沪闵械备20220002号
TROP2属于TACSTD家族,是由TACSTD2基因编码表达的细胞表面糖蛋白。正常情况下,TROP2主要表达于上皮细胞并在胚胎器官发育过程中起重要作用。TROP-2在正常组织中表达量很低,在多种恶性肿瘤中过表达,是一种与恶性肿瘤发生、侵袭和转移有关的癌基因。
【种属】兔
【预处理】高pH热修复
【阳性部位】细胞膜/细胞浆
【阳性对照】宫颈癌
【染色系统】基因科技GTvision试剂盒

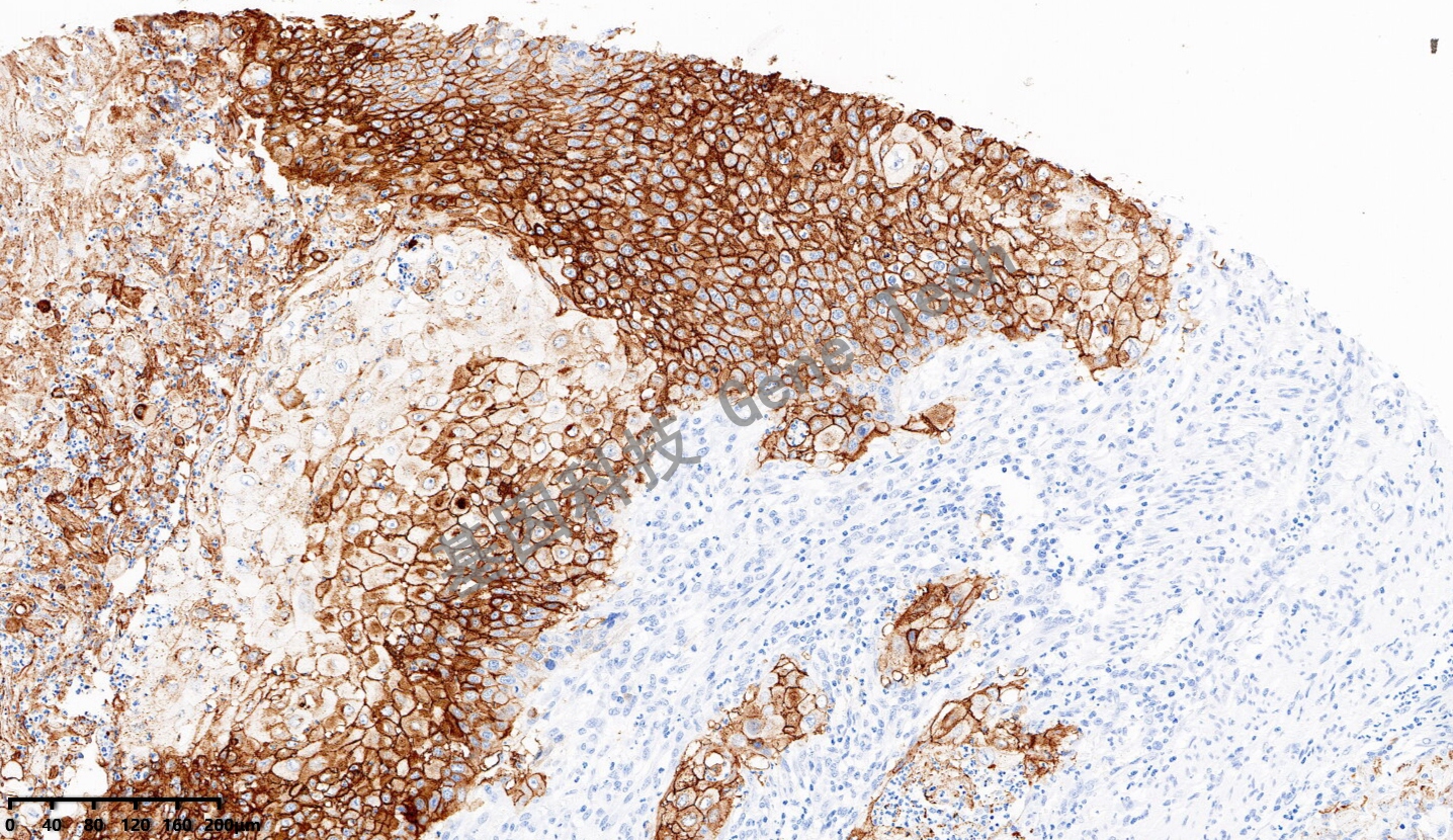
膀胱癌石蜡切片,用 TROP2(GT2462) 染色,细胞膜/细胞浆阳性,DAB 显色。

甲状腺癌石蜡切片,用 TROP2(GT2462) 染色,细胞膜/细胞浆阳性,DAB 显色。

结肠癌石蜡切片,用 TROP2(GT2462) 染色,细胞膜/细胞浆阳性,DAB 显色。

阑尾石蜡切片,用 TROP2(GT2462) 染色,细胞膜/细胞浆阳性,DAB 显色。

脑胶质瘤石蜡切片,用 TROP2(GT2462) 染色,细胞膜/细胞浆阳性,DAB 显色。

乳腺癌石蜡切片,用 TROP2(GT2462) 染色,细胞膜/细胞浆阳性,DAB 显色。

胃癌石蜡切片,用 TROP2(GT2462) 染色,细胞膜/细胞浆阳性,DAB 显色。

正常膀胱石蜡切片,用 TROP2(GT2462) 染色,细胞膜/细胞浆阳性,DAB 显色。

子宫内膜癌石蜡切片,用 TROP2(GT2462) 染色,细胞膜/细胞浆阳性,DAB 显色。