沪闵械备20200006号
HGAL也称GCET2,是一种丝氨酸蛋白酶抑制剂,在正常组织中表达于淋巴生发中心和肺组织。在肿瘤组织中,除表达于滤泡淋巴瘤外还表达于其他生发中心来源的淋巴瘤,如:Burkitt淋巴瘤、DLBCL、霍奇金淋巴瘤。在FL不表达CD10、bcl-6时可帮助诊断FL。
【种属】兔
【预处理】高pH热修复
【阳性部位】细胞浆
【阳性对照】滤泡淋巴瘤/扁桃体
【染色系统】基因科技GTvision试剂盒

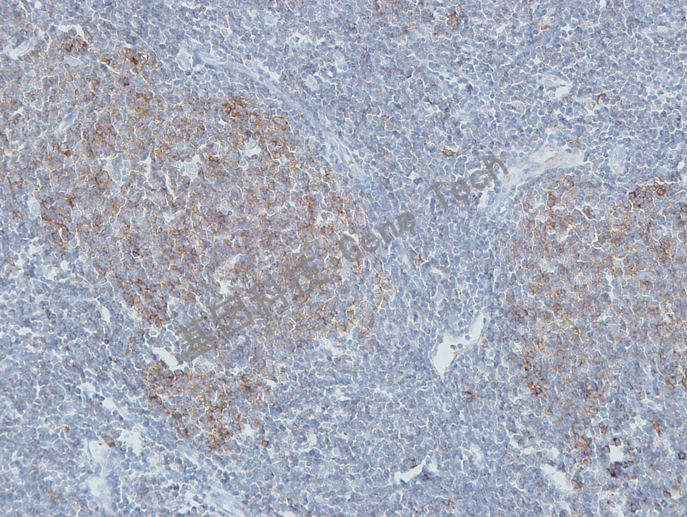
滤泡淋巴瘤石蜡切片,用 HGAL(GT2335)染色,细胞浆阳性 ,DAB 显色。

滤泡淋巴瘤石蜡切片,用 HGAL(GT2335)染色,细胞浆阳性 ,DAB 显色。

滤泡淋巴瘤石蜡切片,用 HGAL(GT2335)染色,细胞浆阳性 ,DAB 显色。

滤泡淋巴瘤石蜡切片,用 HGAL(GT2335)染色,细胞浆阳性 ,DAB 显色。

滤泡淋巴瘤石蜡切片,用 HGAL(GT2335)染色,细胞浆阳性 ,DAB 显色。

滤泡淋巴瘤石蜡切片,用 HGAL(GT2335)染色,细胞浆阳性 ,DAB 显色。

滤泡淋巴瘤石蜡切片,用 HGAL(GT2335)染色,细胞浆阳性 ,DAB 显色。

滤泡淋巴瘤石蜡切片,用 HGAL(GT2335)染色,细胞浆阳性 ,DAB 显色。