沪闵械备20200138号
PIT-1(Pituitary specific transcription factor-1, )是垂体前叶特异表达的一种重要的转录因子,具有高度保守的DNA结合结构域。PIT-1正向调控生长激素(GH )、催乳素(PRL)和促甲状腺素(TSH)基因的转录,并能够激活这三种细胞生存和增生所必需的其它基因的表达。在垂体瘤中PIT-1是嗜酸性细胞谱系分化的特征性表达。
【种属】兔
【预处理】高pH热修复
【阳性部位】细胞核
【阳性对照】垂体瘤
【染色系统】基因科技GTvision试剂盒

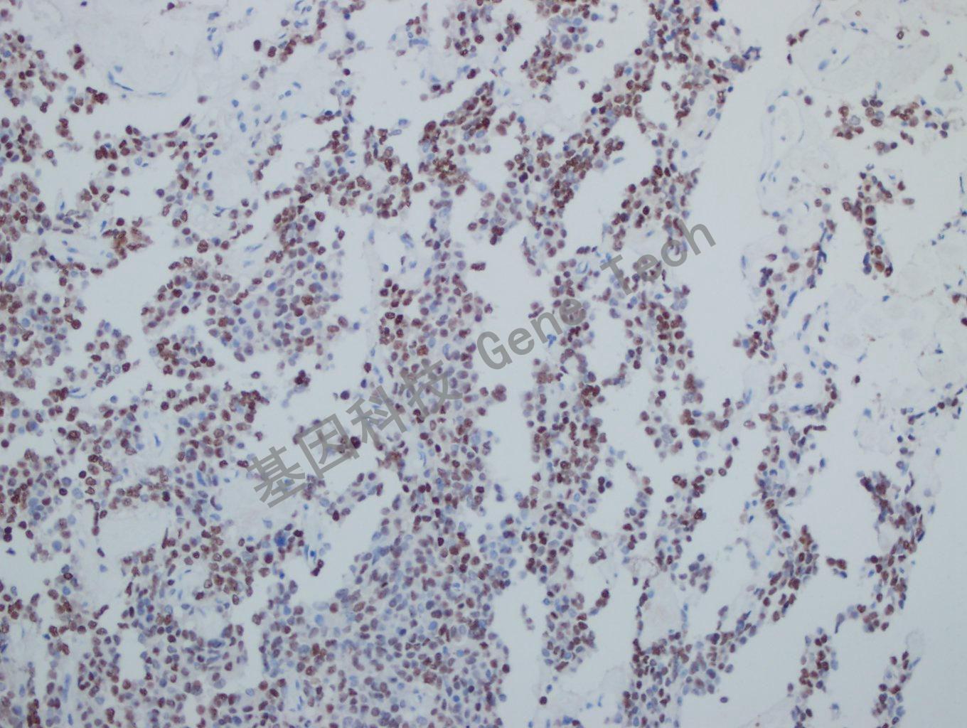
垂体瘤石蜡切片,用 PIT-1(GT2319)染色,细胞核阳性,DAB 显色。

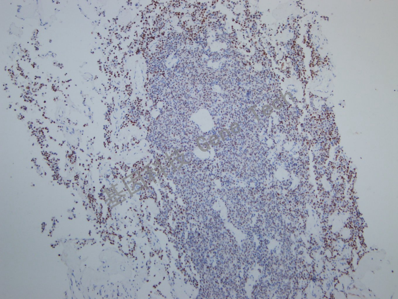
垂体瘤石蜡切片,用 PIT-1(GT2319)染色,细胞核阳性,DAB 显色。

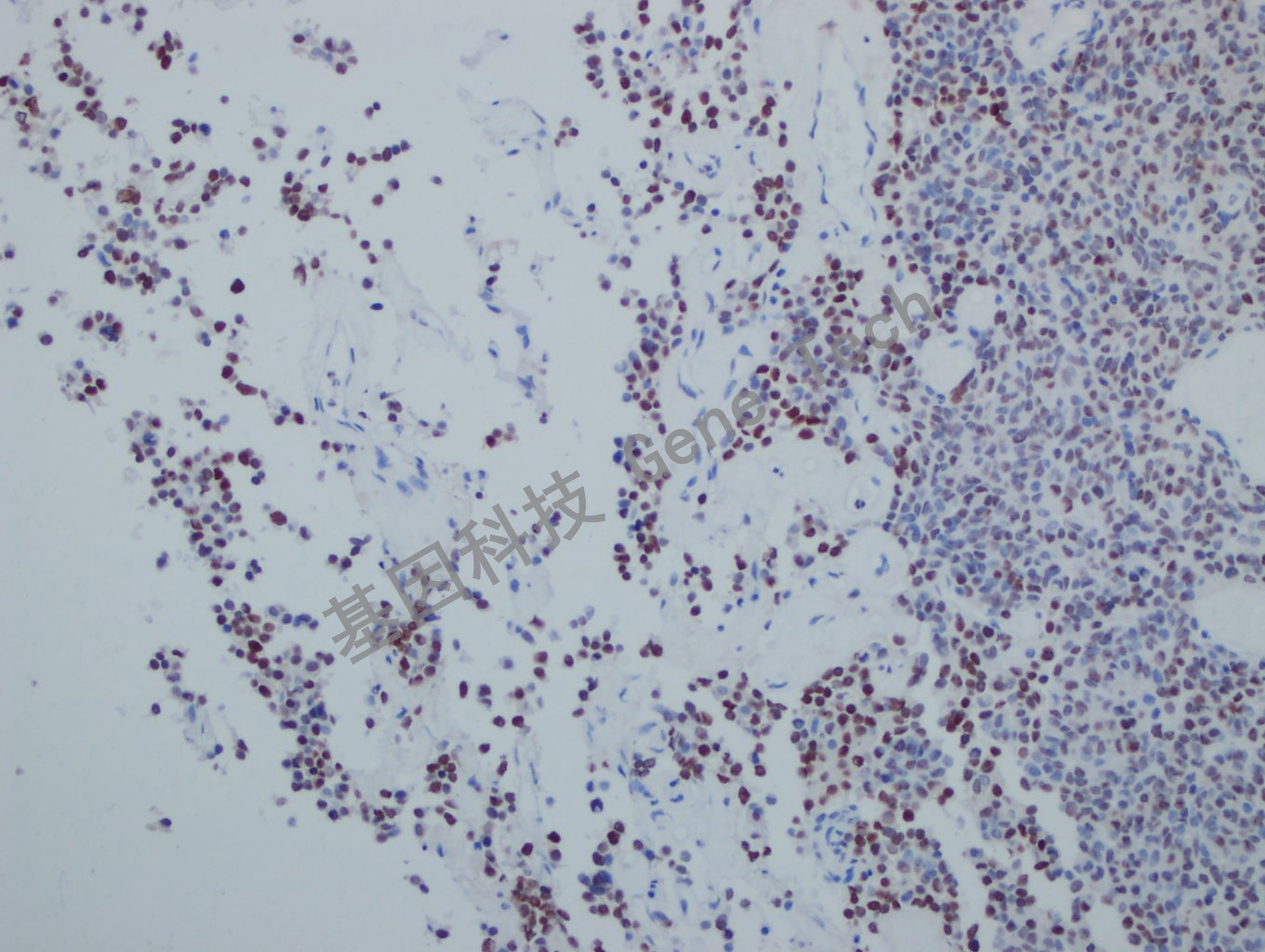
垂体瘤石蜡切片,用 PIT-1(GT2319)染色,细胞核阳性,DAB 显色。

垂体瘤石蜡切片,用 PIT-1(GT2319)染色,细胞核阳性,DAB 显色。

垂体瘤石蜡切片,用 PIT-1(GT2319)染色,细胞核阳性,DAB 显色。

垂体瘤石蜡切片,用 PIT-1(GT2319)染色,细胞核阳性,DAB 显色。

垂体瘤石蜡切片,用 PIT-1(GT2319)染色,细胞核阳性,DAB 显色。

垂体瘤石蜡切片,用 PIT-1(GT2319)染色,细胞核阳性,DAB 显色。

垂体瘤石蜡切片,用 PIT-1(GT2319)染色,细胞核阳性,DAB 显色。

垂体瘤石蜡切片,用 PIT-1(GT2319)染色,细胞核阳性,DAB 显色。

垂体瘤石蜡切片,用 PIT-1(GT2319)染色,细胞核阳性,DAB 显色。

垂体瘤石蜡切片,用 PIT-1(GT2319)染色,细胞核阳性,DAB 显色。

垂体瘤石蜡切片,用 PIT-1(GT2319)染色,细胞核阳性,DAB 显色。