沪闵械备20200159号
H3K36M是组蛋白H3发生突变,导致36位赖氨酸(K36)被甲硫氨酸(M)替换。K36M突变通过抑制特定的组蛋白甲基转移酶(HMTs),改变肿瘤基因组整体水平的表观修饰水平,参与肿瘤的形成和进展。研究表明超过95%的软骨母细胞瘤存在H3K36M突变,可作为诊断软骨母细胞瘤的特异性标记物。
【种属】兔
【预处理】高pH热修复
【阳性部位】细胞核
【阳性对照】软骨母细胞瘤
【染色系统】基因科技GTvision试剂盒

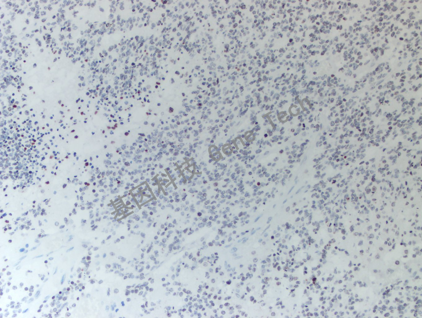
软骨肉瘤石蜡切片,用 H3K36M(GT2443)染色,细胞核阳性,DAB 显色。

软骨肉瘤石蜡切片,用 H3K36M(GT2443)染色,细胞核阳性,DAB 显色。

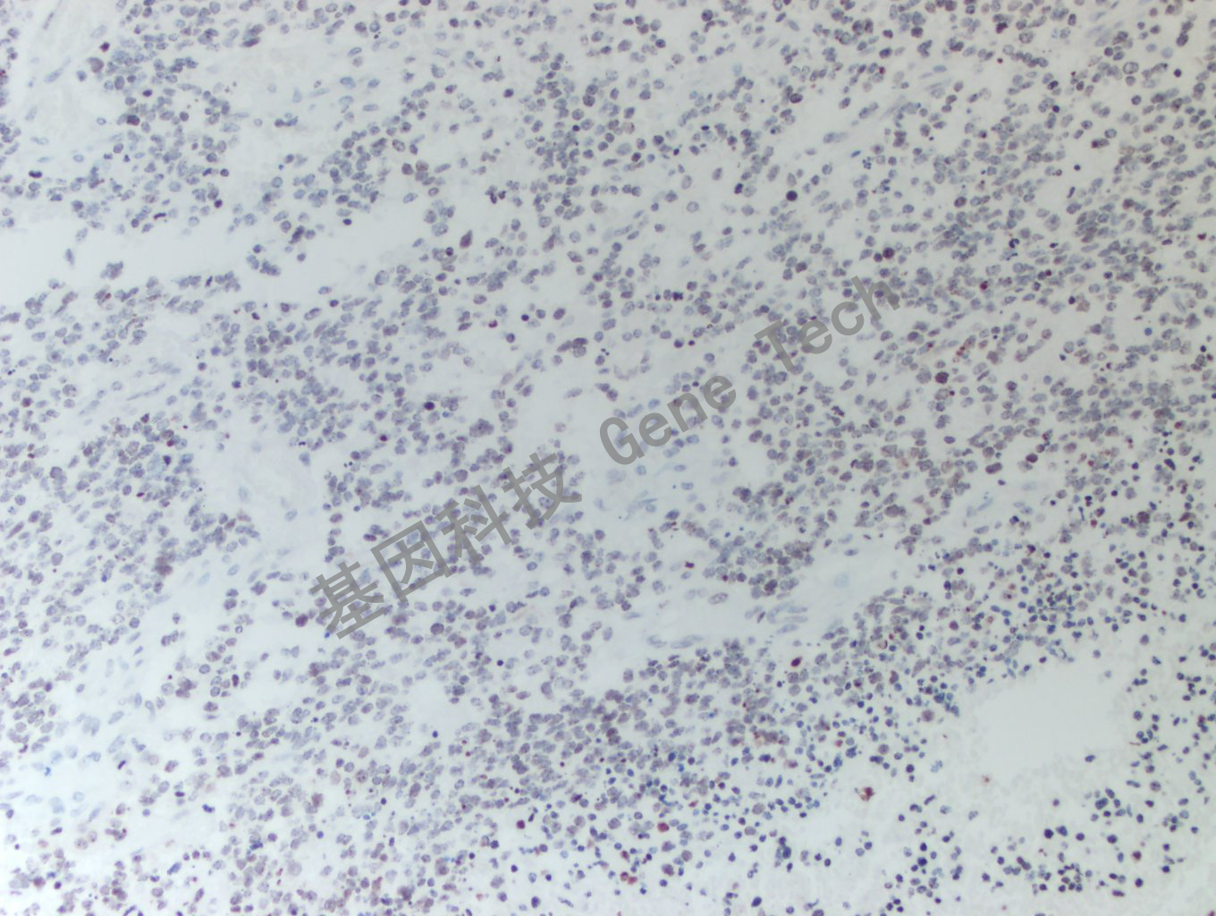
胶质瘤石蜡切片,用 H3K36M(GT2443)染色,细胞核阳性,DAB 显色。

