沪闵械备20190219号
p40(△ Np63)是 p63 蛋白的亚型之一,在日常病理诊断工作中 p63 被广泛用于肺癌的分型,在肺鳞癌中有很高的敏感性,但也部分表达肺鳞癌,同 p63 相比而言 p40 在肺鳞癌中有着同 p63 抗体类似的高敏感性,但在肺腺癌中罕见表达。故 p40 被推荐用于肺鳞癌和肺腺癌的鉴别诊断。
【种属】兔
【预处理】高pH热修复
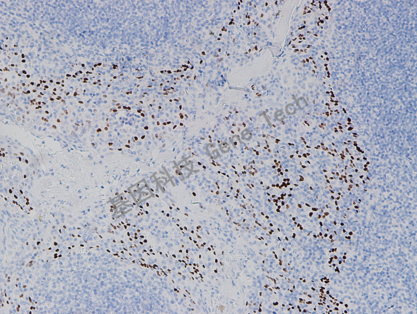
【阳性部位】细胞核
【阳性对照】肺麟癌
【染色系统】基因科技GTvision试剂盒

扁桃体石蜡切片,用 p40(GT2338)染色,细胞核阳性 ,DAB 显色。

扁桃体石蜡切片,用 p40(GT2338)染色,细胞核阳性 ,DAB 显色。