C-erbB-2 肽受体表达ERB2 基因编码的一部分,分子量为185kD,也称为HER-2 或 NEU。该抗体识别细胞膜结合 C-erbB-2 的胞浆部分的表位,可作为乳腺癌、卵巢癌、子宫内膜癌及消化道肿瘤预后的参考指标。约25-30%的人乳腺癌病例中,C-erbB-2癌蛋白过表达。该抗体标记的特异性染色仅限于细胞膜。偶见的胞浆染色不应视为阳性。
【适用】石蜡切片/冰冻切片
【预处理】高pH热修复
【稀释度】浓缩型抗体的建议稀释度为1:100-200
【孵育时间】室温孵育30-60分钟。
【阳性对照】乳腺癌
【阳性部位】胞膜
【显色系统】最佳染色系统为基因科技生产的GTvision系列试剂盒:DAB 染色液(多聚物法)/DAB 染色液(聚合物法)。

乳腺浸润性导管癌石蜡切片,C-erbB-2 (GT2245)染色,细胞膜阳性,DAB显色。

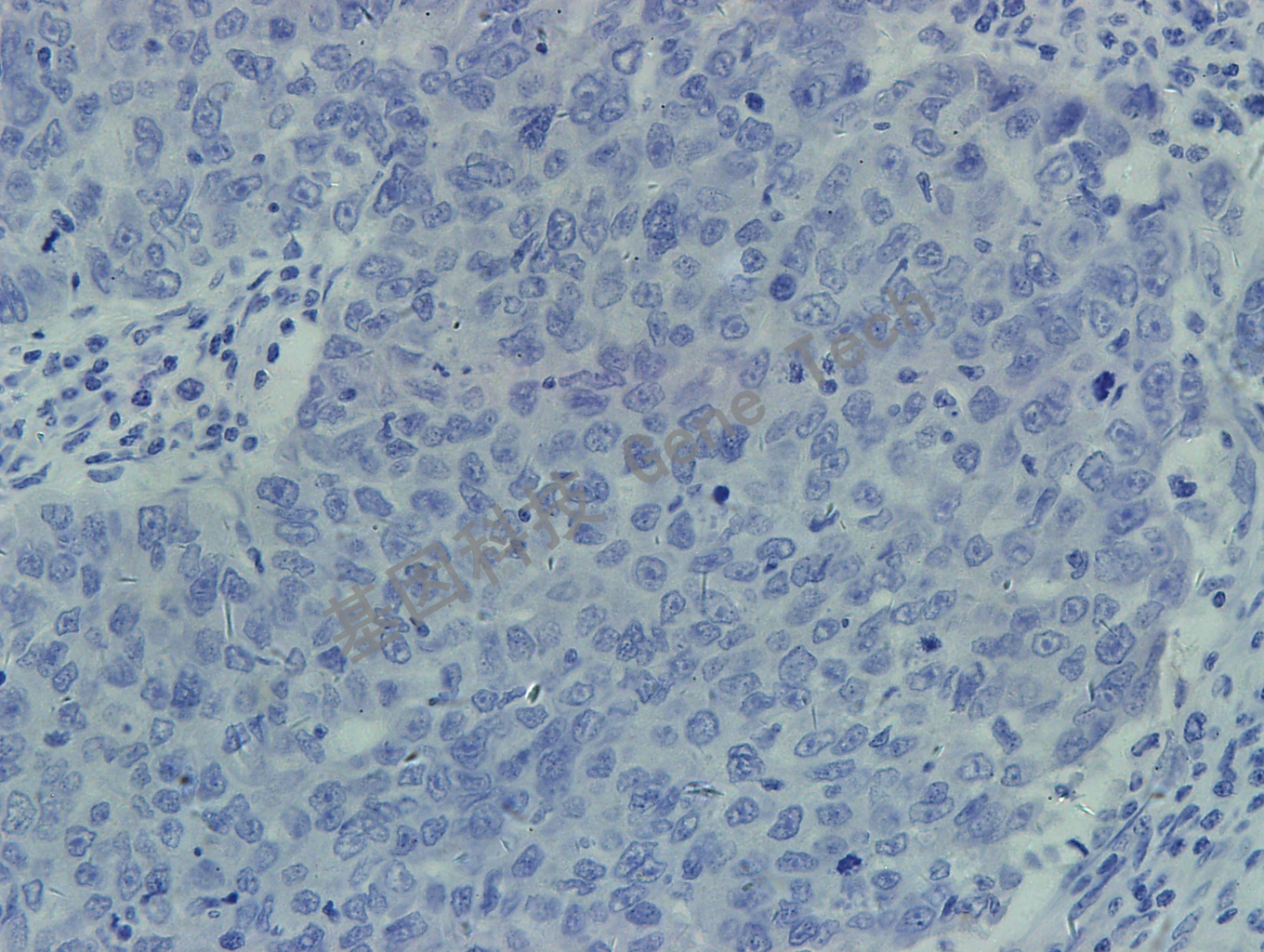
乳腺浸润性导管癌C-erbB-2,0,无染色。(10X)

