沪闵械备20200046号
Uroplakins II是尿路上皮细胞分化特异性糖蛋白,主要表达在尿路移行上皮的伞状细胞层,中间层细胞也有少量表达,是移行细胞癌的标记物,呈移行上皮特异性、分化依赖性表达,对转移灶的诊断极其重要。UroplakinII和UroplakinIII一样特异,而敏感度更高。
【种属】鼠
【预处理】高pH热修复
【阳性部位】细胞膜/细胞浆
【阳性对照】尿路上皮癌
【显色系统】基因科技GTvision试剂盒

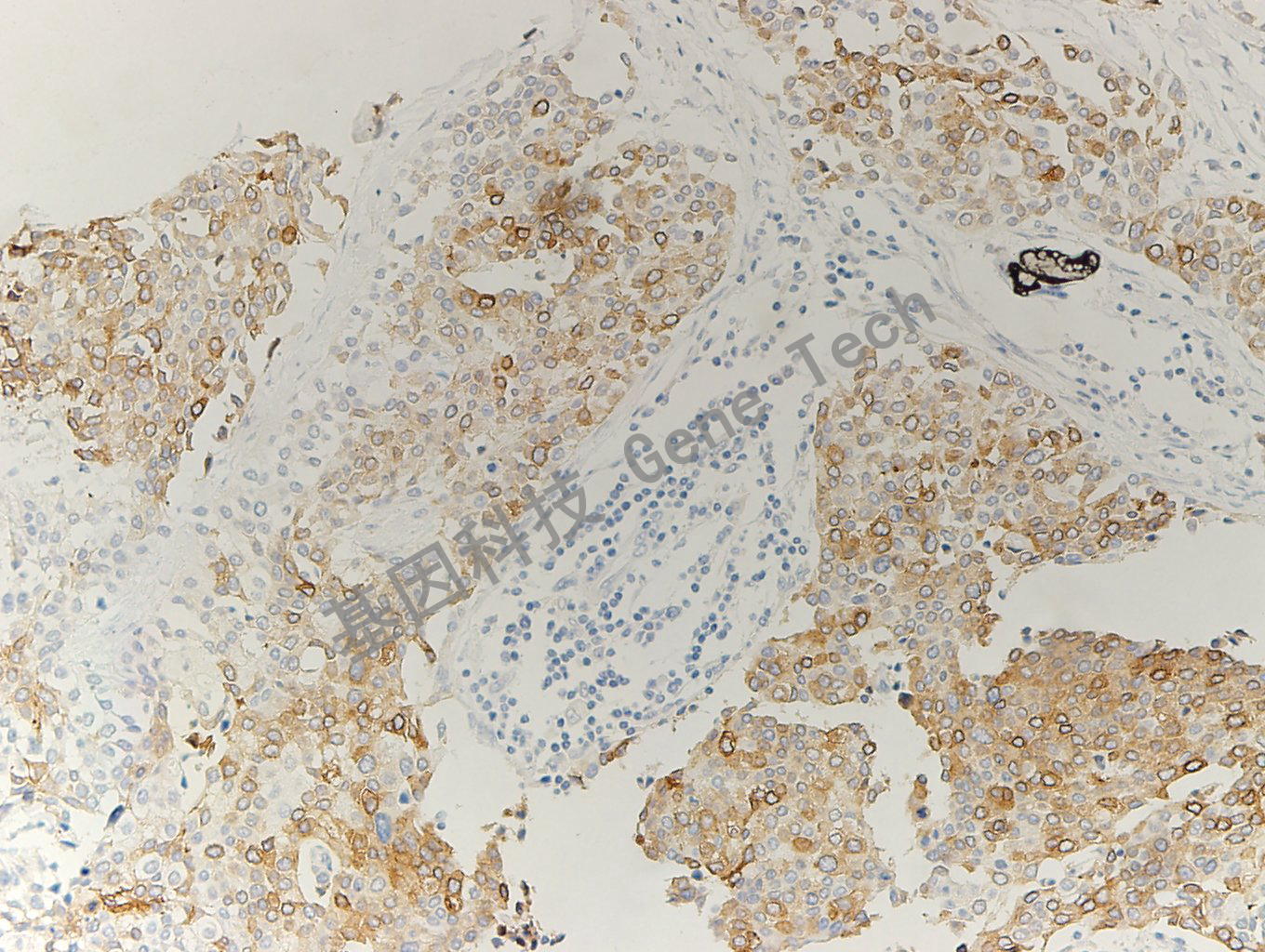
膀胱癌石蜡切片,用 Uroplakin Ⅱ(GT2423)染色,细胞膜/细胞浆阳性,DAB 显色。

膀胱癌石蜡切片,用 Uroplakin Ⅱ(GT2423)染色,细胞膜/细胞浆阳性,DAB 显色。

膀胱癌石蜡切片,用 Uroplakin Ⅱ(GT2423)染色,细胞膜/细胞浆阳性,DAB 显色。

膀胱癌石蜡切片,用 Uroplakin Ⅱ(GT2423)染色,细胞膜/细胞浆阳性,DAB 显色。

膀胱癌石蜡切片,用 Uroplakin Ⅱ(GT2423)染色,细胞膜/细胞浆阳性,DAB 显色。

膀胱癌石蜡切片,用 Uroplakin Ⅱ(GT2423)染色,细胞膜/细胞浆阳性,DAB 显色。