沪闵械备20200137号
T-PIT是阿片-促黑素细胞皮质激素(POMC)谱系与促肾上腺皮质激素细胞转录因子。2017年WHO垂体瘤新分类中根据垂体腺瘤细胞分化(来源)谱系将垂体瘤分为嗜酸性谱系、促肾上腺皮质激素细胞谱系和促性腺激素细胞谱系,T-PIT是促肾上腺皮质激素细胞谱系重要的转录因子。常与SF-1、GATA-2、ERα、PIT-1等联合应用。
【种属】鼠
【预处理】高pH热修复
【阳性部位】细胞核
【阳性对照】垂体瘤
【染色系统】基因科技GTvision试剂盒

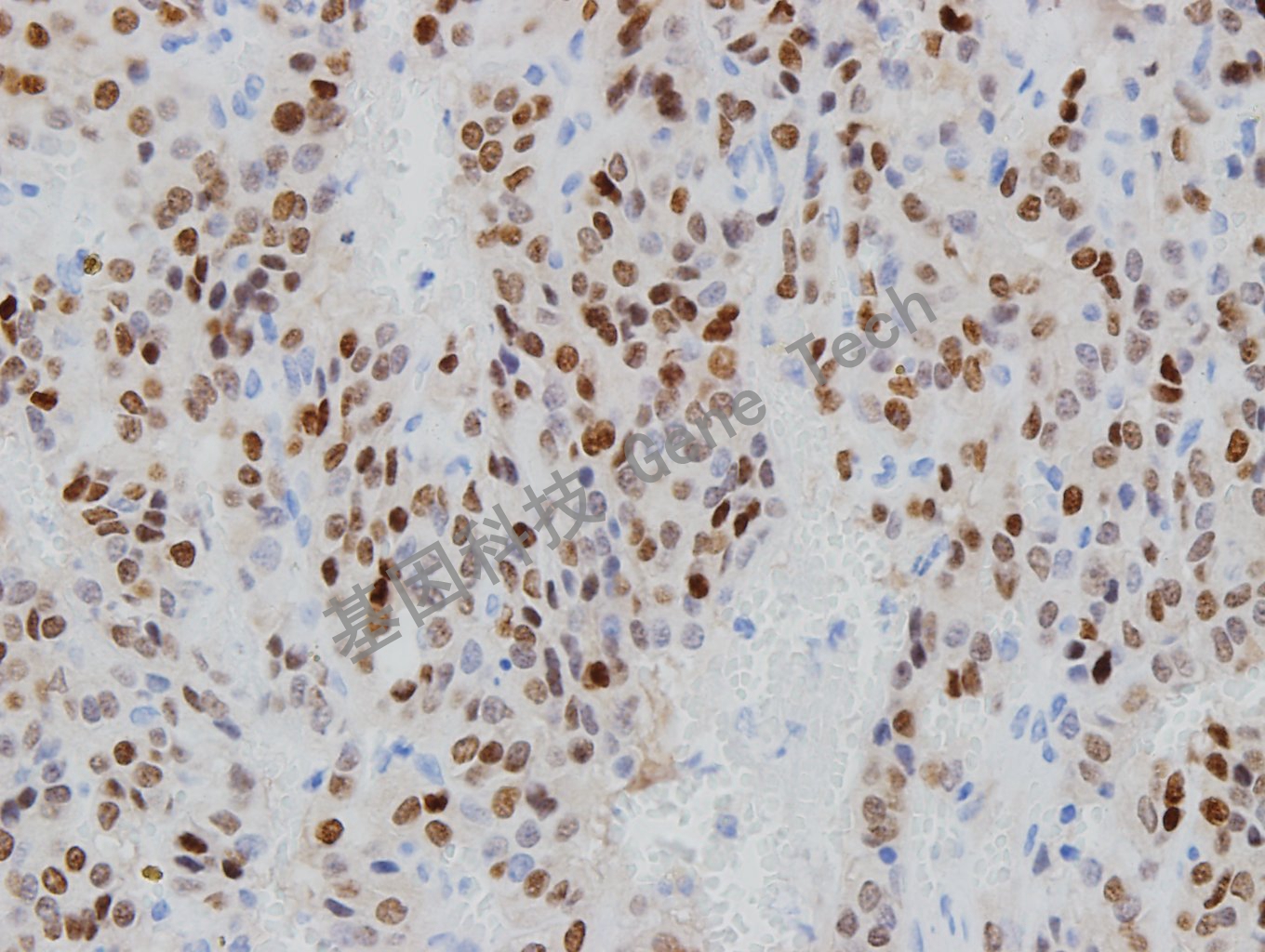
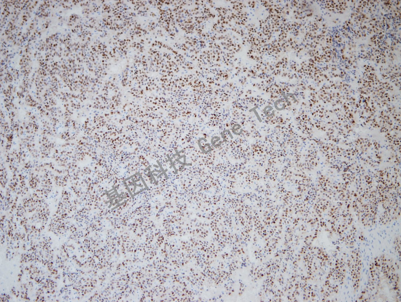
垂体瘤石蜡切片,用 T-Pit(GT2318)染色,细胞核阳性,DAB显色。

