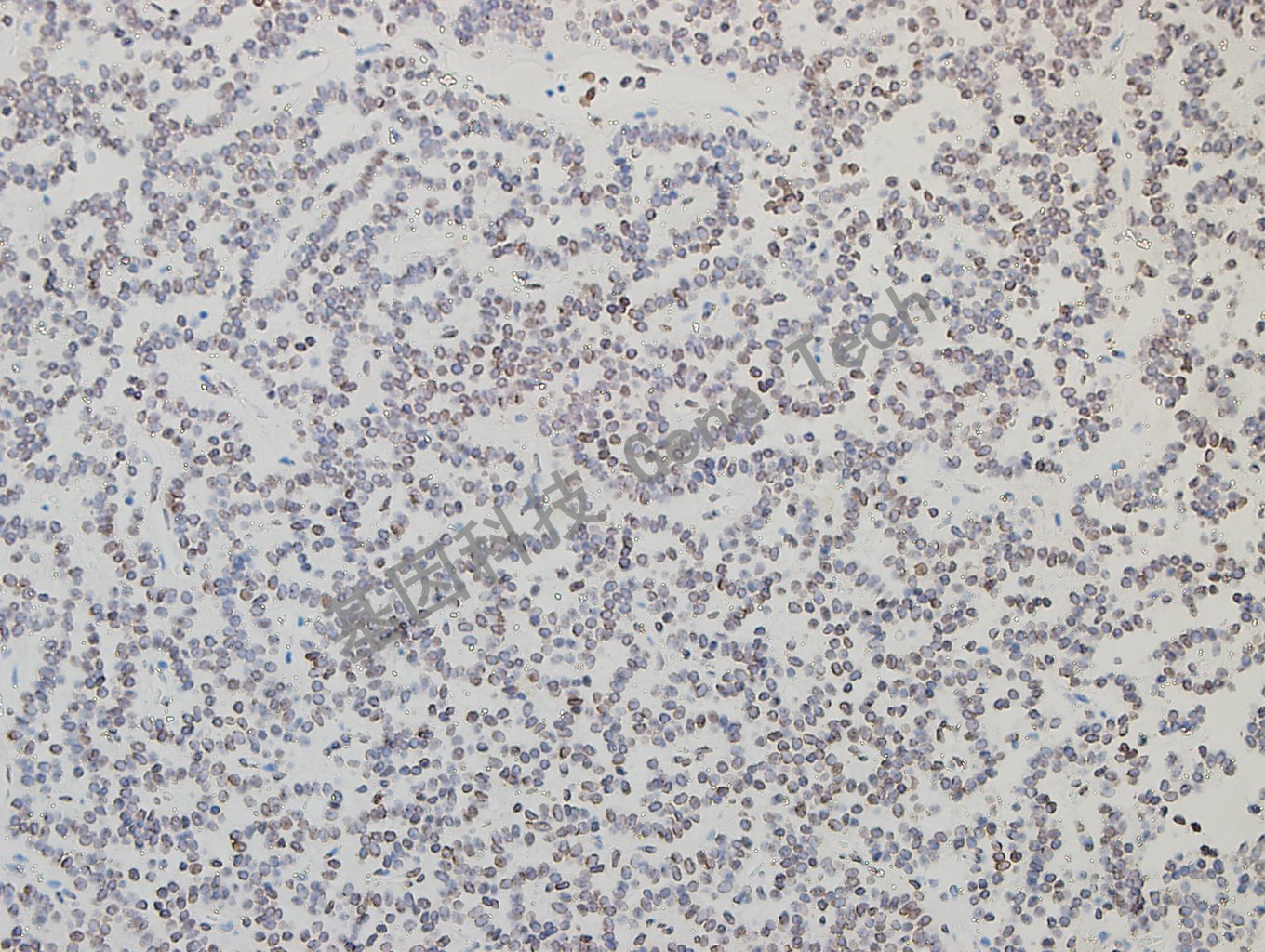
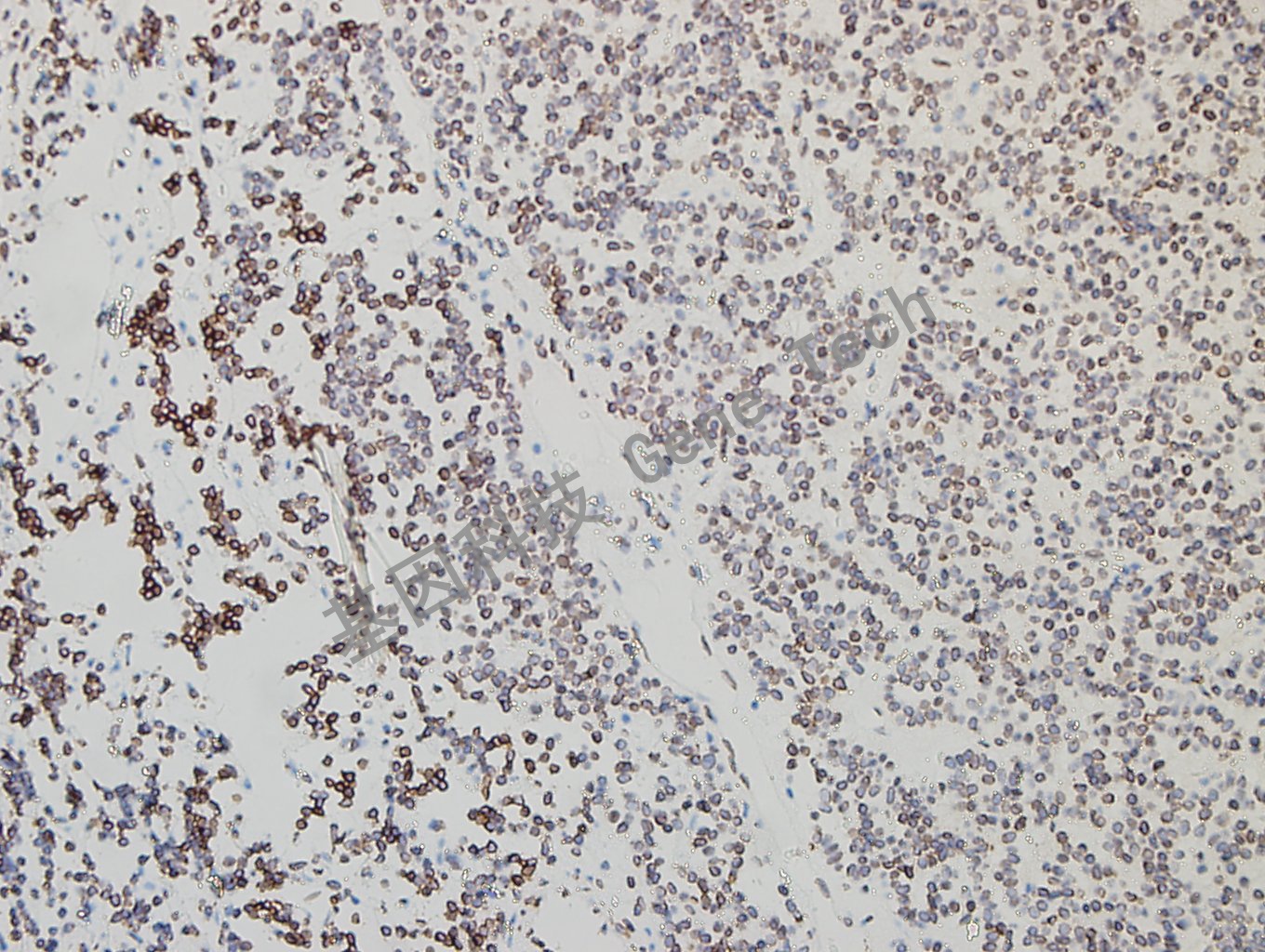
脑胶质瘤石蜡切片,用 GATA2(GT2320)染色,细胞核阳性,DAB 显色。

脑胶质瘤石蜡切片,用 GATA2(GT2320)染色,细胞核阳性,DAB 显色。

脑胶质瘤石蜡切片,用 GATA2(GT2320)染色,细胞核阳性,DAB 显色。

脑胶质瘤石蜡切片,用 GATA2(GT2320)染色,细胞核阳性,DAB 显色。

脑胶质瘤石蜡切片,用 GATA2(GT2320)染色,细胞核阳性,DAB 显色。

前列腺癌石蜡切片,用 GATA2(GT2320)染色,细胞核阳性,DAB 显色。

乳腺癌石蜡切片,用 GATA2(GT2320)染色,细胞核阳性,DAB 显色。

乳腺癌石蜡切片,用 GATA2(GT2320)染色,细胞核阳性,DAB 显色。