沪闵械备20200057号
CK10 & 13 识别56.5kDa(CK10)和53kDa(CK13)的细胞角蛋白,可作为复层鳞状上皮及其来源肿瘤的首选标记物。CK10 在角化复层鳞状上皮的基底层中表达,CK13 是非角化复层鳞状上皮终末分化的标志,在分化程度高的肿瘤组织中呈高表达。CK10、CK13 的表达常伴随上皮细胞的发生、分化和形态变化,可用于复层鳞状上皮来源的肿瘤的发生、发展、转移及其预后等方面的研究。
【适用】石蜡切片/冰冻切片
【预处理】高pH热修复
【稀释度】浓缩型抗体的建议稀释度为1:50-100
【孵育时间】室温孵育30-60分钟。
【阳性对照】宫颈癌
【阳性部位】细胞浆
【显色系统】GTvision系列试剂盒

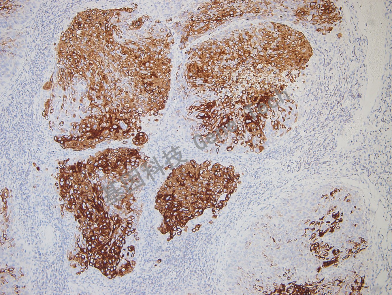
宫颈癌石蜡切片,用CK10/13(GT2341)染色,细胞浆阳性,DAB显色。

宫颈癌石蜡切片,用CK10/13(GT2341)染色,细胞浆阳性,DAB显色。

宫颈癌石蜡切片,用CK10/13(GT2341)染色,细胞浆阳性,DAB显色。

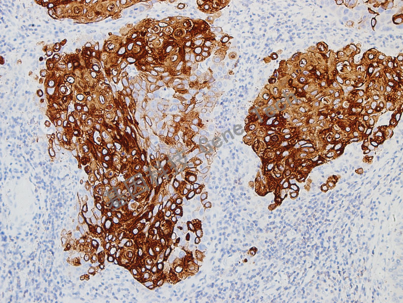
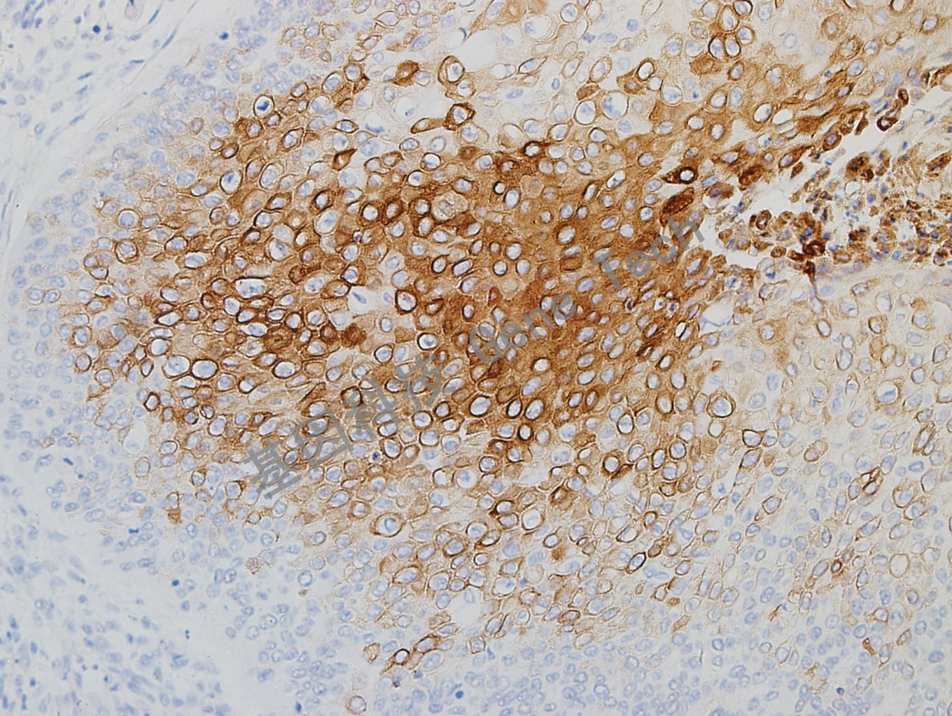
食管癌石蜡切片,用CK10/13(GT2341)染色,细胞浆阳性,DAB显色。

食管癌石蜡切片,用CK10/13(GT2341)染色,细胞浆阳性,DAB显色。

食管癌石蜡切片,用CK10/13(GT2341)染色,细胞浆阳性,DAB显色。