沪闵械备20180020号
34βE12 可识别细胞角蛋白 1、5、10 和 14。在正常组织中,34βE12 主要表达于正常的鳞状上皮、 导管上皮和其他复层上皮中。在肺鳞癌、乳腺癌、胰腺癌、胆管癌及膀胱移行细胞癌等肿瘤中表达阳性。 该抗体可识别良性前列腺导管的基底细胞,而在前列腺癌中为阴性,常与 P63、P504S 联合应用于前列腺癌的诊断。
【适用】石蜡切片/冰冻切片
【预处理】高pH热修复
【稀释度】浓缩型抗体的建议稀释度为1:50-100
【孵育时间】室温孵育30-60分钟。
【阳性对照】前列腺
【阳性部位】细胞浆
【显色系统】GTvision系列试剂盒

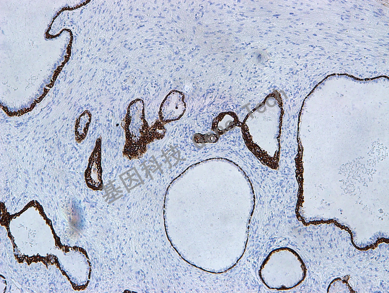
前列腺增生石蜡切片,用 CK,HMW(GM0630)染色,细胞浆阳性,DAB 显色。(10×)

前列腺增生石蜡切片,用 CK,HMW(GM0630)染色,细胞浆阳性,DAB 显色。(40×)

前列腺增生石蜡切片,用 CK,HMW(GM0630)染色,细胞浆阳性,DAB 显色。(10×)

前列腺增生石蜡切片,用 CK,HMW(GM0630)染色,细胞浆阳性,DAB 显色。(40×)
前列腺增生石蜡切片,用 CK,HMW(GM0630)染色,细胞浆阳性,DAB 显色。(40×)