沪闵械备20180089号
TdT(Terminal deoxynucleotidyl transferase, 末端脱氧核苷酸转移酶)是一种58kDa的DNA聚合酶,位于细胞核内,可催化3’末端脱氧核苷的聚合反应。该抗体标记正常胸腺和骨髓的前体B和T淋巴细胞。在成熟淋巴瘤的肿瘤细胞及急性淋巴细胞白血病中TdT呈高表达,有助于淋巴细胞白血病和何杰金淋巴瘤的鉴别。
【种属】鼠
【预处理】高pH热修复
【阳性部位】细胞核
【阳性对照】胸腺/扁桃体
【染色系统】基因科技GTvision试剂盒

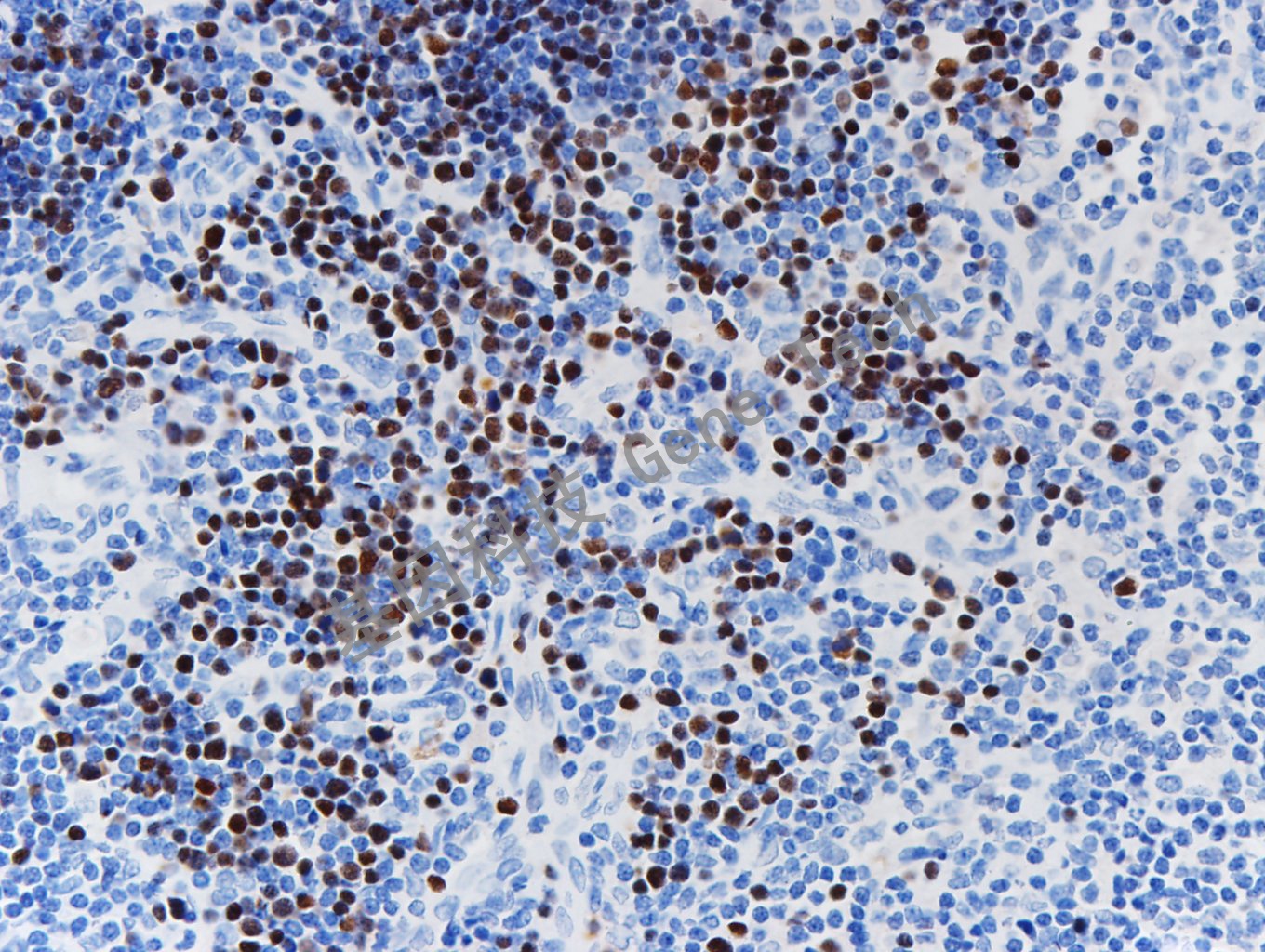
胸腺石蜡切片,用 TdT(GT2025)染色,细胞核阳性,DAB 显色。

胸腺石蜡切片,用 TdT(GT2025)染色,细胞核阳性,DAB 显色。