乳腺浸润性导管癌C-erbB-2,0,无染色。(40X)

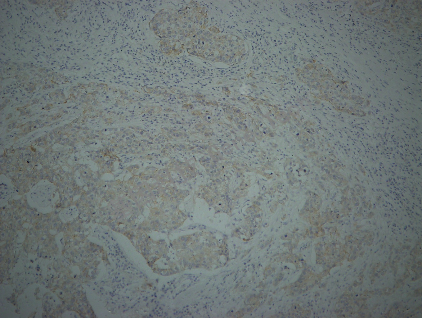
乳腺浸润性导管癌C-erbB-2,1+,≤ 10%的浸润癌细胞呈现不完整的、微弱的细胞膜染色。(10X)

乳腺浸润性导管癌C-erbB-2,1+,≤ 10%的浸润癌细胞呈现不完整的、微弱的细胞膜染色。(40X)

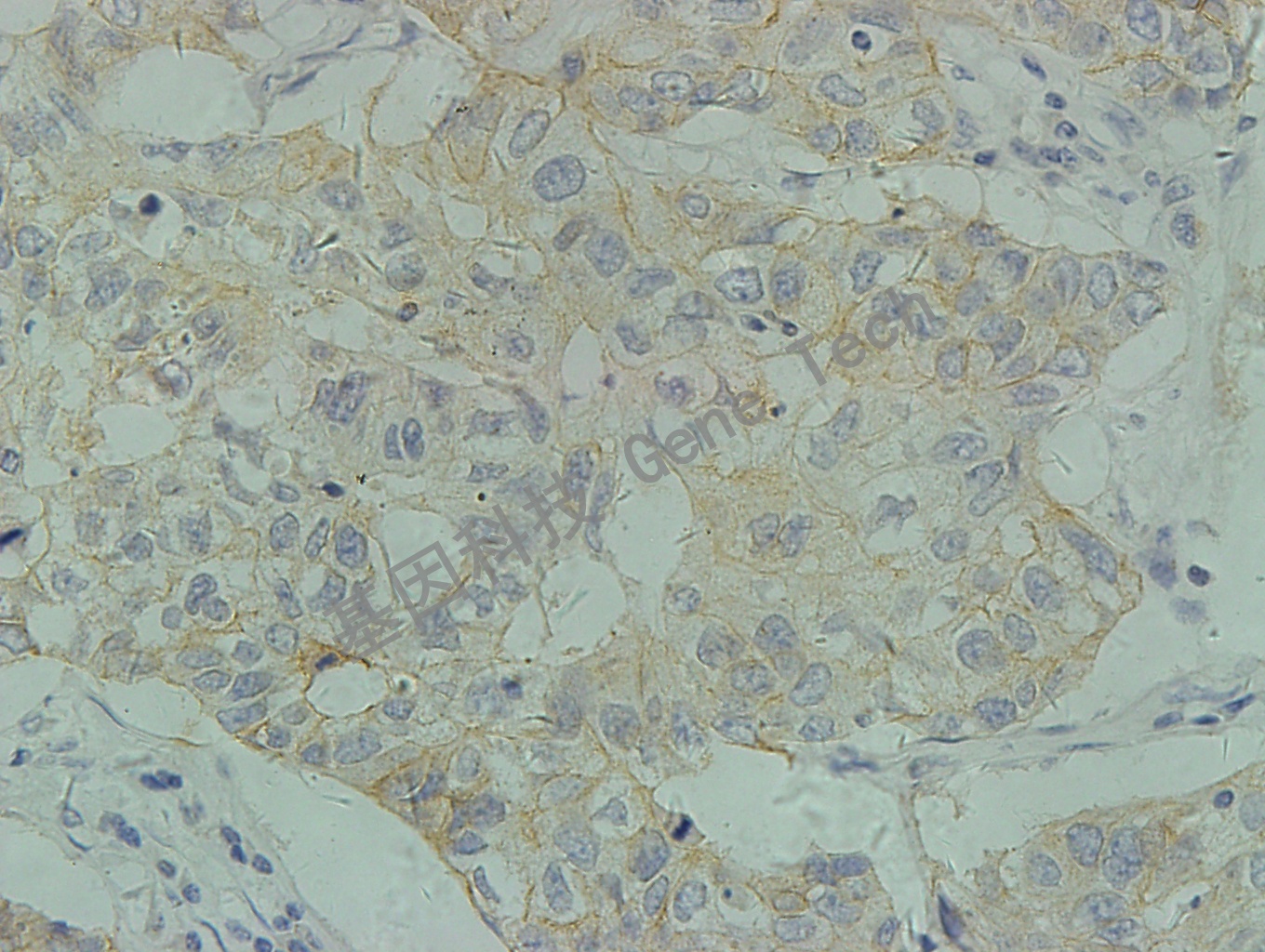
