沪闵械备20200158号
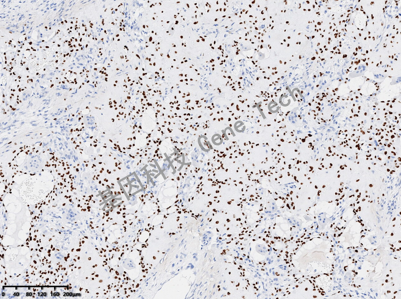
H3.3G34W(人组蛋白H3.3)突变抗体是诊断骨巨细胞瘤(GCTB)高度灵敏和特异的标志物,有助于与具有相似形态学的骨肿瘤的鉴别。该抗体的局限性是少数存在G34突变但不是G34W突变的GCTB不能被检测出。
【种属】兔
【预处理】高pH热修复
【阳性部位】细胞核
【阳性对照】骨巨细胞瘤
【染色系统】基因科技GTvision试剂盒

骨巨细胞瘤石蜡切片,用 H3.3G34W(GT2437)染色,细胞核阳性,DAB 显色。

骨巨细胞瘤石蜡切片,用 H3.3G34W(GT2437)染色,细胞核阳性,DAB 显色。