沪闵械备20190093号
MTS1基因,又称为CDKN2A基因,位于人类染色体9P21,编码一种细胞周期蛋白依赖性激酶4(CDK4)的抑制蛋白。该蛋白由148个氨基酸构成,分子量为15.8kDa, 故称为p16。P16蛋白通过与cyclin D1以竞争方式结合CDK4,抑制CDK4的活性,从而阻止Rb蛋白的磷酸化,最终使细胞停滞于G0期或G1期,而抑制细胞分裂、增殖。该抗体对HPV感染的宫颈癌或宫颈高级别上皮内瘤变的诊断具有重要意义。
【适用】石蜡切片/冰冻切片
【预处理】高pH热修复
【稀释度】浓缩型抗体的建议稀释度为1:25-50
【孵育时间】室温孵育30-60分钟。
【阳性对照】宫颈癌
【阳性部位】胞浆/胞核
【显色系统】最佳染色系统为基因科技生产的GTvision系列试剂盒:DAB 染色液(多聚物法)/DAB 染色液(聚合物法)。

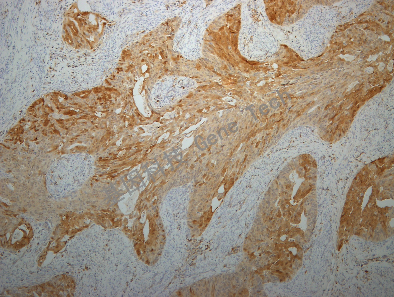
子宫内膜癌石蜡切片,用 p16(GT2013)染色,细胞浆/细胞核阳性,DAB显色。

子宫内膜癌石蜡切片,用 p16(GT2013)染色,细胞浆/细胞核阳性,DAB显色。