沪闵械备20190094号
P63是抑癌基因P53的同源性基因,在前列腺基底细胞中被发现,然而在恶性前列腺肿瘤中为阴性。因此P63为鉴别前列腺良、恶性肿瘤的有效标记物。可以和其他抗体如:HMW CK、PSA、PSAP等联合应用。
【种属】兔
【预处理】高pH热修复
【阳性部位】细胞核
【阳性对照】前列腺
【染色系统】基因科技GTvision试剂盒

前列腺石蜡切片,用 p63(GT2331)染色,细胞核阳性,DAB 显色。

前列腺石蜡切片,用 p63(GT2331)染色,细胞核阳性,DAB显色。

乳腺石蜡切片,用 p63(GT2331)染色,细胞核阳性,DAB 显色。

乳腺石蜡切片,用 p63(GT2331)染色,细胞核阳性,DAB 显色。

肺癌石蜡切片,用 p63(GT2331)染色,细胞核阳性,DAB 显色。

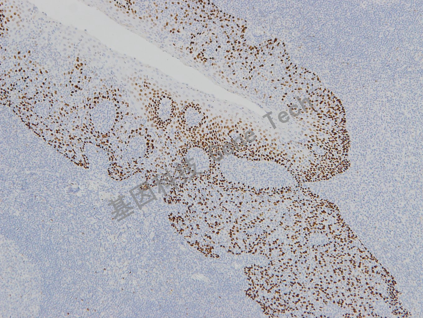
扁桃体石蜡切片,用 p63(GT2331)染色,细胞核阳性,DAB 显色。

扁桃体石蜡切片,用 p63(GT2331)染色,细胞核阳性,DAB 显色。

扁桃体石蜡切片,用 p63(GT2331)染色,细胞核阳性,DAB 显色。

扁桃体石蜡切片,用 p63(GT2331)染色,细胞核阳性,DAB 显色。

扁桃体石蜡切片,用 p63(GT2331)染色,细胞核阳性,DAB 显色。