胶质瘤石蜡切片,用 H3K36M(GT2443)染色,细胞核阳性,DAB 显色。

胶质瘤石蜡切片,用 H3K36M(GT2443)染色,细胞核阳性,DAB 显色。

胶质瘤石蜡切片,用 H3K36M(GT2443)染色,细胞核阳性,DAB 显色。

胶质瘤石蜡切片,用 H3K36M(GT2443)染色,细胞核阳性,DAB 显色。

胶质瘤石蜡切片,用 H3K36M(GT2443)染色,细胞核阳性,DAB 显色。

胶质瘤石蜡切片,用 H3K36M(GT2443)染色,细胞核阳性,DAB 显色。

胶质瘤石蜡切片,用 H3K36M(GT2443)染色,细胞核阳性,DAB 显色。

胶质瘤石蜡切片,用 H3K36M(GT2443)染色,细胞核阳性,DAB 显色。

胶质瘤石蜡切片,用 H3K36M(GT2443)染色,细胞核阳性,DAB 显色。

胶质瘤石蜡切片,用 H3K36M(GT2443)染色,细胞核阳性,DAB 显色。

胶质瘤石蜡切片,用 H3K36M(GT2443)染色,细胞核阳性,DAB 显色。

胶质瘤石蜡切片,用 H3K36M(GT2443)染色,细胞核阳性,DAB 显色。

胶质瘤石蜡切片,用 H3K36M(GT2443)染色,细胞核阳性,DAB 显色。

胶质瘤石蜡切片,用 H3K36M(GT2443)染色,细胞核阳性,DAB 显色。

胶质瘤石蜡切片,用 H3K36M(GT2443)染色,细胞核阳性,DAB 显色。

胶质瘤石蜡切片,用 H3K36M(GT2443)染色,细胞核阳性,DAB 显色。

胶质瘤石蜡切片,用 H3K36M(GT2443)染色,细胞核阳性,DAB 显色。

胶质瘤石蜡切片,用 H3K36M(GT2443)染色,细胞核阳性,DAB 显色。

胶质瘤石蜡切片,用 H3K36M(GT2443)染色,细胞核阳性,DAB 显色。

胶质瘤石蜡切片,用 H3K36M(GT2443)染色,细胞核阳性,DAB 显色。

软骨肉瘤石蜡切片,用 H3K36M(GT2443)染色,细胞核阳性,DAB 显色。

软骨肉瘤石蜡切片,用 H3K36M(GT2443)染色,细胞核阳性,DAB 显色。

软骨肉瘤石蜡切片,用 H3K36M(GT2443)染色,细胞核阳性,DAB 显色。

软骨肉瘤石蜡切片,用 H3K36M(GT2443)染色,细胞核阳性,DAB 显色。

软骨肉瘤石蜡切片,用 H3K36M(GT2443)染色,细胞核阳性,DAB 显色。

软骨肉瘤石蜡切片,用 H3K36M(GT2443)染色,细胞核阳性,DAB 显色。

软骨肉瘤石蜡切片,用 H3K36M(GT2443)染色,细胞核阳性,DAB 显色。