沪闵械备20200140号
SF-1(Steroidogenic factor-1, 类固醇生成因子1)又称作NR5A1,属于孤儿核受体家族成员。主要表达于垂体、下丘脑、肾上腺、睾丸的支持细胞核间质细胞、卵巢的粒层细胞和卵泡膜细胞。在垂体内,SF-1在肾上腺良、恶性肿瘤中的表达各异,如在肾上腺皮质无功能瘤和醛固酮癌中高表达,在皮质醇瘤中低表达且与皮质醇瘤大小成正相关。可用于肾上腺皮质肿瘤与嗜铬细胞瘤、肾细胞癌的鉴别诊断。
【种属】兔
【预处理】高pH热修复
【阳性部位】细胞核
【阳性对照】垂体瘤
【染色系统】基因科技GTvision试剂盒

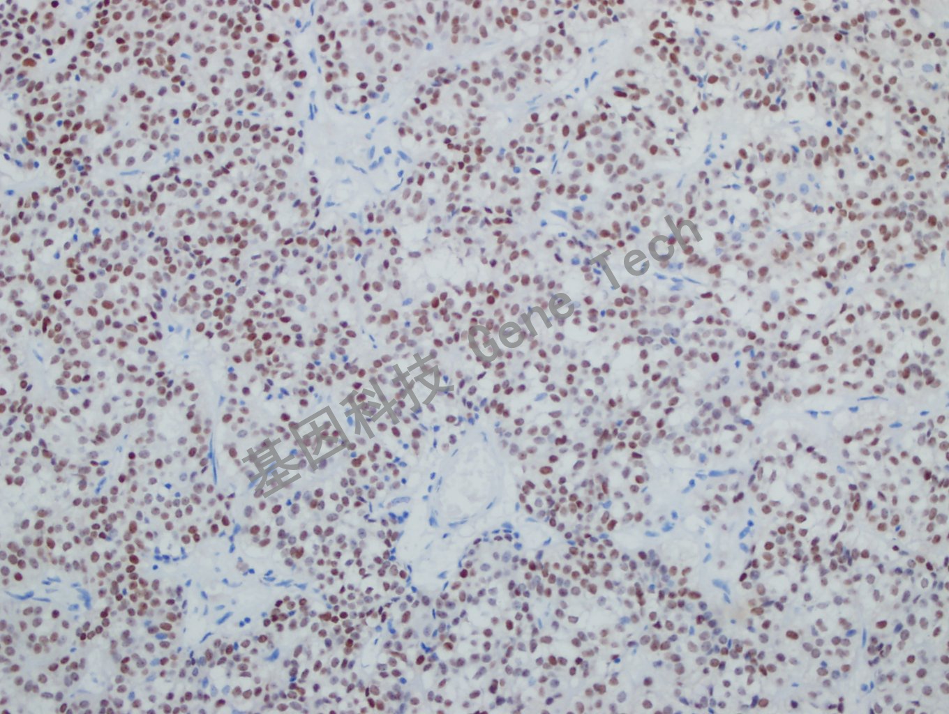
肾上腺皮质癌石蜡切片,用 SF-1(GT2317)染色,细胞核阳性,DAB显色。

