沪闵械备20220051号
Claudin7 是紧密连接蛋白Claudins家族的重要成员之一,具有维持细胞极性 和屏障功能的紧密连接功能。其异常表达,造成紧密连接完整性的破坏,使细胞失 去接触抑制,细胞的增殖和迁移特性出现异常,并与多种恶性肿瘤(结直肠癌、肺癌 、乳腺癌、肝癌、食管癌、胃癌、前列腺癌、卵巢癌等)的发生、发展密切相关,是潜在 的肿瘤抑制剂。
【适用】石蜡切片/冰冻切片
【预处理】高pH热修复
【稀释度】浓缩型抗体的建议稀释度为1:50-100
【孵育时间】室温孵育30-60分钟。
【阳性对照】胃肠癌/前列腺癌
【阳性部位】细胞膜/细胞浆
【显色系统】GTvision系列试剂盒

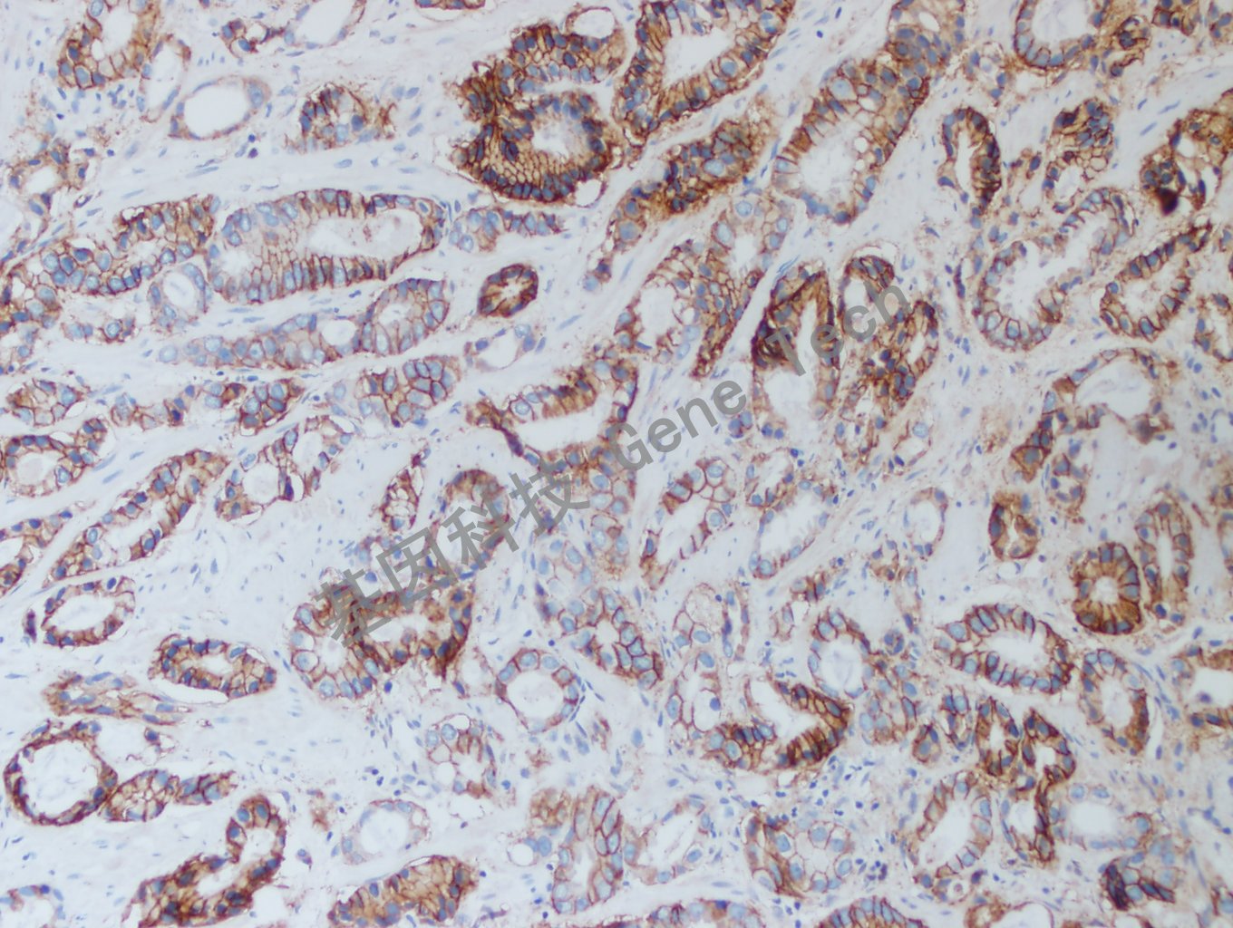
肺癌石蜡切片,用Claudin-7(GT2447)染色,细胞膜/细胞浆阳性,DAB显色。

