沪闵械备20190058号
Oct-2(Octamer binding transcription factor 2, 八聚体结合转录因子2)是一种B细胞转录因子,它与辅助激活物Bob.1结合,针对免疫球蛋白启动子的八聚体基序,激活免疫球蛋白基因的转录。它在生发中心形成和B细胞分化为浆细胞的过程中发挥作用。正常情况下,Oct2在所有成熟的B细胞中呈高水平表达,在前B细胞、T细胞和髓细胞低表达,是B细胞分化的一种标志。在NLPHL中L&H细胞Oct2与 Bob.1双阳,在CHL中H/RSC细胞呈Bob.1和Oct2两者之一阳性。此抗体可用于淋巴造血系统疾病的研究。
【种属】兔
【预处理】高pH热修复
【阳性部位】细胞核
【阳性对照】扁桃体
【染色系统】基因科技GTvision试剂盒

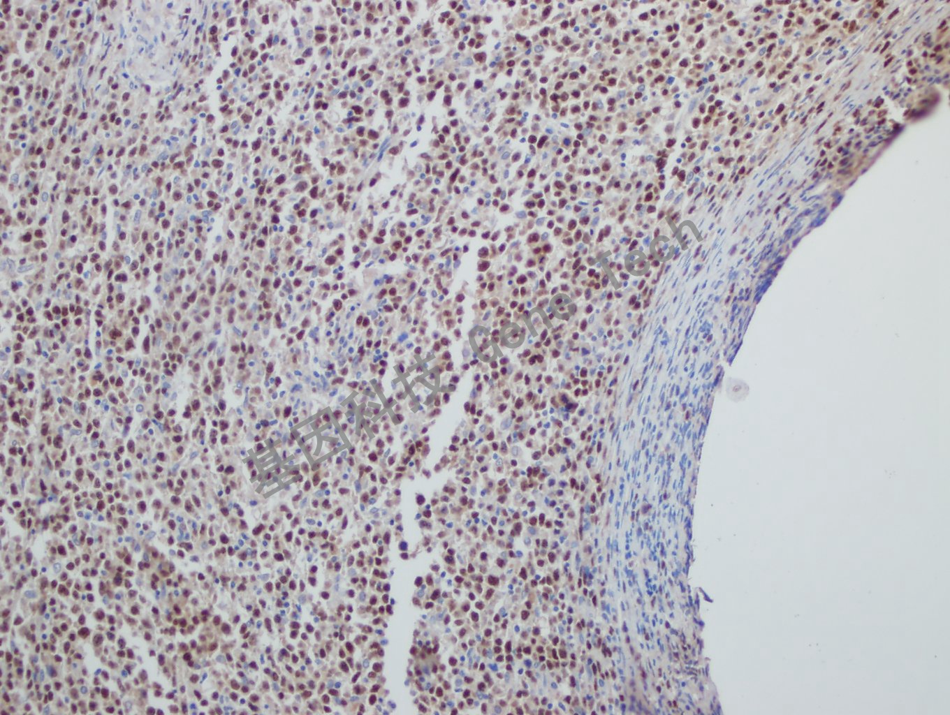
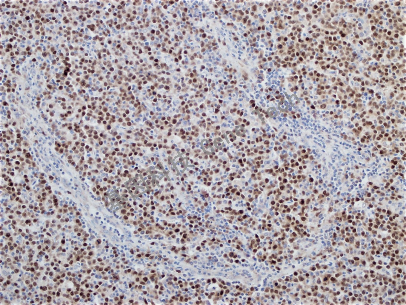
弥漫性大B细胞淋巴瘤石蜡切片,用 Oct-2(GT2323)染色,细胞核阳性,DAB 显色。

