沪闵械备20220075号
Fos基因家族作为原癌基因,广泛存在于机体各个器官组织中,由其表达产物组成的转录因子活化蛋白-1(activator protein,AP-1),通过介导下游基因的转录,既可以参与正常细胞的生长、发育、分化及凋亡过程,同时也可介导肿瘤细胞的恶性侵袭,调控与肿瘤生长、侵袭、转移有关的下游靶基因表达。
【种属】兔
【预处理】高pH热修复
【阳性部位】细胞核
【阳性对照】乳腺癌
【染色系统】基因科技GTvision试剂盒

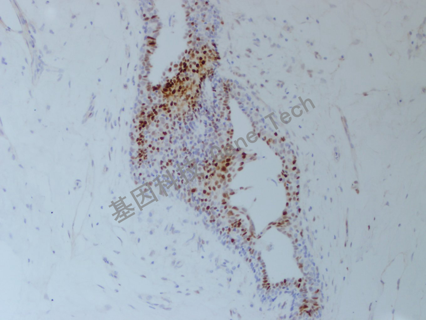
乳腺癌石蜡切片,用 Fos-B(GT2449)染色,细胞核阳性,DAB 显色。

乳腺癌石蜡切片,用Fos-B(GT2449)染色,细胞核阳性,DAB显色。

乳腺癌石蜡切片,用 Fos-B(GT2449)染色,细胞核阳性,DAB 显色。

乳腺癌石蜡切片,用 Fos-B(GT2449)染色,细胞核阳性,DAB 显色。

乳腺癌石蜡切片,用 Fos-B(GT2449)染色,细胞核阳性,DAB 显色。

乳腺癌石蜡切片,用 Fos-B(GT2449)染色,细胞核阳性,DAB 显色。

乳腺癌石蜡切片,用 Fos-B(GT2449)染色,细胞核阳性,DAB 显色。

乳腺炎石蜡切片,用 Fos-B(GT2449)染色,细胞核阳性,DAB 显色。

肾上腺嗜铬细胞瘤石蜡切片,用 Fos-B(GT2449)染色,细胞核阳性,DAB 显色。
肾上腺嗜铬细胞瘤石蜡切片,用 Fos-B(GT2449)染色,细胞核阳性,DAB 显色。