沪闵械备20220025号
SOX-9(SRY-related HMG-box 9, 性别决定区Y框蛋白9基因)是与SRY(Y染色体的性别决定区域)相关的转录因子,会影响性别决定和分化,参与骨、神经系统及胰腺的发育,并与肿瘤的发生发展相关。SOX-9基因突变或缺失是导致人类各种骨骼疾病的重要原因之一,并发生性逆转。据文献报道,SOX-9在一般软骨肉瘤中的表达水平明显高于正常软骨组织,在去分化软骨肉瘤中低水平表达;SOX-9在多种肿瘤如前列腺癌、胃癌、肝癌中高表达,与肿瘤的发生、发展和预后相关。
【种属】兔
【预处理】高pH热修复
【阳性部位】细胞核
【阳性对照】前列腺癌
【染色系统】基因科技GTvision试剂盒

甲状腺石蜡切片,用SOX-9(GT2337)染色,细胞核阳性,DAB 显色。

食管癌石蜡切片,用SOX-9(GT2337)染色,细胞核阳性,DAB 显色。

胃癌石蜡切片,用SOX-9(GT2337)染色,细胞核阳性,DAB 显色。

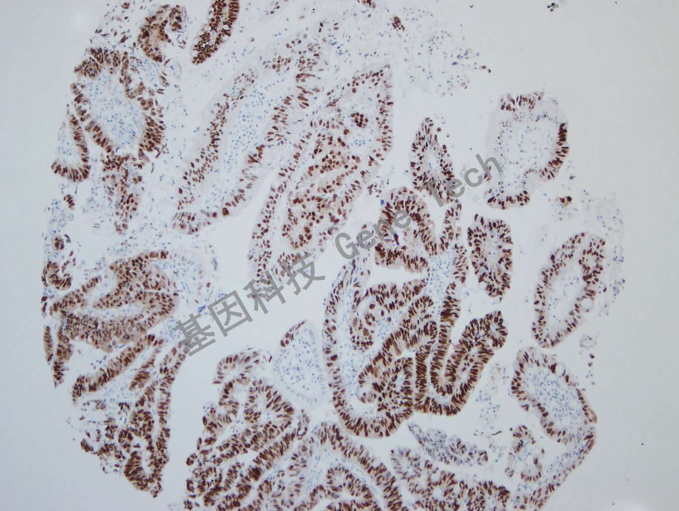
正常结肠石蜡切片,用SOX-9(GT2337)染色,细胞核阳性,DAB 显色。

正常结肠石蜡切片,用SOX-9(GT2337)染色,细胞核阳性,DAB 显色。

正常结肠石蜡切片,用SOX-9(GT2337)染色,细胞核阳性,DAB 显色。