弥漫性大B细胞淋巴瘤石蜡切片,用 Oct-2(GT2323)染色,细胞核阳性,DAB 显色。

弥漫性大B细胞淋巴瘤石蜡切片,用 Oct-2(GT2323)染色,细胞核阳性,DAB 显色。

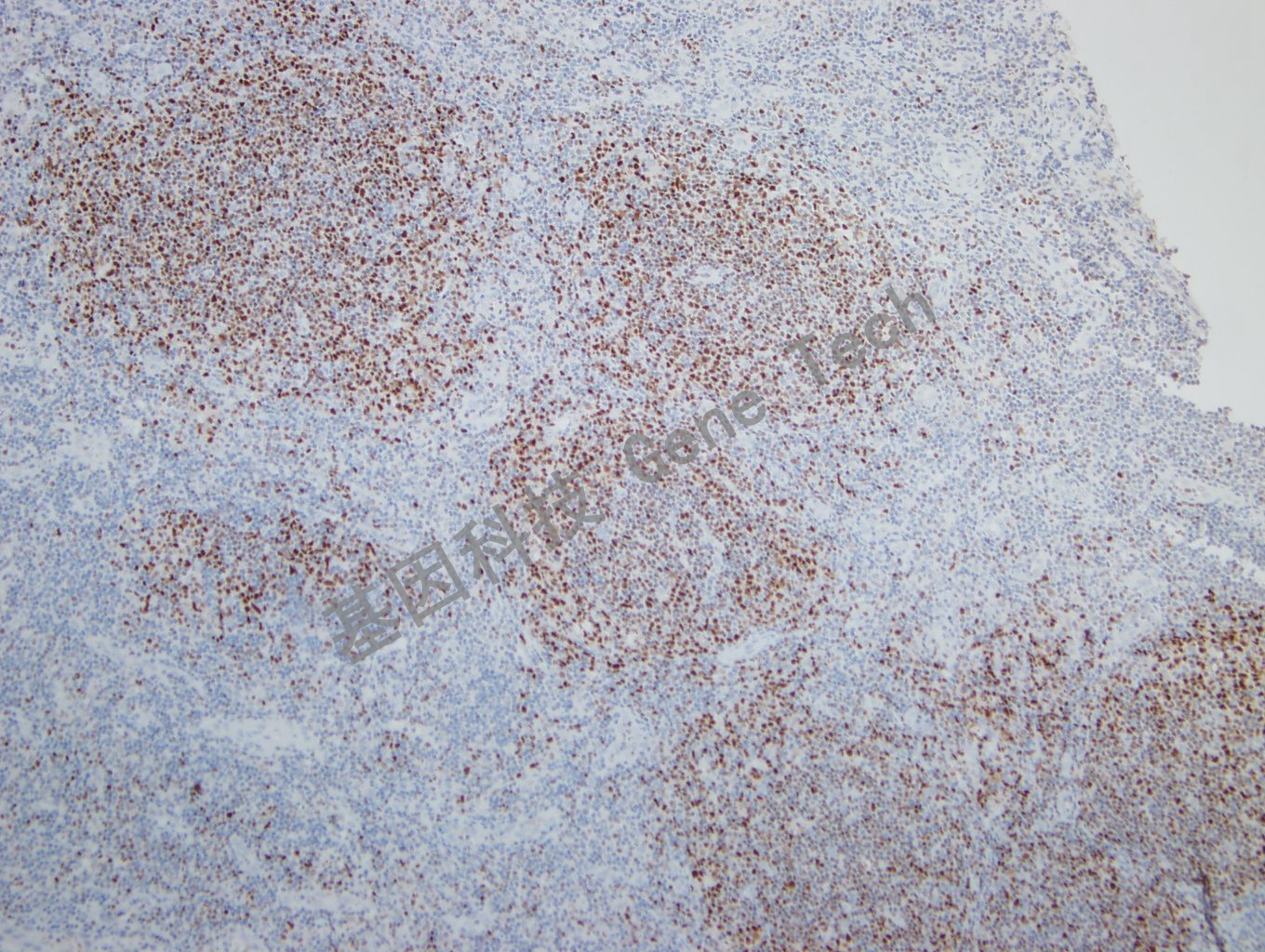
扁桃体石蜡切片,用 Oct-2(GT2323)染色,细胞核阳性,DAB 显色。

扁桃体石蜡切片,用 Oct-2(GT2323)染色,细胞核阳性,DAB 显色。

扁桃体石蜡切片,用 Oct-2(GT2323)染色,细胞核阳性,DAB 显色。

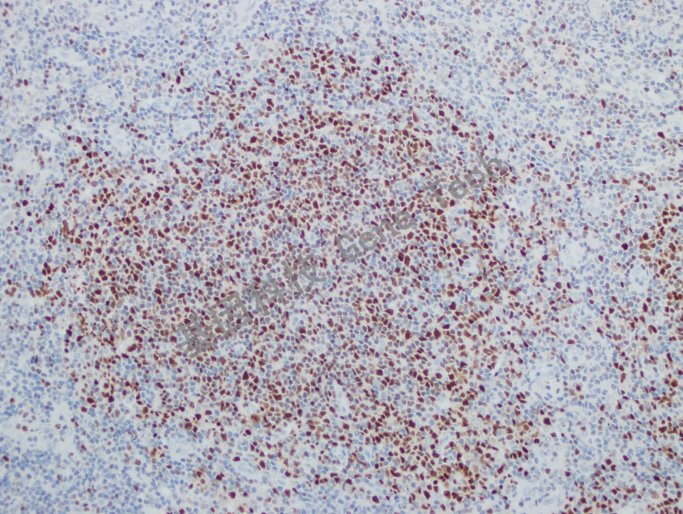
B细胞淋巴瘤石蜡切片,用 Oct-2(GT2323)染色,细胞核阳性,DAB 显色。