沪闵械备20190198号
PNL2是针对黑色素细胞抗原的一种新型单抗,在正常黑色素细胞及其来源的肿瘤中呈细胞质染色,其检出阳性率高于以往的标记物。透明细胞瘤、血管平滑肌脂肪瘤和淋巴管平滑肌瘤可见不同程度的阳性;血管周上皮样细胞肿瘤和黑色素性神经鞘瘤的非黑色素细胞病变区阳性。与HMB45、MART-1、Tyrosinase和MiTF抗体联合用于黑色素瘤和透明细胞肉瘤的诊断。
【种属】鼠
【预处理】高pH热修复
【阳性部位】细胞浆
【阳性对照】黑色素
【染色系统】基因科技GTvision试剂盒

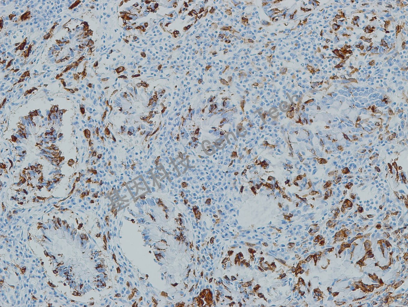
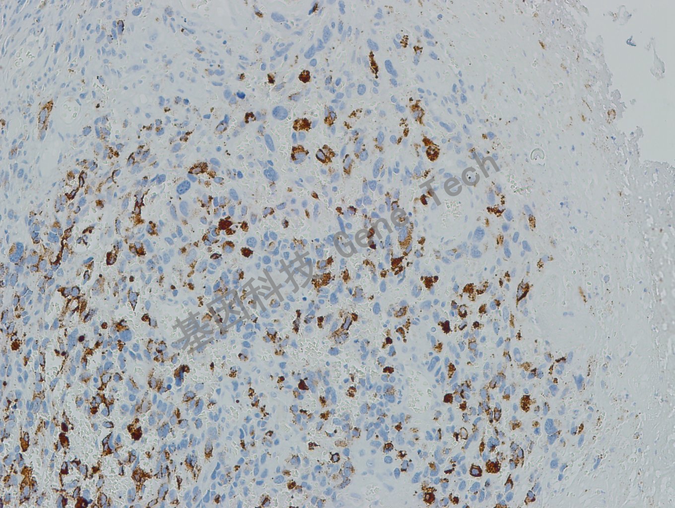
黑色素瘤石蜡切片,用 PNL2(GT2336)染色,细胞浆阳性,DAB 显色。

