PDX1 (Pancreatic and duodenal homeobox 1) 又称胰岛素启动因子 1,是胰腺发育和 β 细胞成熟所必需的转录因子。PDX-1 基因突变已被证明可导致胰腺不发育、年轻人成年型糖尿病和 II 型糖尿病。PDX1 最初在胚胎的肠区表达,并选择性地在成人内分泌腺中表达,如胰腺 β- 细胞、十二指肠的布伦内氏腺和胃的幽门内分泌细胞。在胰腺中,PDX1可以在不成熟的外分泌细胞和导管细胞中被检测到。据报道,胰腺、结肠和前列腺肿瘤中的 PDX1 表达增加,提示 PDX1 可能作为这些恶性肿瘤的一种有用的生物标志物。
【种属】兔
【预处理】高pH热修复
【阳性部位】细胞核
【阳性对照】胰腺
【染色系统】基因科技GTvision试剂盒

胃石蜡切片,用 PDX1(GT2293)染色,细胞核阳性,DAB 显色。

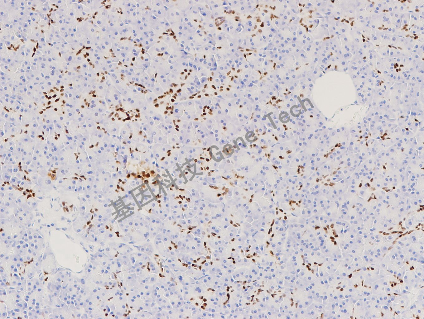
胰腺石蜡切片,用 PDX1(GT2293)染色,细胞核阳性,DAB 显色。

胰腺石蜡切片,用 PDX1(GT2293)染色,细胞核阳性,DAB 显色。
胰腺石蜡切片,用 PDX1(GT2293)染色,细胞核阳性,DAB 显色。