沪闵械备20240019号
Ⅰ型血小板反应蛋白7A域(THSD7A)是一种约250kDa的I型膜蛋白,主要存在于内皮细胞,在发育过程中影响内皮迁移、促进血管新生和重塑,并在肌动蛋白细胞骨架重排中起作用。近些年的研究表明,THSD7A也是特发性膜性肾病靶抗原之一,沉积于相关膜性肾病患者中的足细胞中,可与PLA2R共同用于特发性膜性肾病的诊断。
【种属】兔
【预处理】高pH热修复
【阳性部位】细胞膜
【阳性对照】膜性肾病
【染色系统】基因科技GTvision试剂盒

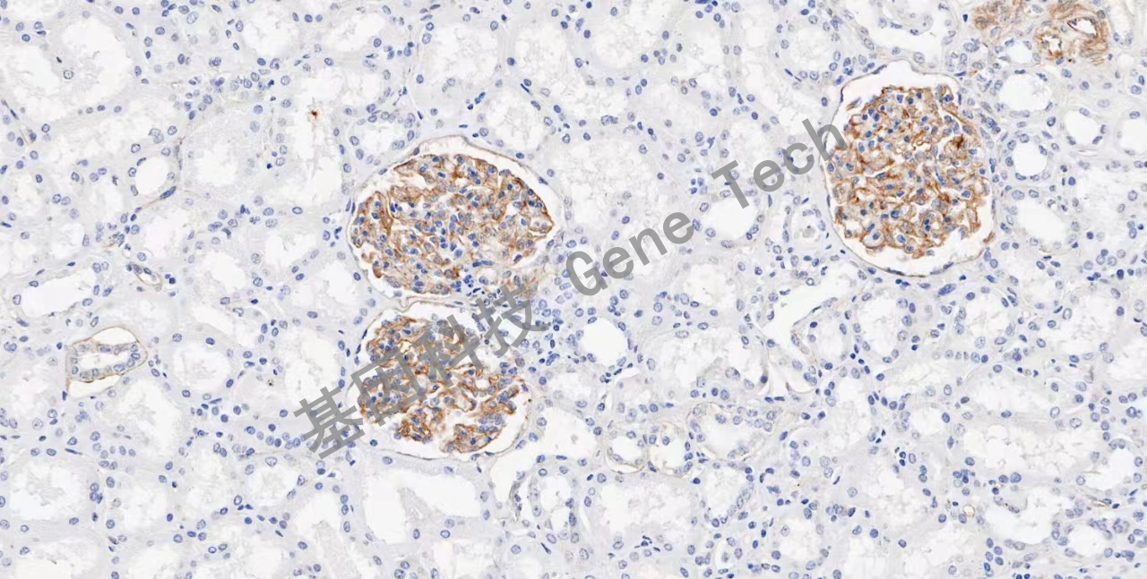
肾石蜡切片,用 THSD7A(GT2587)染色,细胞膜阳性,DAB 显色。

肾石蜡切片,用 THSD7A(GT2587)染色,细胞膜阳性,DAB 显色。