沪闵械备20220102号
细胞角蛋白6 和16(二者通常称对出现)表达在基底上层的角质形成细胞中,因该处细胞层经历着快速的细胞周期,细胞故角蛋白6 和16 又被称作增殖相关性角蛋白。在正常乳腺组织和非侵袭性乳腺癌中细胞角蛋白16 不表达。只有10% 的浸润性乳腺癌显示弥漫性和局部病灶阳性表达。据报道,增殖相关性角蛋白与基底细胞来源的癌具有较高的相关性,与增殖标记物Ki-67 之间无相关性。这说明乳腺癌的基底细胞即使Ki-67 染色阴性也不代表其不具有高度增殖性。
【种属】兔
【预处理】高pH热修复
【阳性部位】细胞浆
【阳性对照】食管
【染色系统】基因科技GTvision试剂盒

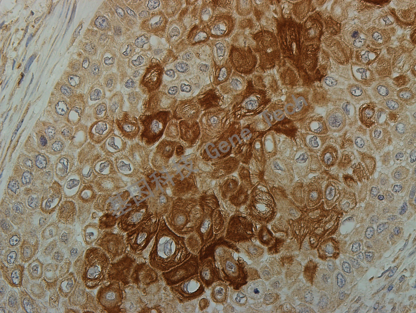
食管石蜡切片,用 CK16(GT2228)染色,细胞浆阳性,DAB 显色。

食管石蜡切片,用 CK16(GT2228)染色,细胞浆阳性,DAB 显色。

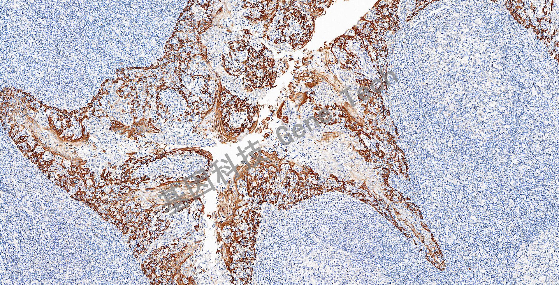
扁桃体石蜡切片,用 CK16(GT2228)染色,细胞浆阳性,DAB 显色。

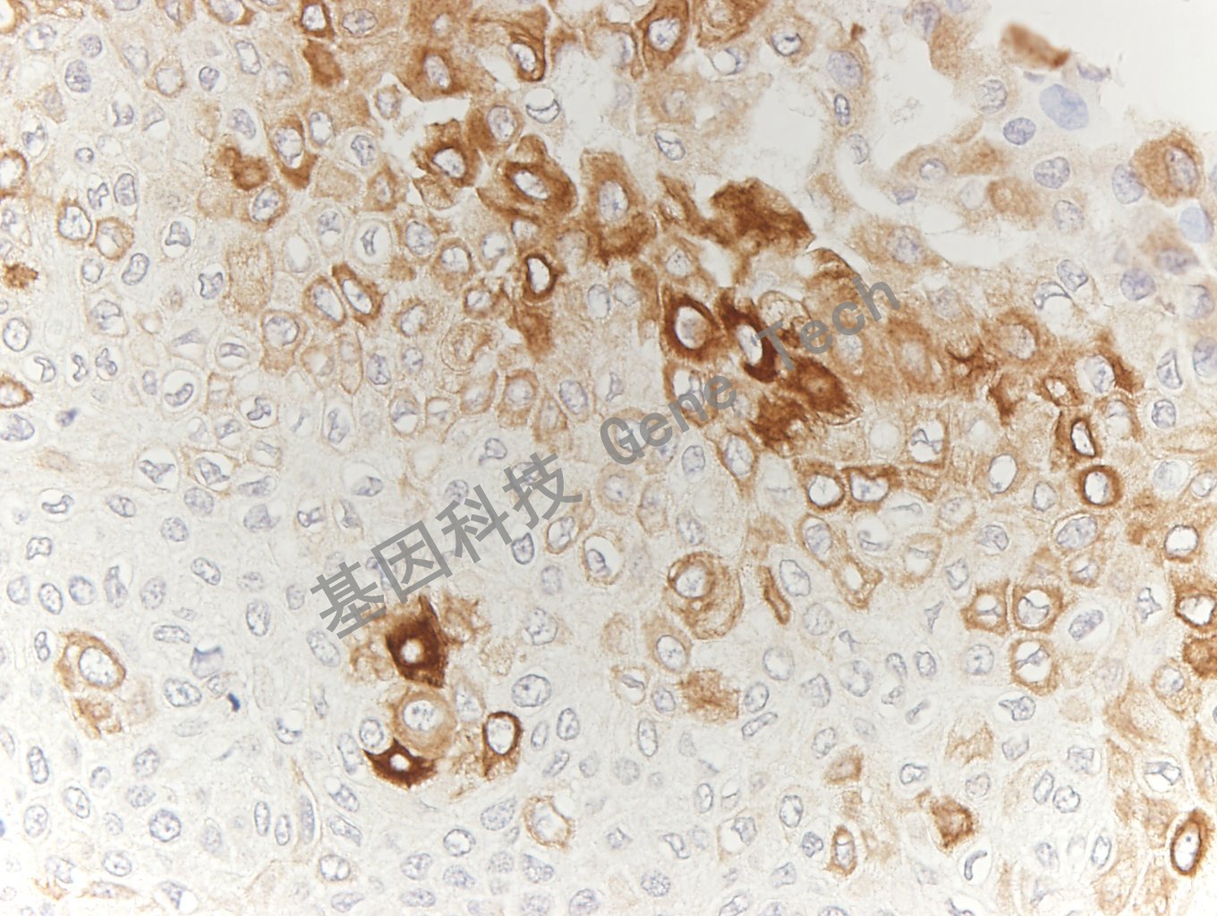
食道癌石蜡切片,用 CK16(GT2228)染色,细胞浆阳性,DAB 显色。

胰腺癌石蜡切片,用 CK16(GT2228)染色,细胞浆阳性,DAB 显色。

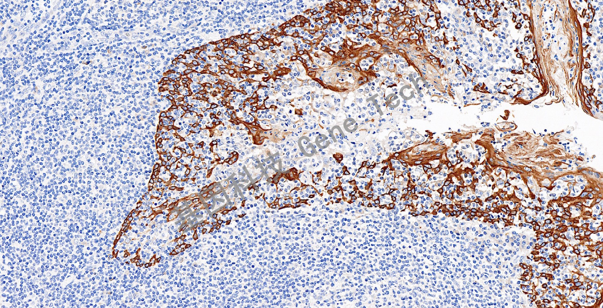
扁桃体石蜡切片,用 CK16(GT2228)染色,细胞浆阳性,DAB 显色。

扁桃体石蜡切片,用 CK16(GT2228)染色,细胞浆阳性,DAB 显色。