沪闵械备20200055号
Claudin3 是CLDN3 基因的产物,是一种分子量为22kDa 的紧密连接蛋白,表达于导管上皮和腺泡上皮的连接中,在卵巢癌中发现该基因有上调表达,乳腺癌中Claudin-3 的表达减少与上皮- 间充质转变的细胞表型相关,可用于上述肿瘤的研究。
【适用】石蜡切片/冰冻切片
【预处理】高pH热修复
【稀释度】浓缩型抗体的建议稀释度为1:50-100
【孵育时间】室温孵育30-60分钟。
【阳性对照】卵巢癌
【阳性部位】细胞膜
【显色系统】GTvision系列试剂盒

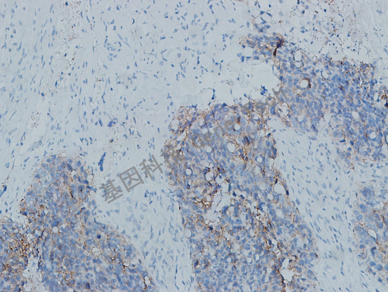
浆液性卵巢癌石蜡切片,用Claudin-3(GT2399)染色,细胞膜阳性,DAB显色。

浆液性卵巢癌石蜡切片,用Claudin-3(GT2399)染色,细胞膜阳性,DAB显色。