ICAM-1(细胞间黏附分子 -1),又叫做 CD54 是介导黏附反应重要的一个黏附分子。ICAM-1 在静息的血管内皮细胞(VEC)上呈低水平表达,通过与血管内皮细胞表面上的特异性受体结合而发挥其生物学活性。作为白血球和内皮细胞跨膜的蛋白质,ICAM1 在稳定细胞间相互作用和促进白血球和内皮细胞的迁移起到重要作用。
【适用】石蜡切片/冰冻切片
【预处理】高pH热修复
【稀释度】浓缩型抗体的建议稀释度为1:10-20
【孵育时间】室温孵育30-60分钟。
【阳性对照】淋巴结
【阳性部位】胞膜
【显色系统】最佳染色系统为基因科技生产的GTvision系列试剂盒:DAB 染色液(多聚物法)/DAB 染色液(聚合物法)。

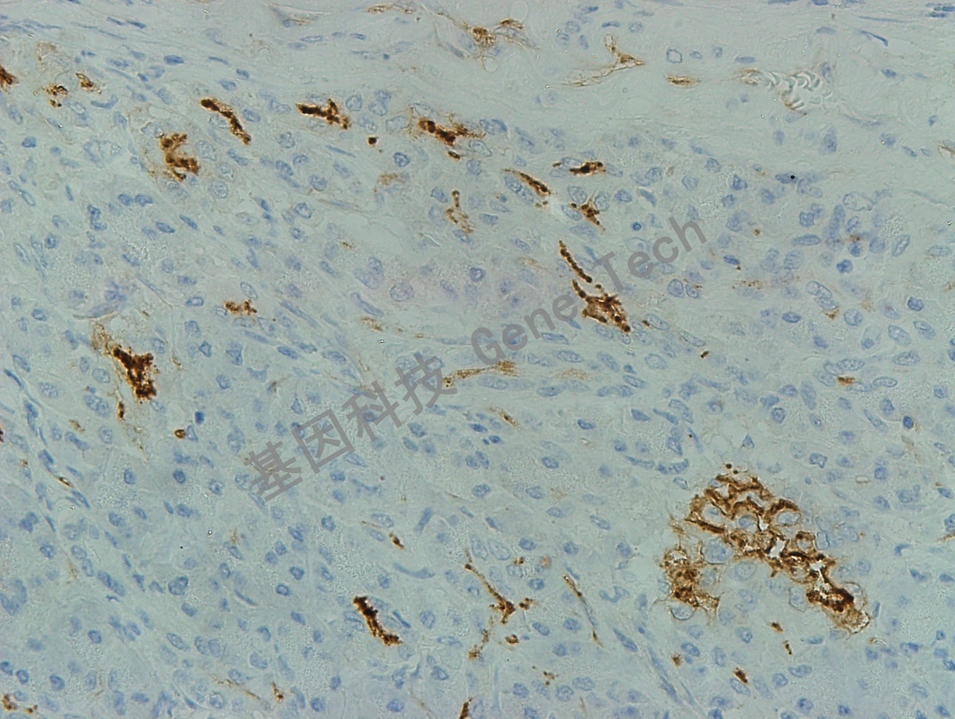
胰腺癌石蜡切片(10X),用 CD54(GT2254)染色,细胞膜阳性,DAB 显色。
胰腺癌石蜡切片(40X),用 CD54(GT2254)染色,细胞膜阳性,DAB 显色。