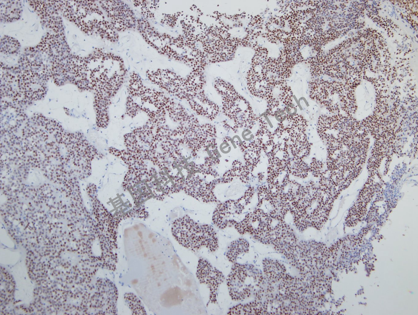
垂体腺瘤石蜡切片,用 SF-1(GT2317)染色,细胞核阳性,DAB显色。

垂体腺瘤石蜡切片,用 SF-1(GT2317)染色,细胞核阳性,DAB显色。

垂体腺瘤石蜡切片,用 SF-1(GT2317)染色,细胞核阳性,DAB显色。

垂体腺瘤石蜡切片,用 SF-1(GT2317)染色,细胞核阳性,DAB显色。

垂体腺瘤石蜡切片,用 SF-1(GT2317)染色,细胞核阳性,DAB显色。

垂体腺瘤石蜡切片,用 SF-1(GT2317)染色,细胞核阳性,DAB显色。

肾上腺皮质癌石蜡切片,用 SF-1(GT2317)染色,细胞核阳性,DAB显色。

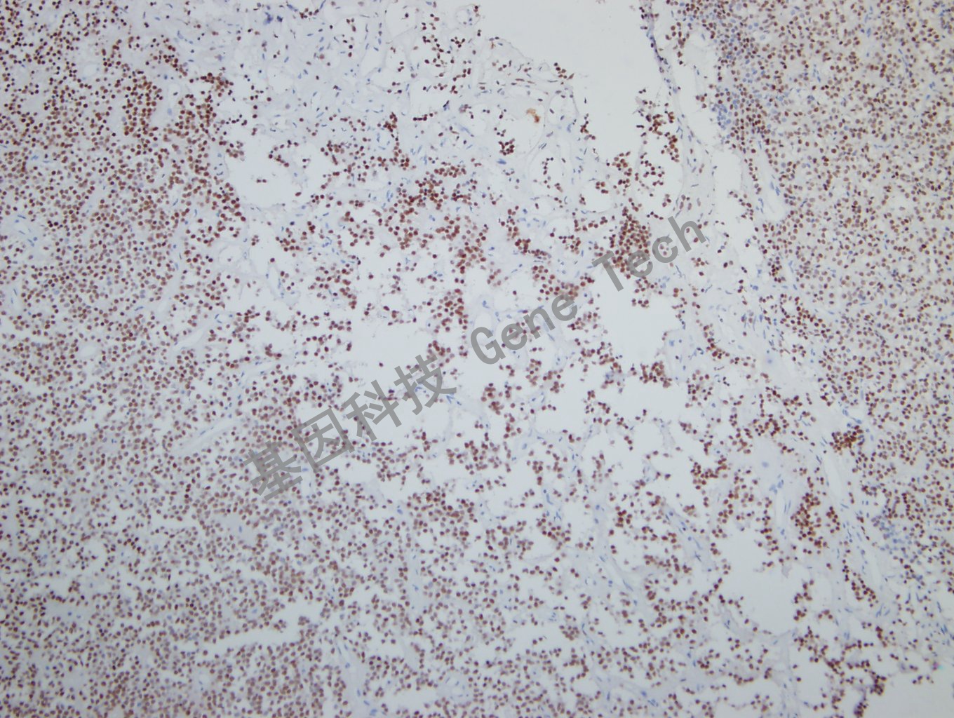
肾上腺嗜铬细胞瘤石蜡切片,用 SF-1(GT2317)染色,细胞核阳性,DAB显色。(10×)

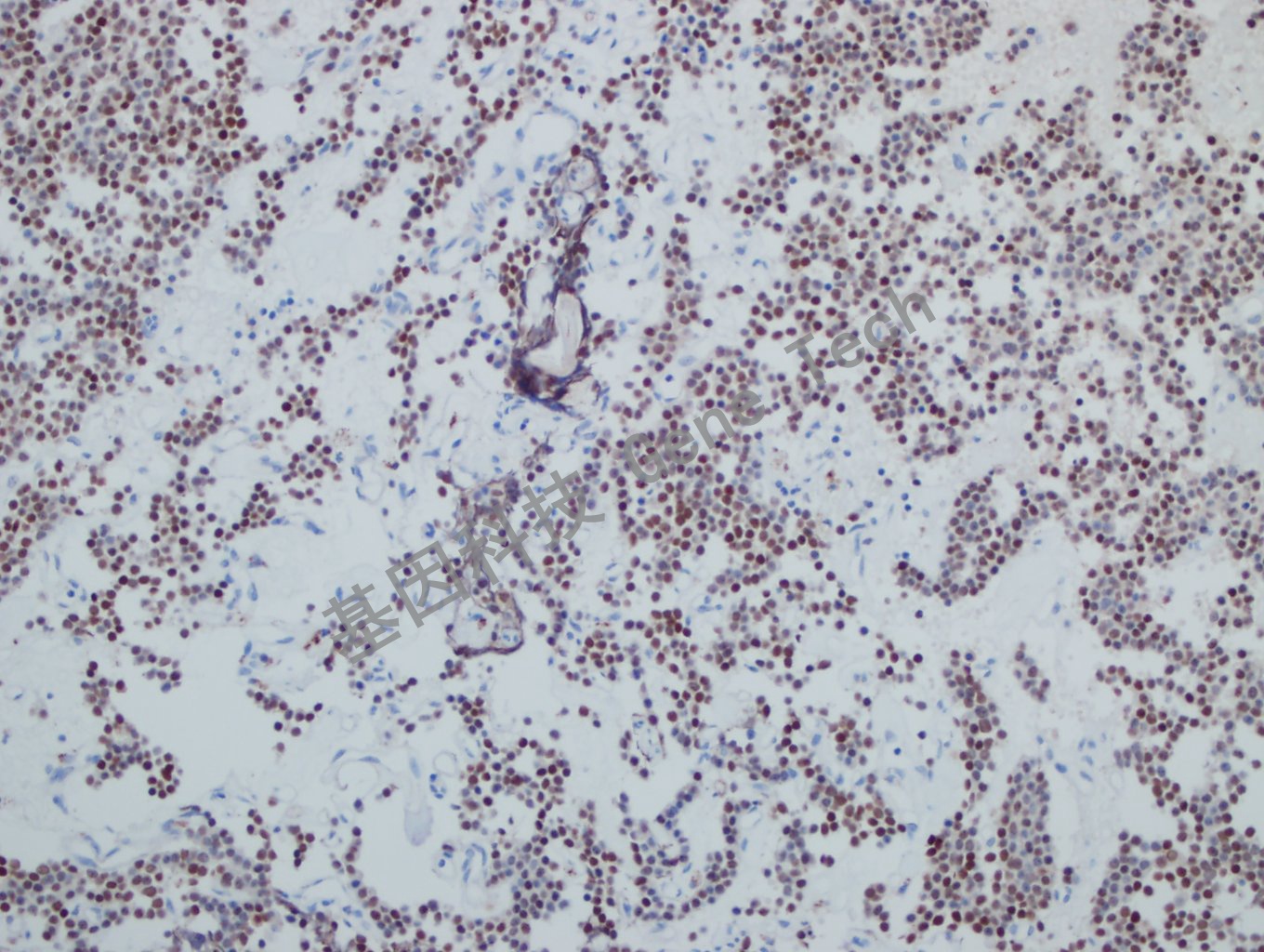
肾上腺嗜铬细胞瘤石蜡切片,用 SF-1(GT2317)染色,细胞核阳性,DAB显色。(40×)