沪闵械备20200101号
Ksp-Cadherin是肾特异性钙粘蛋白,是钙粘蛋白家族维一一个只在肾组织中表达的家族成员。Ksp-Cadherin主要表达于正常肾远曲小管、肾集合管及肾嫌色细胞癌和肾嗜酸细胞腺瘤,在肾透明细胞癌中低表达或不表达。尽管上皮样肉瘤中不表达,但是若在肉瘤中表达可能同上皮样分化相关。在渗出液中区别非肿瘤性间皮细胞和癌细胞(在渗出液中的卵巢肿瘤细胞E-cadherin 高表达);在鉴别间皮瘤和其他缺少细胞粘附力的肿瘤(如:乳腺小叶癌和胃癌,这些肿瘤有着很高频率的突变。)中有一些价值;现在也有报道可用于乳腺小叶癌和导管癌的鉴别(后者常为阳性,前者常阴性)。
【种属】兔
【预处理】高pH热修复
【阳性部位】细胞膜/细胞浆
【阳性对照】肾脏
【染色系统】基因科技GTvision试剂盒

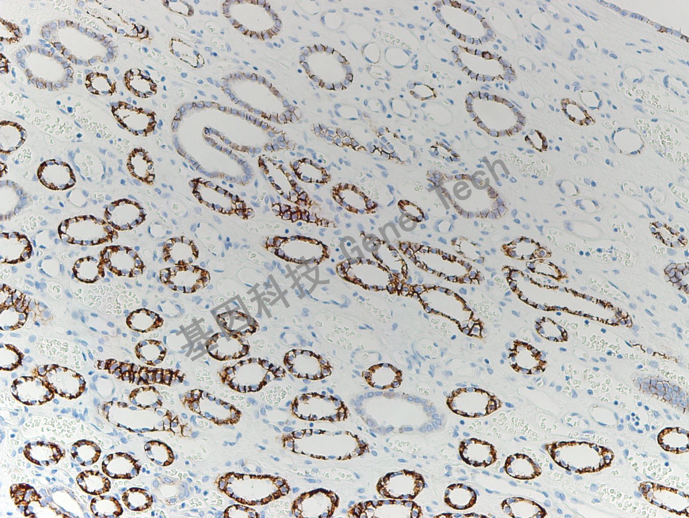
正常肾石蜡切片,用 Ksp-Cadherin(GT2378)染色,细胞膜/细胞浆阳性,DAB 显色。
正常肾石蜡切片,用 Ksp-Cadherin(GT2378)染色,细胞膜/细胞浆阳性,DAB 显色。