结直肠癌石蜡切片,用Claudin-7(GT2447)染色,细胞膜/细胞浆阳性,DAB显色。

前列腺癌石蜡切片,用Claudin-7(GT2447)染色,细胞膜/细胞浆阳性,DAB显色。

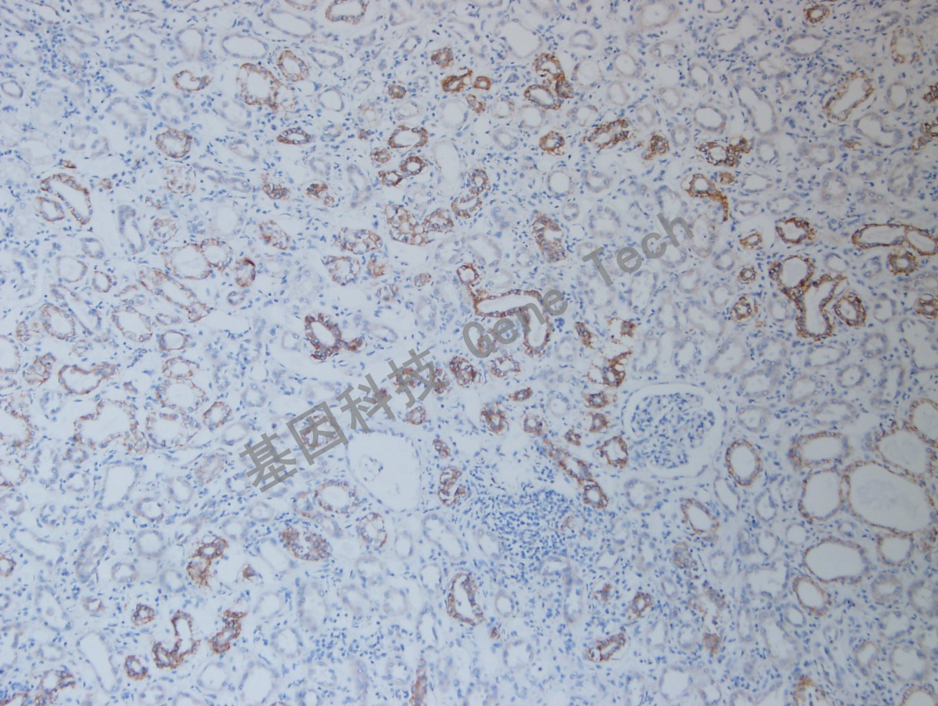
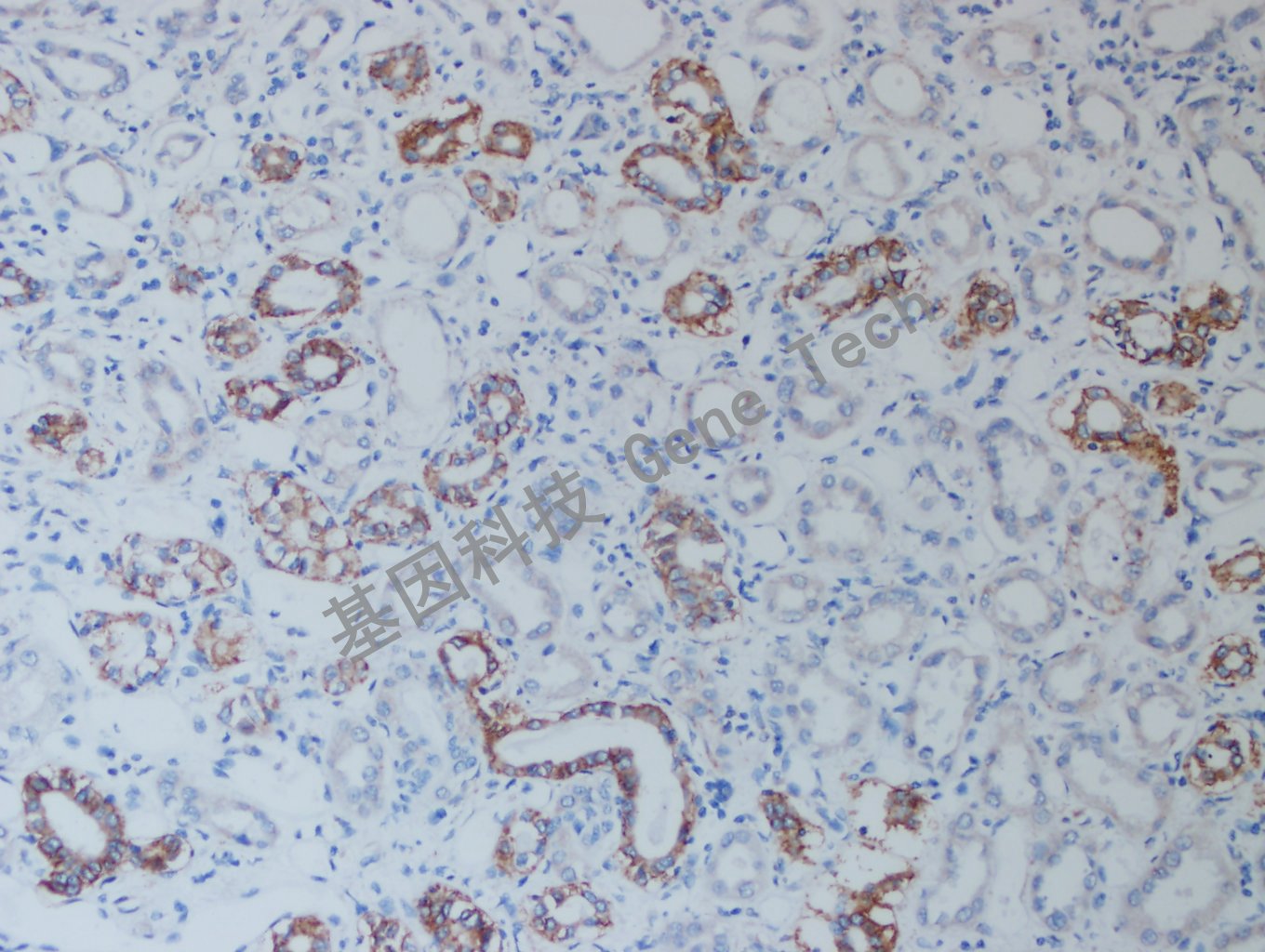
肾癌石蜡切片,用Claudin-7(GT2447)染色,细胞膜/细胞浆阳性,DAB显色。

肾癌石蜡切片,用Claudin-7(GT2447)染色,细胞膜/细胞浆阳性,DAB显色。

宫颈癌石蜡切片,用Claudin-7(GT2447)染色,细胞膜/细胞浆阳性,DAB显色。

宫颈癌石蜡切片,用Claudin-7(GT2447)染色,细胞膜/细胞浆阳性,DAB显色。