沪闵械备20180074号
细胞角蛋白20 属于中间丝蛋白,几乎在所有的细胞中都会参与胞浆的形成。与其他的中间丝蛋白相比,细胞角蛋白(CKs)由40-68Kda 的多肽组成的高度复杂的多基因家族。CK20 多肽已发现在多种人上皮和相应的恶性肿瘤细胞中表达。可分为酸性的(Ⅰ型)和中性- 基础的(Ⅱ型)亚家族。CK20 是46Kda 的蛋白,较其他Ⅰ型细胞角蛋白酸性稍弱。
【适用】石蜡切片/冰冻切片
【预处理】高pH热修复
【稀释度】浓缩型抗体的建议稀释度为1:25-50
【孵育时间】室温孵育30-60分钟。
【阳性对照】结肠癌
【阳性部位】细胞浆
【显色系统】GTvision系列试剂盒

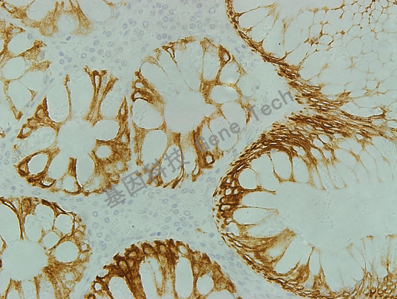
结肠癌石蜡切片,用 CK20(GT2042)染色,细胞浆阳性,DAB 显色。

结肠癌石蜡切片,用 CK20(GT2042)染色,细胞浆阳性,DAB 显色。(10×)

结肠癌石蜡切片,用 CK20(GT2042)染色,细胞浆阳性,DAB 显色。(40×)