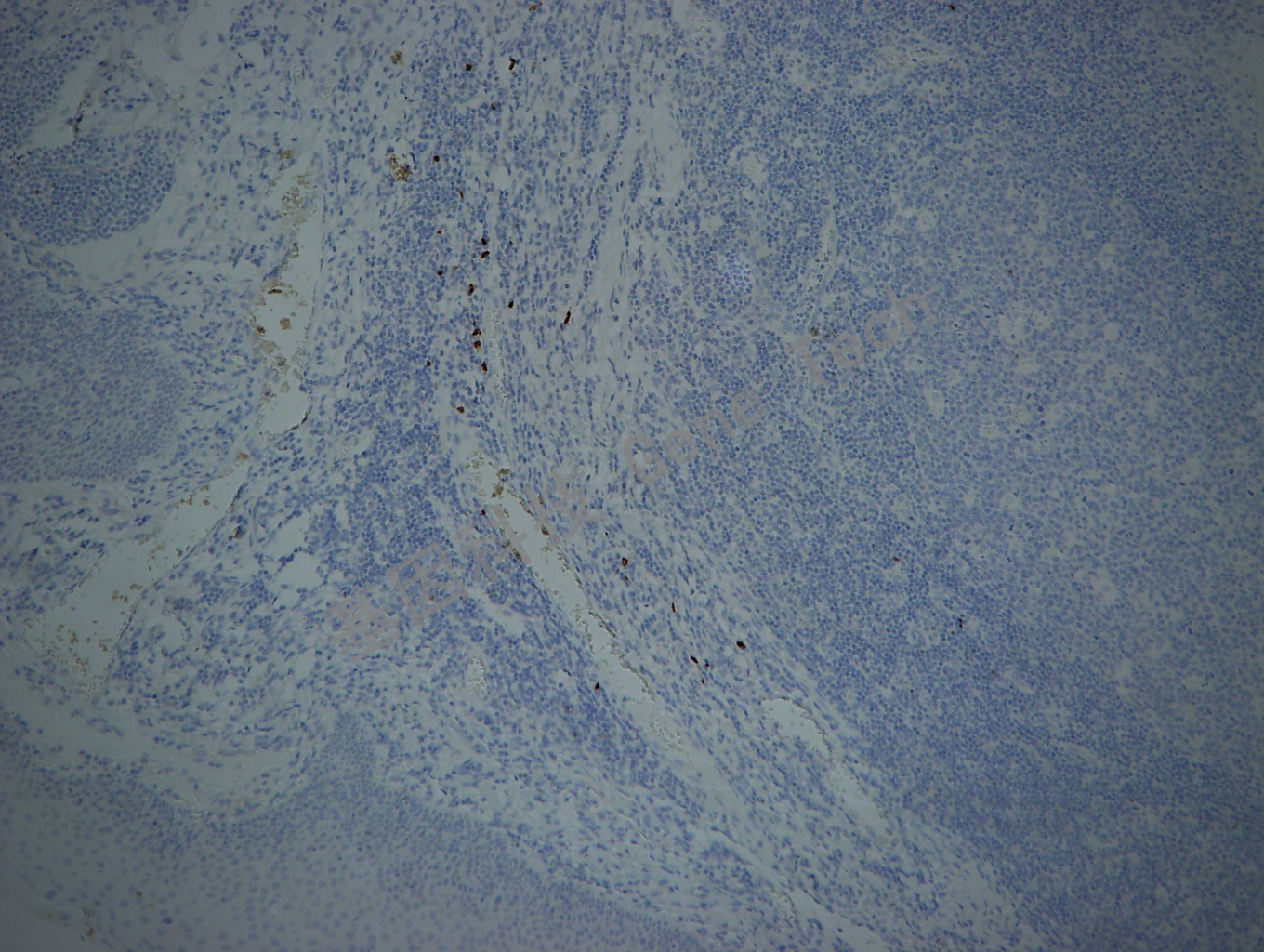
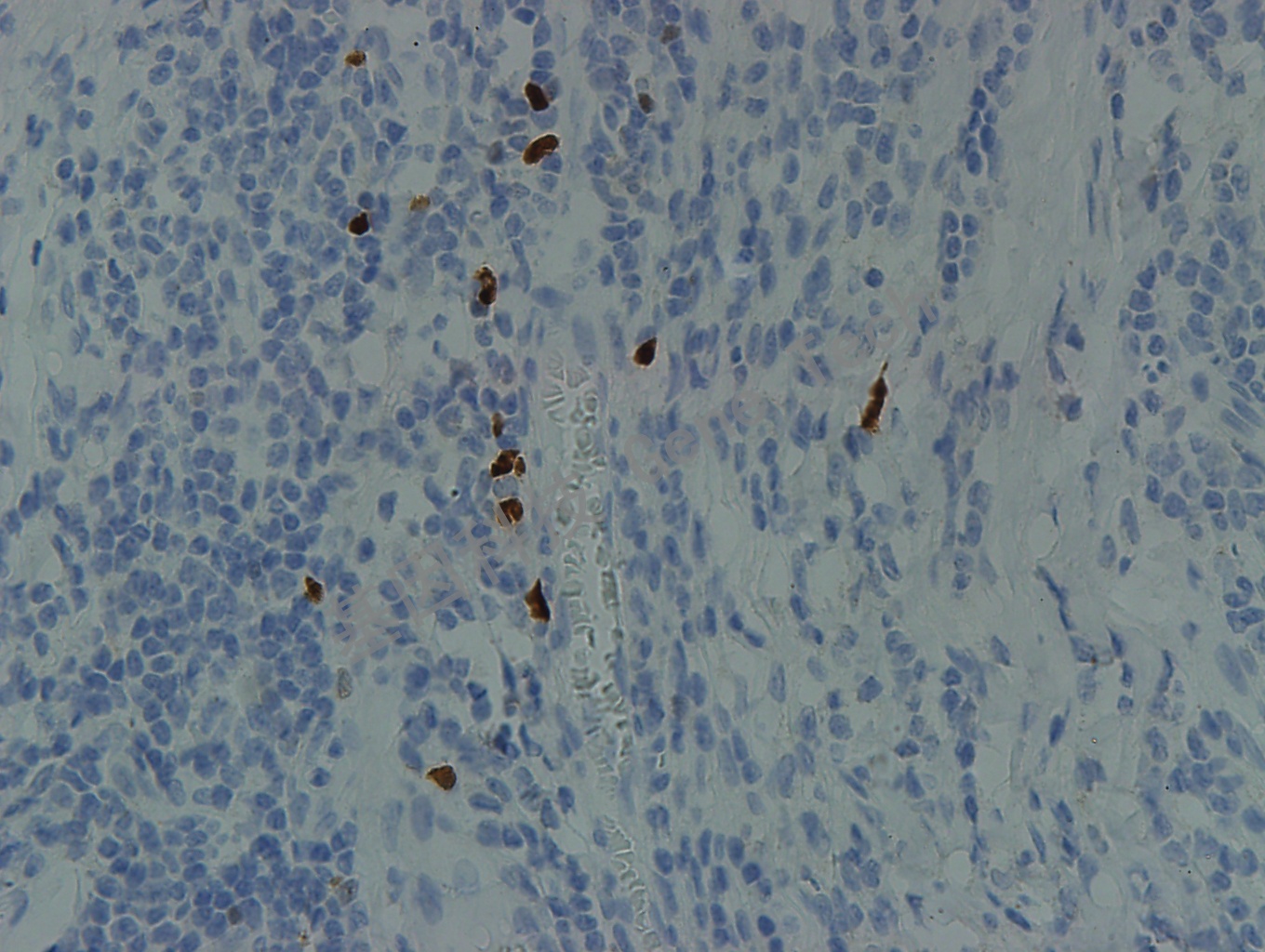
扁桃体石蜡切片,用 TdT(GT2025)染色,细胞核阳性,DAB 显色。

扁桃体石蜡切片,用 TdT(GT2025)染色,细胞核阳性,DAB 显色。