沪闵械备20190194号
MCM2 是微小染色体维持蛋白(MCM)家族中的一员,是 DNA 复制的主要调控因子,在 DNA 复 制起始和延伸过程中有重要作用,与细胞增殖密切相关。MCM2 在静止细胞中不表达,在增值、转化细胞中表达,是细胞进入增殖期敏感而特异的指标。MCM2 过度表达与肿瘤的发生发展有关,是多种肿瘤早期筛查和评估预后的指标。
【适用】石蜡切片/冰冻切片
【预处理】高pH热修复
【稀释度】浓缩型抗体的建议稀释度为1:50-100
【孵育时间】室温孵育30-60分钟。
【阳性对照】结肠癌
【阳性部位】胞核
【显色系统】最佳染色系统为基因科技生产的GTvision系列试剂盒:DAB 染色液(多聚物法)/DAB 染色液(聚合物法)。

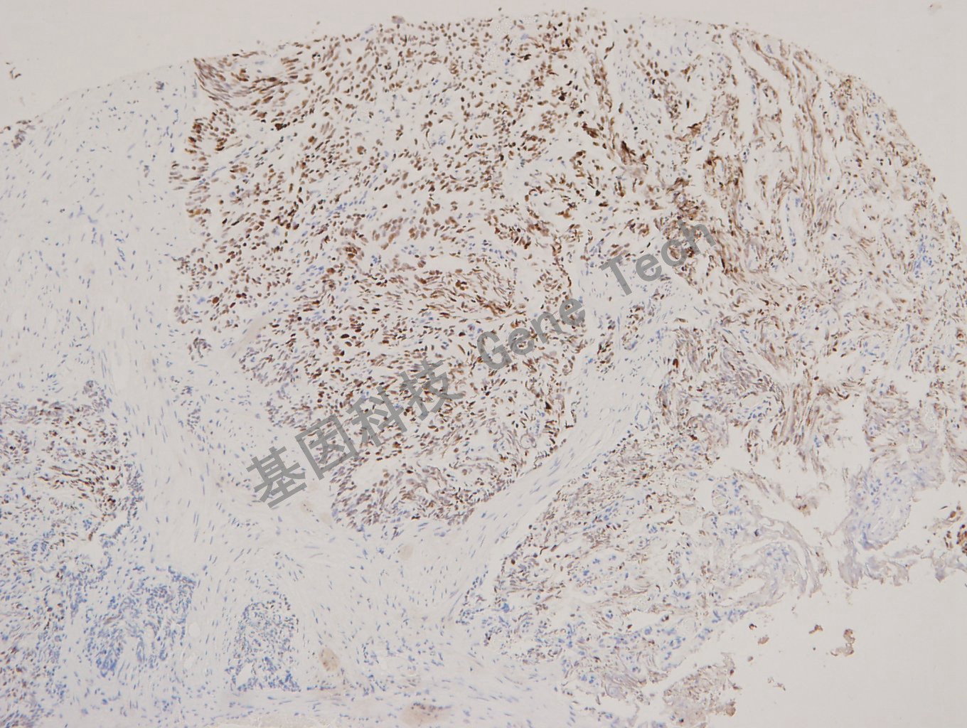
肺癌石蜡切片,用 MCM2(GT2316)染色,细胞核阳性,DAB显色。
结肠癌石蜡切片,用 MCM2(GT2316)染色,细胞核阳性,DAB显色。
前列腺癌石蜡切片,用 MCM2(GT2316)染色,细胞核阳性,DAB显色。
乳腺癌石蜡切片,用 MCM2(GT2316)染色,细胞核阳性,DAB显色。