沪闵械备20180127号
Cyclin E是周期素依赖激酶的调节因子,调节细胞从G1期到S期有丝分裂过程,表达于绒毛滋养细胞柱。在大多数癌中基因扩增或过表达,包括乳腺癌、宫颈癌、子宫内膜癌、卵巢癌、胃肠道癌等。
【种属】鼠
【预处理】高pH热修复
【阳性部位】细胞核
【阳性对照】乳腺癌/胎盘
【染色系统】基因科技GTvision试剂盒

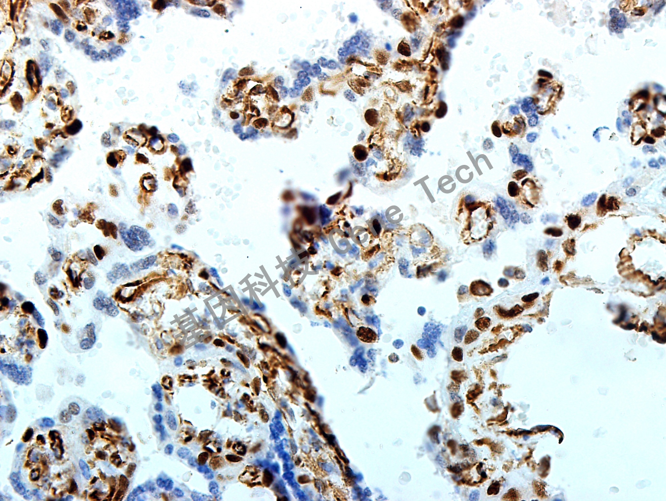
胎盘石蜡切片,用 Cyclin E(GT2231)染色,细胞核阳性,DAB 显色。
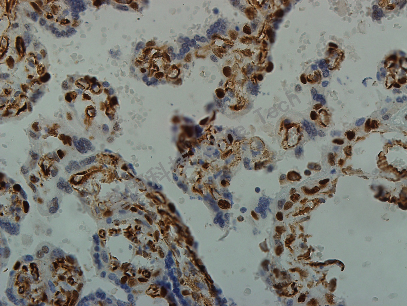
胎盘石蜡切片,用 Cyclin E(GT2231)染色,细胞核阳性,DAB 显色。

胎盘石蜡切片,用 Cyclin E(GT2231)染色,细胞核阳性,DAB 显色。