沪闵械备20200018号
H3K27me3是核心组蛋白H3的第27个氨基酸赖氨酸的氨基(N)末端尾部发生的组蛋白甲基化。该蛋白的三甲基化通过形成异染色质区来下调附近基因的表达。目前发现H3K27me3蛋白表达的广泛下调或完全缺失可作为多种肿瘤的特异性诊断标记物,具有较好的特异性和敏感性。应用H3K27me3组化检测,可区分儿童后颅窝室管膜瘤分子亚型(儿童后颅窝室管膜瘤B组为弥漫表达,A组则广泛性降低),用于指导临床治疗和预后判断。H3K27me3表达缺失对于恶性外周神经鞘膜 瘤的诊断具有敏感性与特异性。H3K27me3广泛性表达降低可辅助弥漫性中线胶质瘤伴H3K27M突变肿瘤的诊断,但不可替代存在H3K27M突变的首要诊断作用。
【种属】兔
【预处理】高pH热修复
【阳性部位】细胞核
【阳性对照】扁桃体
【染色系统】基因科技GTvision试剂盒

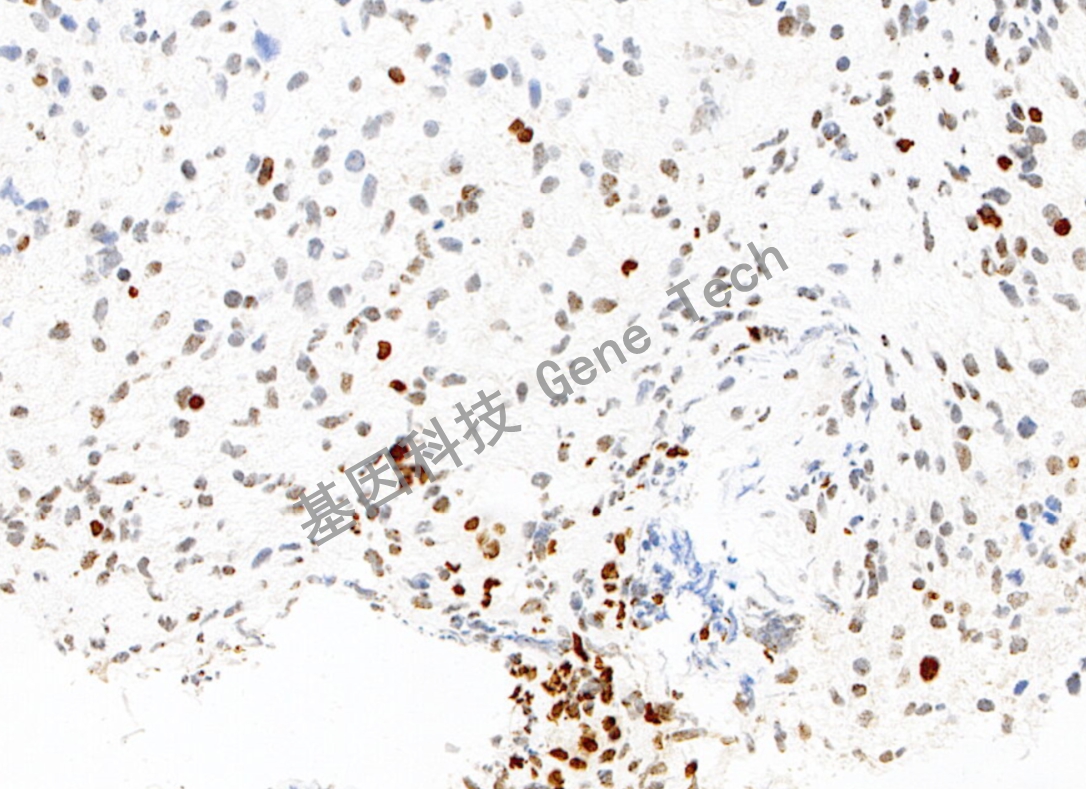
高级别胶质瘤石蜡切片,用 H3K27Me3(GT2368)染色,细胞核阳性,DAB 显色。

高级别胶质瘤石蜡切片,用 H3K27Me3(GT2368)染色,细胞核阳性,DAB 显色。

高级别胶质瘤石蜡切片,用 H3K27Me3(GT2368)染色,细胞核阳性,DAB 显色。