乳腺浸润性导管癌C-erbB-2,2+,>10%的浸润癌细胞呈现不完整的、微弱的细胞膜染色≤ 10%的浸润癌细胞呈现强而完整的细胞膜染色。(10X)

乳腺浸润性导管癌C-erbB-2,2+,>10%的浸润癌细胞呈现不完整的、微弱的细胞膜染色≤ 10%的浸润癌细胞呈现强而完整的细胞膜染色。(40X)

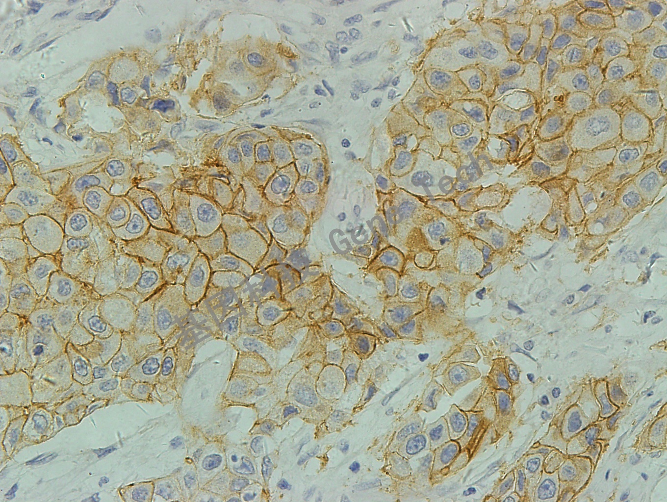
乳腺浸润性导管癌C-erbB-2,3+,>10%的浸润癌细胞呈现强而完整的细胞膜染色。(10X)
乳腺浸润性导管癌C-erbB-2,3+,>10%的浸润癌细胞呈现强而完整的细胞膜染色。(40X)