沪闵械备20200100号
HIF-1α(Hypoxia inducible factor-1 alpha, 缺氧诱导因子1α)是癌症相关基因血浆蛋白,参与能量代谢、血管生成和细胞凋亡,是介导细胞对缺氧微环境进行适应性反应的关键性转录调控基因。可使肿瘤细胞避免低氧诱导的细胞凋亡,在低氧应激中发挥抗凋亡蛋白的作用。表达于多种肿瘤,在骨髓、胆囊、尿路和胰腺肿瘤中常以细胞核为主。在结直肠癌可见细胞质染色,而子宫内膜、肾和肝癌中常阴性。
【种属】兔
【预处理】高pH热修复
【阳性部位】细胞浆/细胞核
【阳性对照】乳腺癌
【染色系统】基因科技GTvision试剂盒

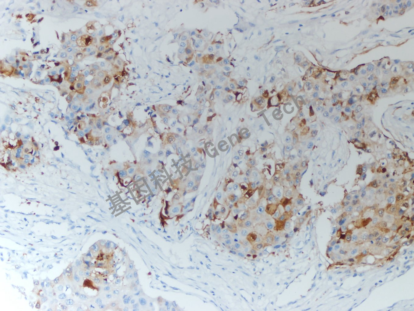
乳腺癌石蜡切片,用 HIF-1α(GT2377)染色,细胞浆/细胞核阳性,DAB 显色。
乳腺癌石蜡切片,用 HIF-1α(GT2377)染色,细胞浆/细胞核阳性,DAB 显色。