沪闵械备20190203号
HNF1β(Hepatocyte nuclear factor 1β, 肝细胞核因子1β)是一种与多器官有关的转录因子,在肝祖细胞的特异基因表达过程中发挥重要作用,在肾单位功能发育和调节胰腺胚胎发育中也起到重要作用。HNF1β在卵巢透明细胞癌中的高表达与HNF1β基因启动子区域CpG岛的低甲基化状态有关。因此HNF1β是非常好的卵巢透明细胞癌指标,需要注意的是肾脏透明细胞癌和尿路上皮癌也可见HNF1β阳性。此外,HNF1β与肾囊肿和糖尿病综合征密切相关。
【种属】兔
【预处理】高pH热修复
【阳性部位】细胞核
【阳性对照】卵巢透明细胞癌/阑尾
【染色系统】基因科技GTvision试剂盒

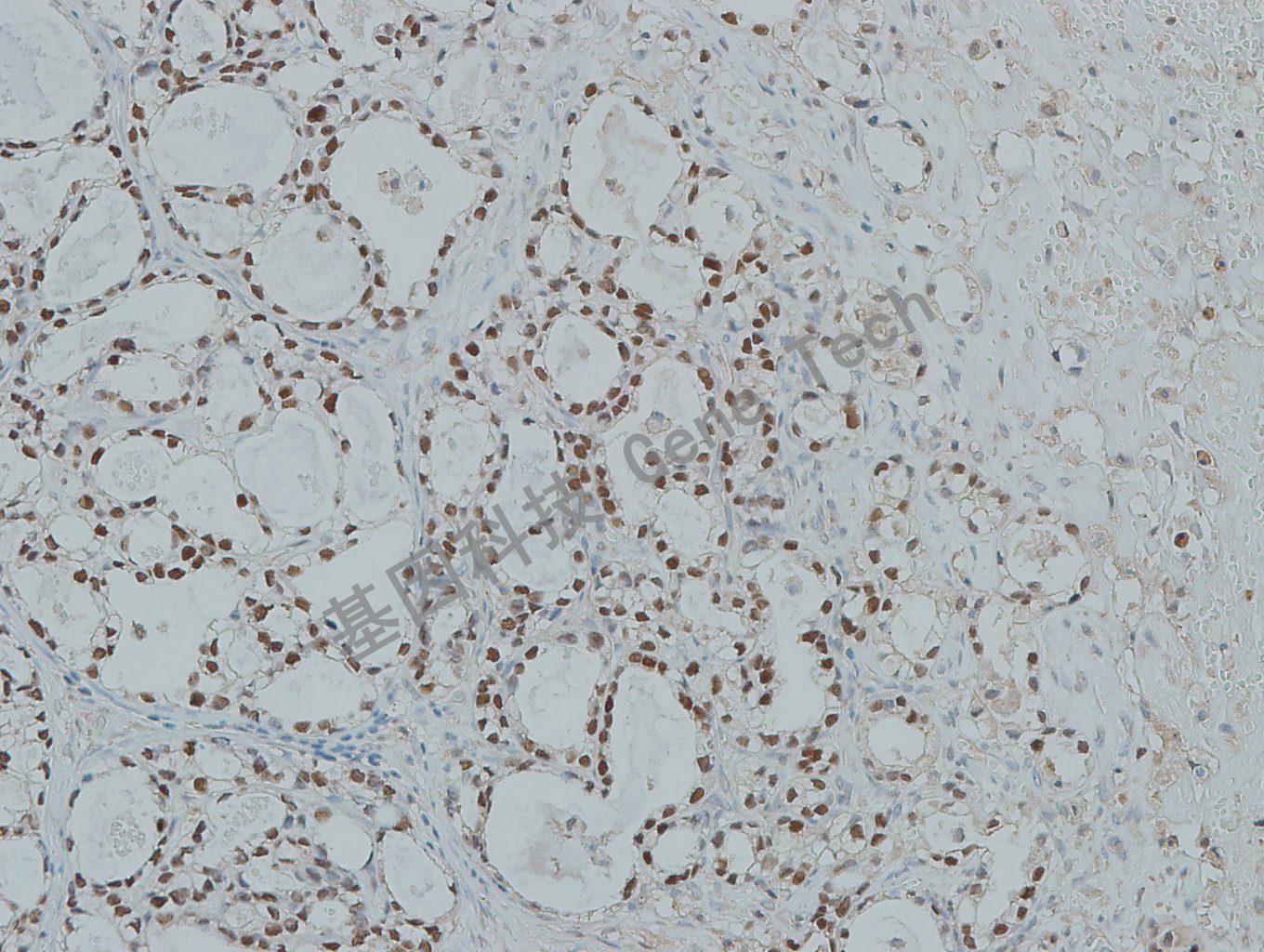
卵巢透明细胞癌石蜡切片,用 HNF1β(GT2326)染色,细胞核阳性,DAB 显色。

