沪闵械备20200059号
I 型胶原主要由成纤维细胞、成骨细胞、成也本质细胞和成软骨细胞合成,主要存在于皮肤、骨骼、肌腱和其它结缔组织中,是人体最丰富的细胞外基质蛋白。
【适用】石蜡切片/冰冻切片
【预处理】高pH热修复
【稀释度】浓缩型抗体的建议稀释度为1:50-100
【孵育时间】室温孵育30-60分钟。
【阳性对照】骨肉瘤/胰腺
【阳性部位】细胞浆
【显色系统】GTvision系列试剂盒

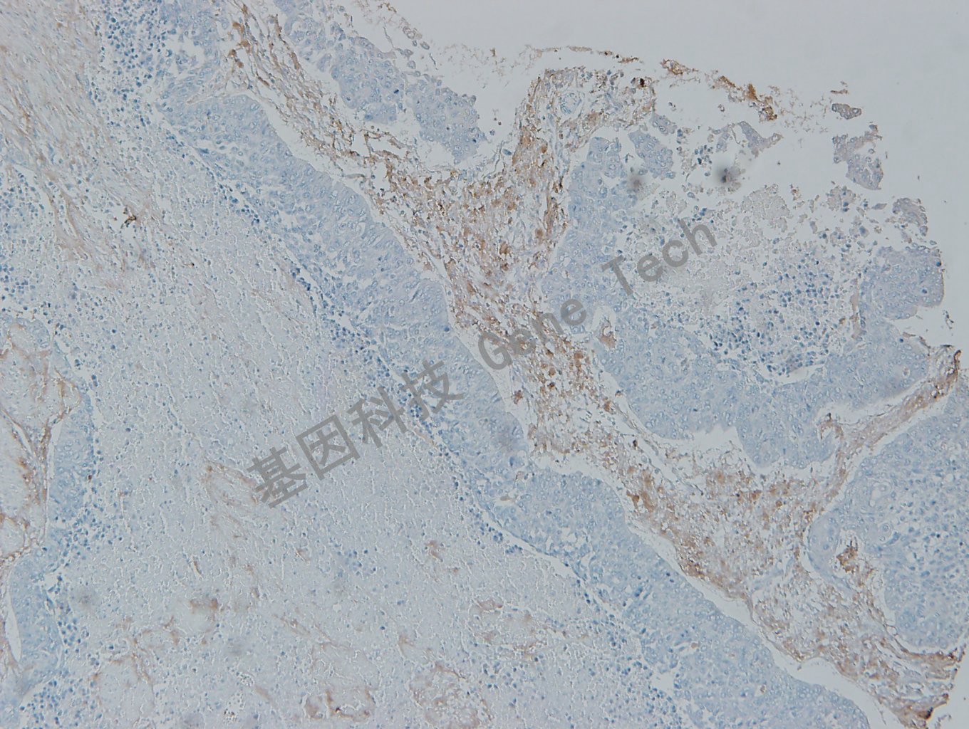
膀胱石蜡切片,用CollagenTypeI(GT2401)染色,细胞浆阳性,DAB显色。

膀胱石蜡切片,用CollagenTypeI(GT2401)染色,细胞浆阳性,DAB显色。

胰腺石蜡切片,用CollagenTypeI(GT2401)染色,细胞浆阳性,DAB显色。

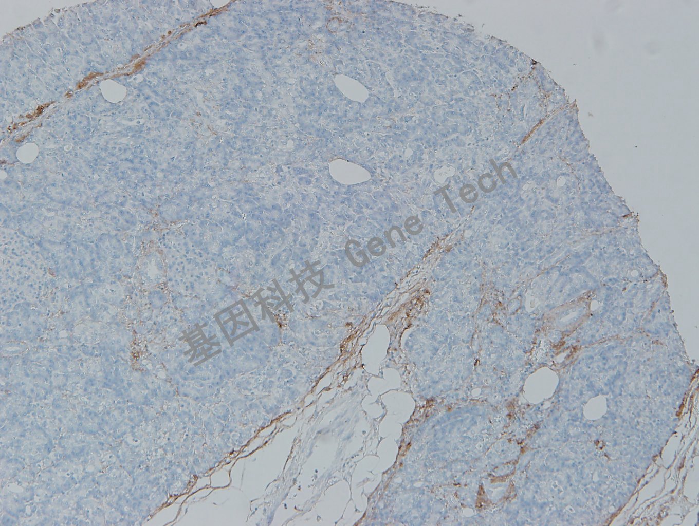
肝石蜡切片,用CollagenTypeI(GT2401)染色,细胞浆阳性,DAB显色。