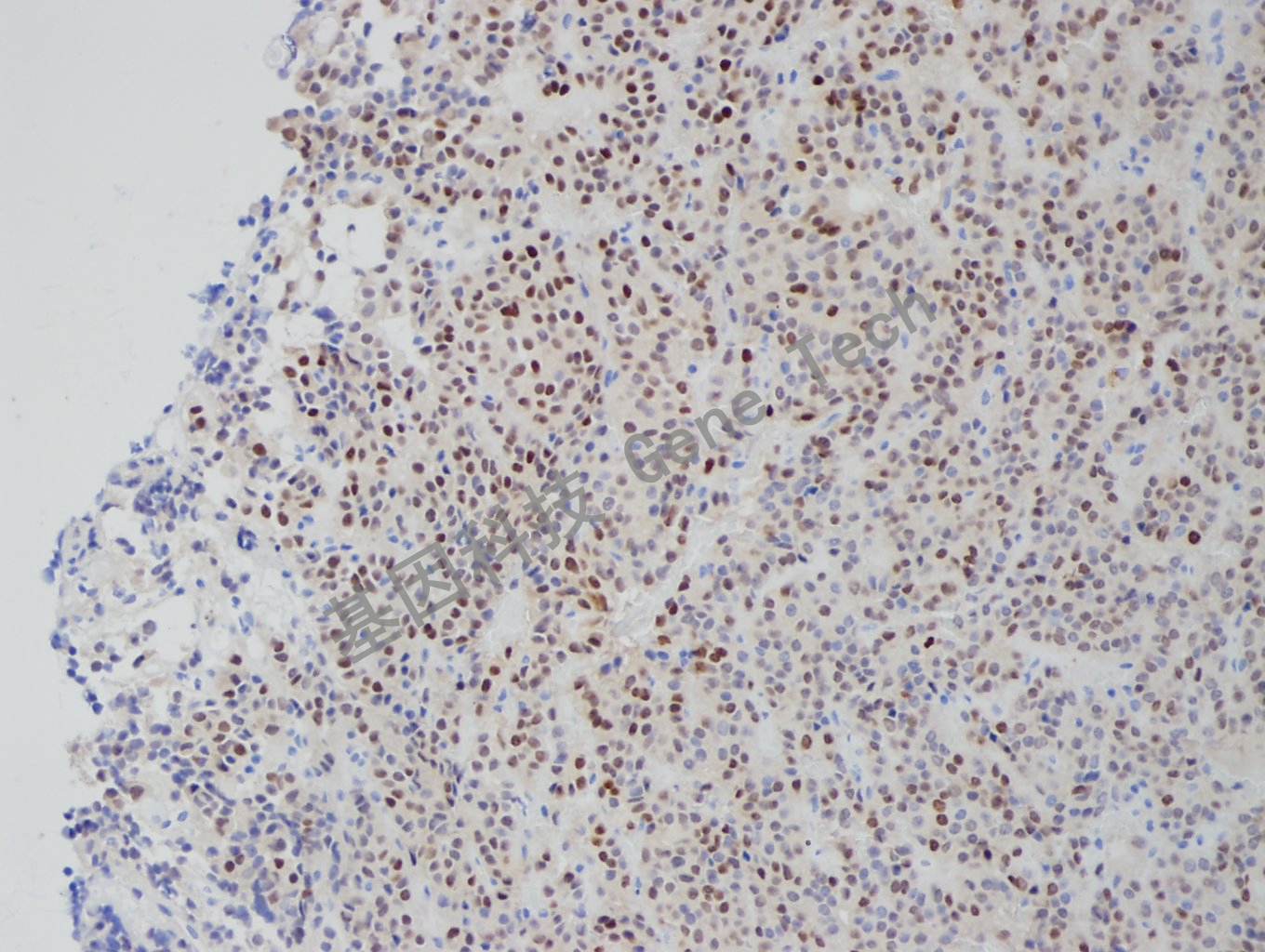
垂体瘤石蜡切片,用 T-Pit(GT2318)染色,细胞核阳性,DAB显色。

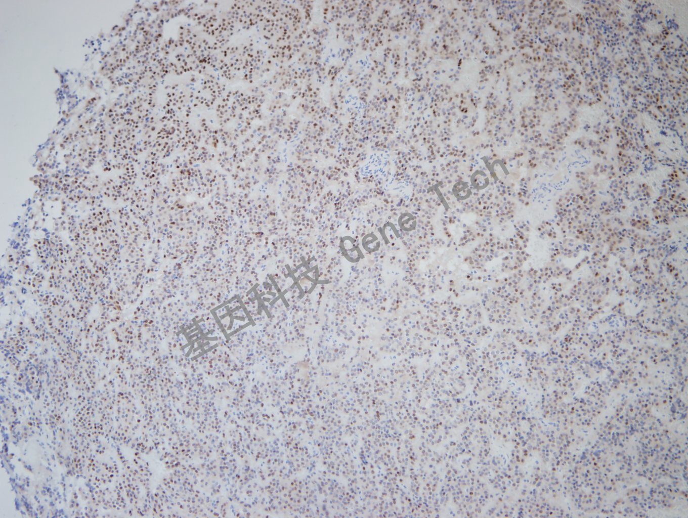
垂体瘤石蜡切片,用 T-Pit(GT2318)染色,细胞核阳性,DAB显色。

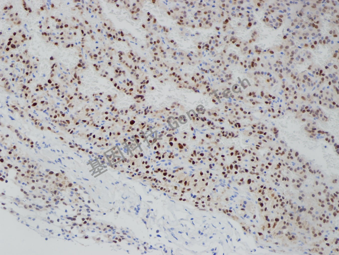
垂体瘤石蜡切片,用 T-Pit(GT2318)染色,细胞核阳性,DAB显色。

垂体瘤石蜡切片,用 T-Pit(GT2318)染色,细胞核阳性,DAB显色。

垂体瘤石蜡切片,用 T-Pit(GT2318)染色,细胞核阳性,DAB显色。

垂体瘤石蜡切片,用 T-Pit(GT2318)染色,细胞核阳性,DAB显色。