沪闵械备20180087号
细胞角蛋白19 属于中间纤维,在细胞中的形成细胞骨架,和其他中间纤维相比,细胞角蛋白(CKs)构成了一个高度复杂的40-68KD 多肽的多基因家族。在不同的人上皮细胞中发现有20 多种CK 多肽。他们可以分为酸性(type Ⅰ)和中性(type Ⅱ)两种亚类。CK19 属于酸性的细胞角蛋白,也是一种具有代表性的小分子量细胞角蛋白(40KD),表达于移行上皮细胞的简单上皮,表皮细胞,间皮细胞和基底细胞,以及一些复杂上皮细胞的腔内、基底和肌上皮细胞。
【适用】石蜡切片/冰冻切片
【预处理】高pH热修复
【稀释度】浓缩型抗体的建议稀释度为1:50-100
【孵育时间】室温孵育30-60分钟。
【阳性对照】结肠癌/甲状腺乳头状瘤
【阳性部位】细胞浆
【显色系统】GTvision系列试剂盒

阑尾石蜡切片,用 CK19(GM0888)染色,细胞浆阳性,DAB 显色。(10×)
阑尾石蜡切片,用 CK19(GM0888)染色,细胞浆阳性,DAB 显色。(40×)

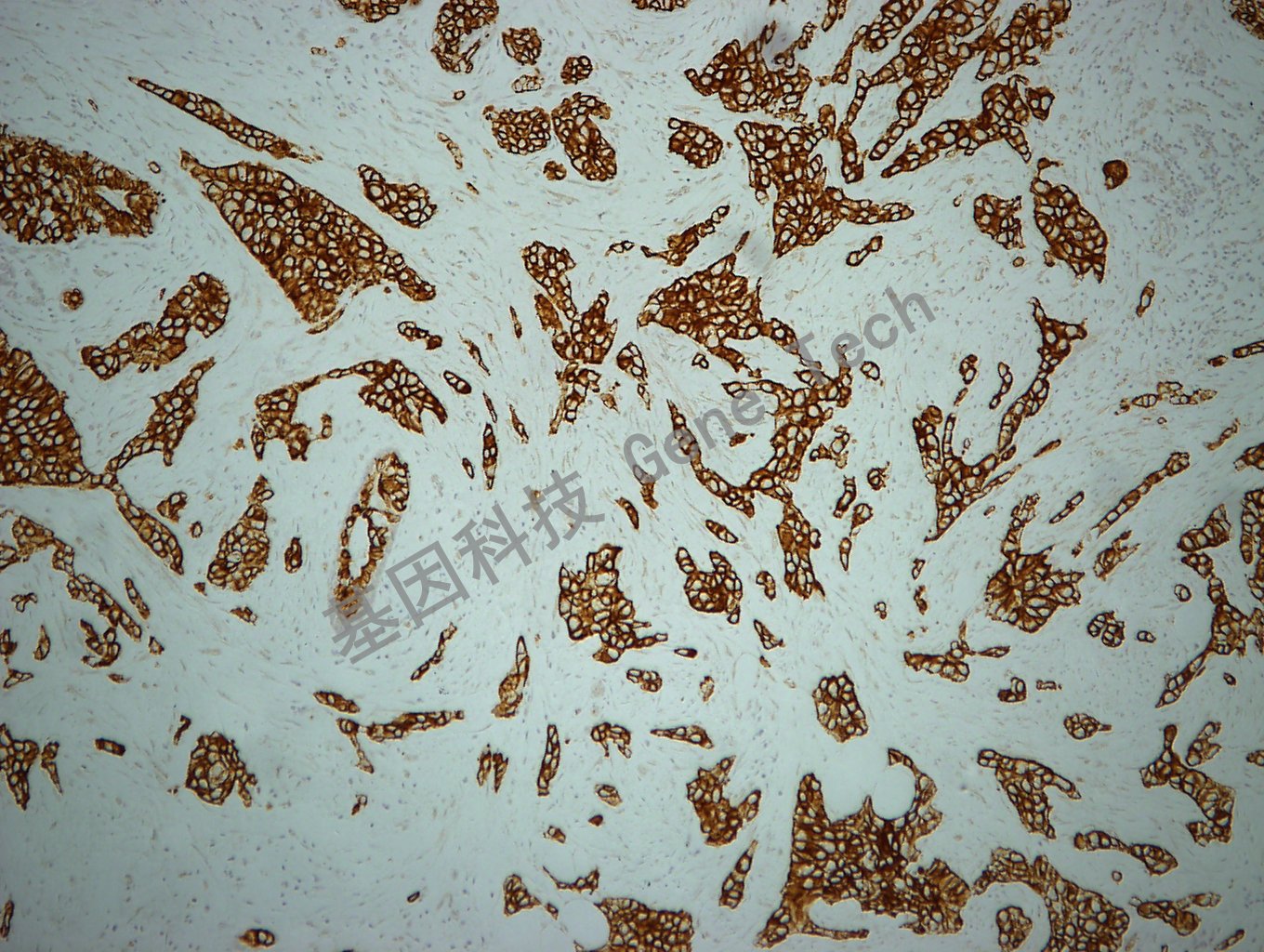
乳腺癌石蜡切片,用 CK19(GM0888)染色,细胞浆阳性,DAB 显色。(10×)

乳腺癌石蜡切片,用 CK19(GM0888)染色,细胞浆阳性,DAB 显色。(40×)