卵巢透明细胞癌石蜡切片,用 HNF1β(GT2326)染色,细胞核阳性,DAB 显色。

卵巢透明细胞癌石蜡切片,用 HNF1β(GT2326)染色,细胞核阳性,DAB 显色。

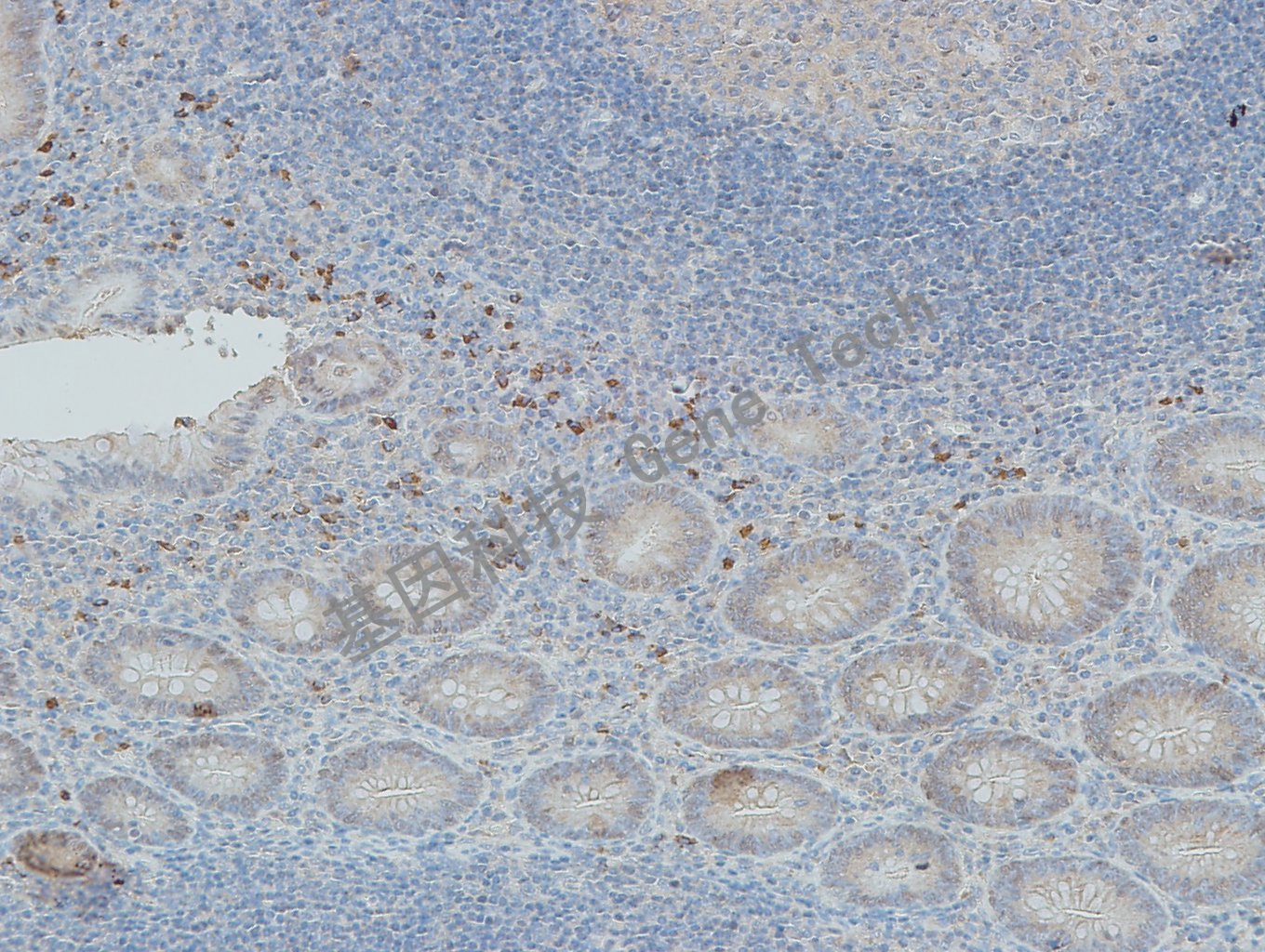
阑尾石蜡切片,用 HNF1β(GT2326)染色,细胞核阳性,DAB 显色。

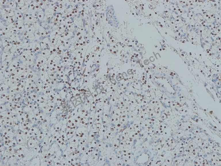
肾透明细胞癌石蜡切片,用 HNF1β(GT2326)染色,细胞核阳性,DAB 显色。