沪闵械备20210003号
CK7 是一种分子量为54kDa 的碱性细胞角蛋白,存在于大多数正常组织的腺上皮和移行上皮细胞中。卵巢癌、乳腺癌、肺腺癌中CK7 表达阳性,而胃肠道的腺癌、卵巢粘液性腺癌中表达阴性。CK7 是腺癌和移行上皮细胞癌的较特异性的标记物,可与CK20 和Villin 联合应用于确定腺癌的原发部位。
【适用】石蜡切片/冰冻切片
【预处理】高pH热修复
【稀释度】浓缩型抗体的建议稀释度为1:50-100
【孵育时间】室温孵育30-60分钟。
【阳性对照】肺腺癌/乳腺癌
【阳性部位】细胞浆
【显色系统】GTvision系列试剂盒

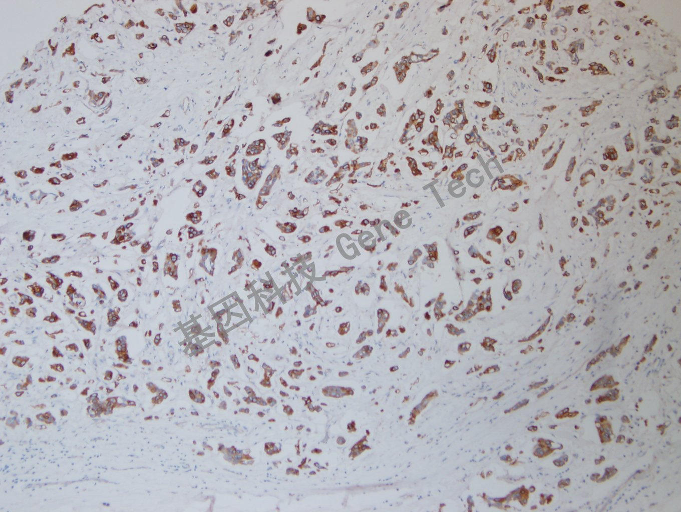
乳腺癌石蜡切片,用CK7(GT2446)染色,细胞浆阳性,DAB 显色。

乳腺癌石蜡切片,用CK7(GT2446)染色,细胞浆阳性,DAB 显色。

乳腺癌石蜡切片,用CK7(GT2446)染色,细胞浆阳性,DAB 显色。

乳腺癌石蜡切片,用CK7(GT2446)染色,细胞浆阳性,DAB 显色。(10×)

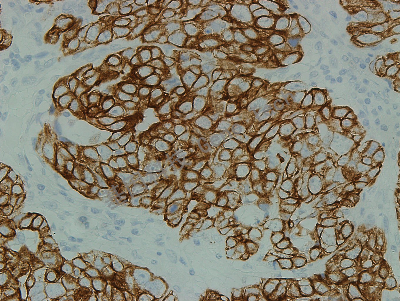
乳腺癌石蜡切片,用CK7(GT2446)染色,细胞浆阳性,DAB 显色。(40×)