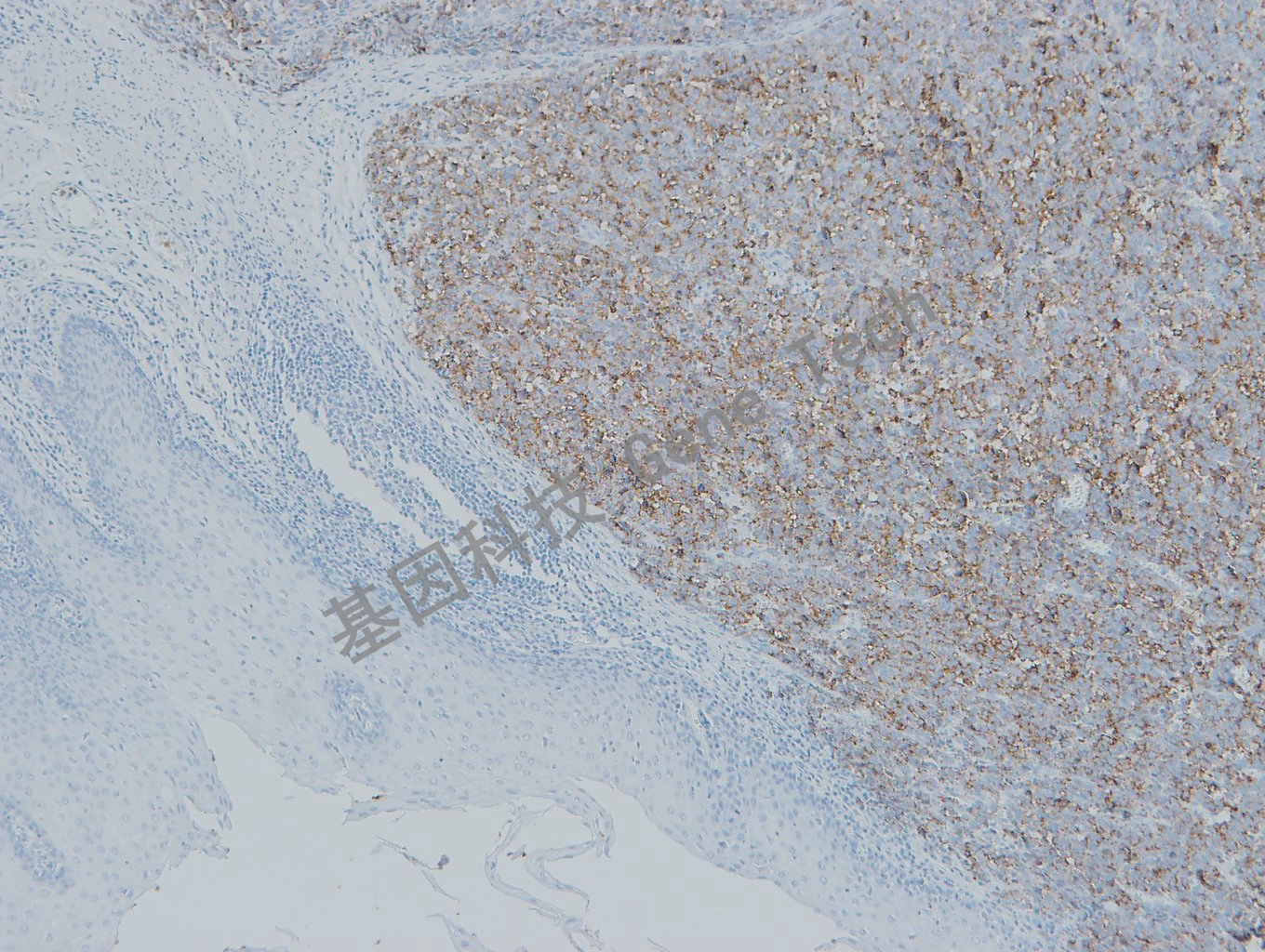
黑色素瘤石蜡切片,用 PNL2(GT2336)染色,细胞浆阳性,DAB 显色。

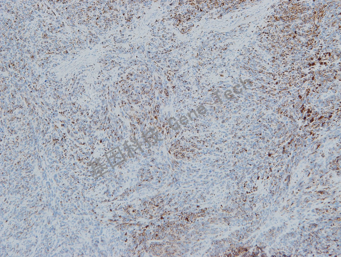
黑色素瘤石蜡切片,用 PNL2(GT2336)染色,细胞浆阳性,DAB 显色。

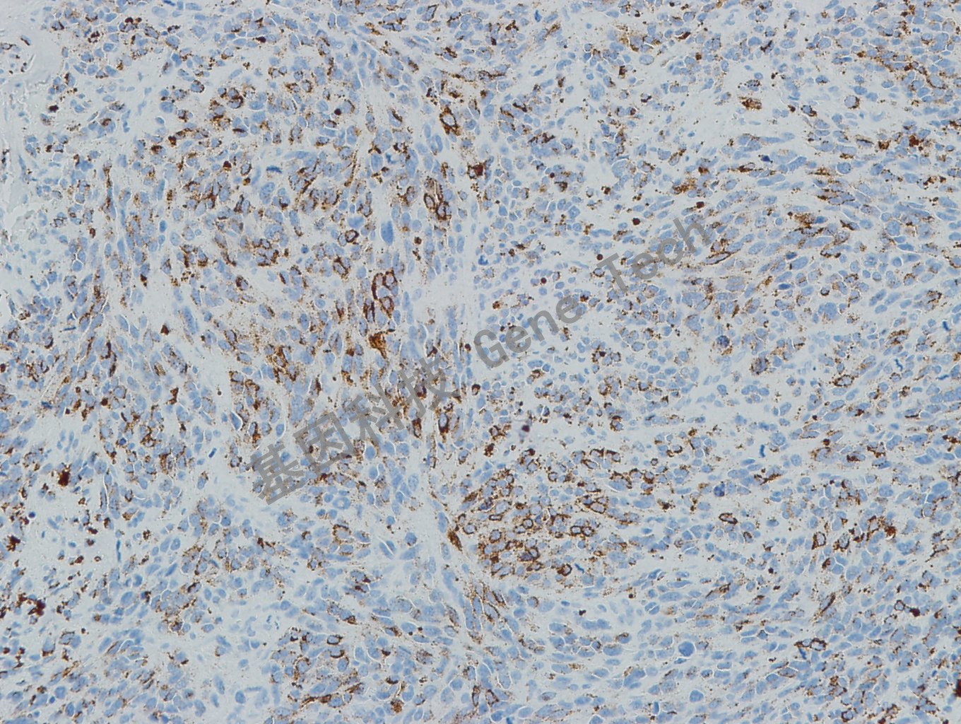
黑色素瘤石蜡切片,用 PNL2(GT2336)染色,细胞浆阳性,DAB 显色。

黑色素瘤石蜡切片,用 PNL2(GT2336)染色,细胞浆阳性,DAB 显色。

黑色素瘤石蜡切片,用 PNL2(GT2336)染色,细胞浆阳性,DAB 显色。

黑色素瘤石蜡切片,用 PNL2(GT2336)染色,细胞浆阳性,DAB 显色。

黑色素瘤石蜡切片,用 PNL2(GT2336)染色,细胞浆阳性,DAB 显色。